| UNIPROT | D3ZHH1 |
| Иммуноген | RPJ256Ra01-Recombinant Delta Like Protein 4 (dLL4) |
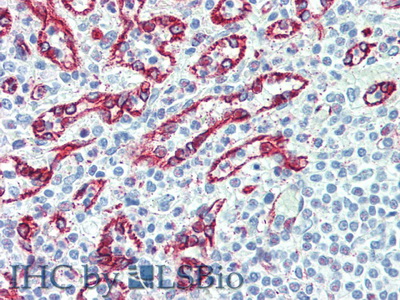
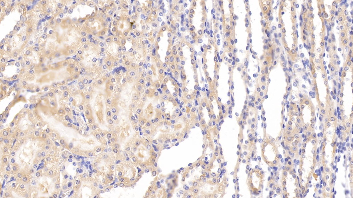
Polyclonal Antibody to Delta Like Protein 4 (dLL4) (PAJ256Ra01)
Реактивность подтвержденная:
крыса
Источник (хозяин):
кролик
Валидировано для:
IHC
Характеристики
Техническое описание
| Русское название | PAJ256Ra01 Поликлональное антитело к dLL4 (крыса) <Cloud-Clone,Китай> |
| Каталожный номер | PAJ256Ra01 |
| Название антигена | Delta Like Protein 4 (dLL4) |
| UNIPROT | D3ZHH1 |
| Иммуноген | RPJ256Ra01-Recombinant Delta Like Protein 4 (dLL4) |
| Английские синонимы | Hdelta2, Drosophila Delta homolog 4 |
Реактивность подтвержденная Нужна другая реактивность? |
крыса |
| Реактивность предсказываемая | человек, мышь |
| Источник (хозяин) | кролик |
| Клональность | поликлональное |
| Рекомбинантное | нет |
| Готовое к использованию | нет |
| Концентрация | 0.5 мг/мл |
| Конъюгат | По запросу: HRP, biotin, PerCP, PE, Cy3, FITC, Cy7, Cy5.5, PE-Cy5, PE-Cy7, PerCp-Cy5.5, APC, Cy5, PE-Cy3, PE-Cy5.5, APC-Cy7, Biotin-APC, FITC-Biotin, TRITC, APC-Cy5, AF488, AF594, AF405, AF555, AF700, AF647, AF750 |
| Валидировано для | IHC Иммуногистохимия |
| Рекомендуемые разведения | WB: 0.01-2 мкг/мл; IHC: 5-20 мкг/мл; ICC: 5-20 мкг/мл; Оптимальное разведение определяется конечным потребителем |
| Метод очистки | Антигенспецифическая аффинная хроматография с последующей аффинной хроматографией с белком А |
| Состав буфера | PBS, pH7.4, 0.02% NaN3, 50% глицерин |
| Условия доставки | термобокс с аккумуляторами холода |
| Условия хранения | Сразу после получения аликвотировать и хранить при -20ºС до 24 месяцев. Для частого использования хранить при +4ºС не более 2 недель. Избегать повторения циклов замерзания/оттаивания |
| Срок хранения | 24 месяца |
| Производитель | Cloud-Clone Corp. |
| Ссылка на страницу товара на сайте производителя | http://www.cloud-clone.com/products/PAJ256Ra01.html |
|
Артикул
|
Наименование |
Производитель
|
|---|
|
Артикул
|
Наименование |
Производитель
|
|---|
|
Артикул
|
Наименование |
Производитель
|
|---|
|
Артикул
|
Наименование |
Производитель
|
|---|
|
Артикул
|
Наименование |
Производитель
|
|---|
|
Артикул
|
Наименование |
Производитель
|
|---|
Акции и предложения
Популярные продукты:
Monoclonal Antibody to Cyclophilin A (CYPA) (MAA979Mu25)
Источник (хозяин): мышь
Реактивность подтвержденная: мышь
Валидировано для: IHC, WB
Реактивность подтвержденная: мышь
Валидировано для: IHC, WB
Porcine Kappa casein(CSN3) ELISA kit (E07K0085)
Организм: свинья
Chicken Copine 2(CPNE2) ELISA kit (E12C2011)
Организм: курица
Bovine Lipoarabinomannan ELISA kit (E11L0207)
Организм: корова
Canine Lipoarabinomannan ELISA kit (E08L0207)
Организм: собака
Porcine Lipoarabinomannan ELISA kit (E07L0207)
Организм: свинья

