| UNIPROT | P31228 |
| Иммуноген | RPJ280Bo01-Recombinant D-Aspartate Oxidase (DDO) |
Polyclonal Antibody to D-Aspartate Oxidase (DDO) (PAJ280Bo01)
Реактивность подтвержденная:
корова
Источник (хозяин):
кролик
Валидировано для:
IHC
WB
Характеристики
Техническое описание
| Русское название | PAJ280Bo01 Поликлональное антитело к DDO (корова) <Cloud-Clone,Китай> |
| Каталожный номер | PAJ280Bo01 |
| Название антигена | D-Aspartate Oxidase (DDO) |
| UNIPROT | P31228 |
| Иммуноген | RPJ280Bo01-Recombinant D-Aspartate Oxidase (DDO) |
| Английские синонимы | DASOX, DDO-1, DDO-2 |
Реактивность подтвержденная Нужна другая реактивность? |
корова |
| Реактивность предсказываемая | человек |
| Источник (хозяин) | кролик |
| Клональность | поликлональное |
| Рекомбинантное | нет |
| Готовое к использованию | нет |
| Концентрация | 500 мкг/мл |
| Конъюгат | По запросу: HRP, biotin, PerCP, PE, Cy3, FITC, Cy7, Cy5.5, PE-Cy5, PE-Cy7, PerCp-Cy5.5, APC, Cy5, PE-Cy3, PE-Cy5.5, APC-Cy7, Biotin-APC, FITC-Biotin, TRITC, APC-Cy5, AF488, AF594, AF405, AF555, AF700, AF647, AF750 |
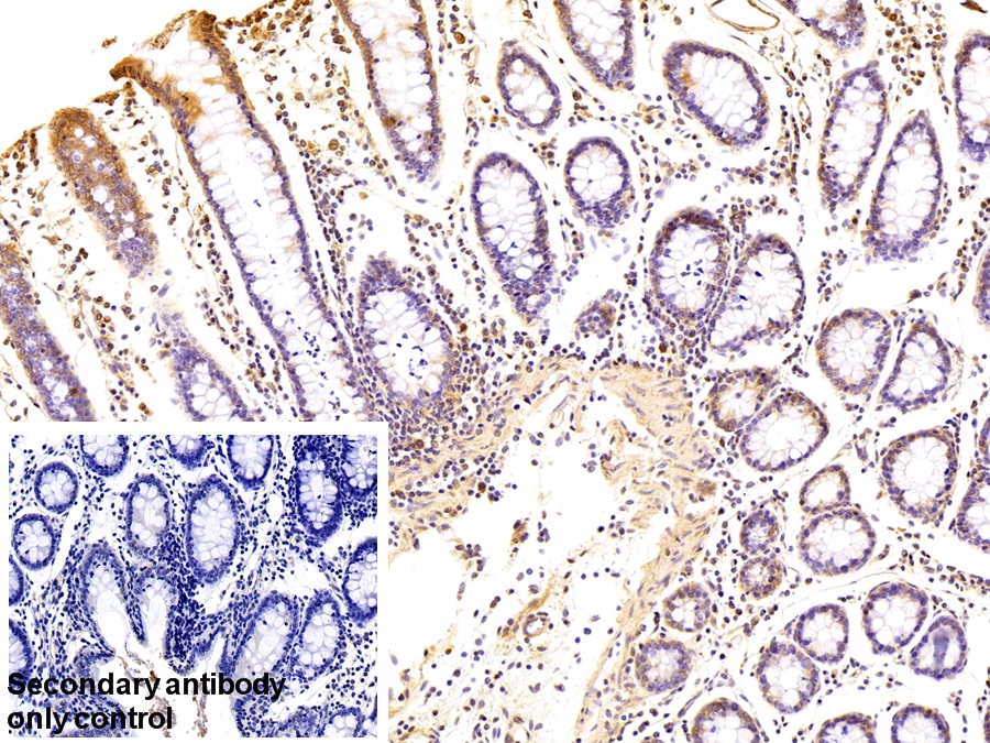
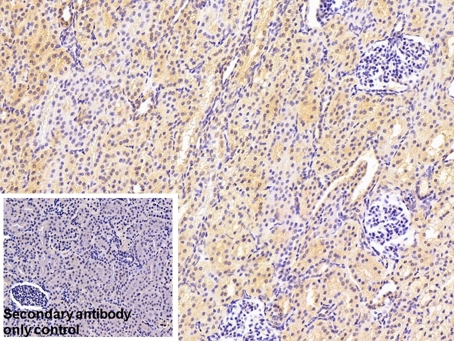
| Валидировано для | IHC WB Иммуногистохимия; Вестерн-блоттинг |
| Рекомендуемые разведения | WB: 0.5-2 мкг/мл; IHC: 5-20 мкг/мл; ICC: 5-20 мкг/мл; Оптимальное разведение определяется конечным потребителем |
| Метод очистки | Антигенспецифическая аффинная хроматография с последующей аффинной хроматографией с белком А |
| Состав буфера | PBS, pH7.4, 0.02% NaN3, 50% глицерин |
| Условия доставки | термобокс с аккумуляторами холода |
| Условия хранения | Сразу после получения аликвотировать и хранить при -20ºС до 24 месяцев. Для частого использования хранить при +4ºС не более 2 недель. Избегать повторения циклов замерзания/оттаивания |
| Срок хранения | 24 месяца |
| Производитель | Cloud-Clone Corp. |
| Ссылка на страницу товара на сайте производителя | http://www.cloud-clone.com/products/PAJ280Bo01.html |
|
Артикул
|
Наименование |
Производитель
|
|---|
|
Артикул
|
Наименование |
Производитель
|
|---|
|
Артикул
|
Наименование |
Производитель
|
|---|
Акции и предложения
Популярные продукты:
Anti-Heat Shock Protein 27 (Hsp27) Polyclonal Antibody (FAA693Mu01)
Источник (хозяин): кролик
Реактивность подтвержденная: мышь
Валидировано для: FCM
Реактивность подтвержденная: мышь
Валидировано для: FCM
Anti-HMPV Fusion glycoprotein F hIgM ELISA Kit (KAV22903)
Организм: человек
ELISA Kit DIY Materials for Bisphosphoglycerate Mutase (BPGM) (KSD716Hu01)
Организм: человек
Диапазон определения: 0.312-20 нг/мл
Чувствительность: 0.115 нг/мл
Диапазон определения: 0.312-20 нг/мл
Чувствительность: 0.115 нг/мл
ELISA Kit DIY Materials for Transforming Growth Factor Alpha (TGFa) (KSA123Ra01)
Организм: крыса
Диапазон определения: 7.8-500 пг/мл
Чувствительность: 3.2 пг/мл
Диапазон определения: 7.8-500 пг/мл
Чувствительность: 3.2 пг/мл
Monoclonal Antibody to Keratin 6A (KRT6A) (MAD234Hu23)
Источник (хозяин): мышь
Реактивность подтвержденная: человек
Валидировано для: WB
Реактивность подтвержденная: человек
Валидировано для: WB
ELISA Kit for Yes Associated Protein 1 (YAP1) (SEG547Ra)
Организм: крыса
Диапазон определения: 0.156-10 нг/мл
Чувствительность: 0.115 нг/мл
Диапазон определения: 0.156-10 нг/мл
Чувствительность: 0.115 нг/мл

