| UNIPROT | P05787 |
| Иммуноген | RPC025Hu01-Recombinant Cytokeratin 8 (CK8) |
Polyclonal Antibody to Cytokeratin 8 (CK8) (PAC025Hu01)
Реактивность подтвержденная:
человек
Источник (хозяин):
кролик
Валидировано для:
FCM
IHC
WB
Характеристики
Техническое описание
| Русское название | PAC025Hu01 Поликлональное антитело к CK8 (человек) <Cloud-Clone,Китай> |
| Каталожный номер | PAC025Hu01 |
| Название антигена | Keratin 8 (KRT8) |
| UNIPROT | P05787 |
| Иммуноген | RPC025Hu01-Recombinant Cytokeratin 8 (CK8) |
| Английские синонимы | K8, CARD2, CK8, CYK8, K2C8, KO, Cytokeratin 8, Keratin, type II cytoskeletal 8 |
Реактивность подтвержденная Нужна другая реактивность? |
человек |
| Источник (хозяин) | кролик |
| Клональность | поликлональное |
| Рекомбинантное | нет |
| Готовое к использованию | нет |
| Концентрация | 0.5 мг/мл |
| Конъюгат | По запросу: HRP, biotin, PerCP, PE, Cy3, FITC, Cy7, Cy5.5, PE-Cy5, PE-Cy7, PerCp-Cy5.5, APC, Cy5, PE-Cy3, PE-Cy5.5, APC-Cy7, Biotin-APC, FITC-Biotin, TRITC, APC-Cy5, AF488, AF594, AF405, AF555, AF700, AF647, AF750 |
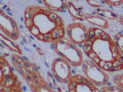
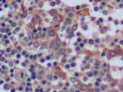
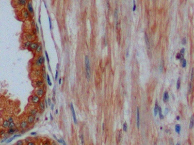
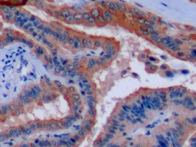
| Валидировано для | FCM IHC WB Проточная цитометрия; Иммуногистохимия; Вестерн-блоттинг |
| Рекомендуемые разведения | WB: 0.01-2 мкг/мл; IHC: 5-20 мкг/мл; ICC: 5-20 мкг/мл; FCM: 20 мкг/мл; Оптимальное разведение определяется конечным потребителем |
| Метод очистки | Антигенспецифическая аффинная хроматография с последующей аффинной хроматографией с белком А |
| Состав буфера | 0.01M PBS, pH7.4, 0.05% Proclin-300, 50% глицерин |
| Условия доставки | термобокс с аккумуляторами холода |
| Условия хранения | Сразу после получения аликвотировать и хранить при -20ºС до 24 месяцев. Для частого использования хранить при +4ºС не более 2 недель. Избегать повторения циклов замерзания/оттаивания |
| Срок хранения | 24 месяца |
| Производитель | Cloud-Clone Corp. |
| Ссылка на страницу товара на сайте производителя | http://www.cloud-clone.com/products/PAC025Hu01.html |
|
Артикул
|
Наименование |
Производитель
|
|---|
|
Артикул
|
Наименование |
Производитель
|
|---|
|
Артикул
|
Наименование |
Производитель
|
|---|
Акции и предложения
Популярные продукты:
Porcine 5-Hydroxytryptophan ELISA kit (E07H1454)
Организм: свинья
Goat Oxidized Glutathione ELISA kit (E06O0028)
Организм: коза
Canine Calponin 3(CNN3) ELISA kit (E08C1855)
Организм: собака
Goat Calponin 3(CNN3) ELISA kit (E06C1855)
Организм: коза
Chicken Centromere protein U(MLF1IP) ELISA kit (E12C0942)
Организм: курица
Canine Cadherin 7(CDH7) ELISA kit (E08C1549)
Организм: собака

