| UNIPROT | Q12913 |
| Иммуноген | RPB545Hu01-Recombinant Density Enhanced Phosphatase 1 (DEP1) |
Polyclonal Antibody to Density Enhanced Phosphatase 1 (DEP1) (PAB545Hu01)
Реактивность подтвержденная:
человек
Источник (хозяин):
кролик
Валидировано для:
IHC
WB
Характеристики
Техническое описание
| Русское название | PAB545Hu01 Поликлональное антитело к DEP1 (человек) <Cloud-Clone,Китай> |
| Каталожный номер | PAB545Hu01 |
| Название антигена | Protein Tyrosine Phosphatase Receptor Type J (PTPRJ) |
| UNIPROT | Q12913 |
| Иммуноген | RPB545Hu01-Recombinant Density Enhanced Phosphatase 1 (DEP1) |
| Английские синонимы | CD148, CD 148, CD-148, PTPR-J, DEP1, HPTPeta, R-PTP-ETA, SCC1, Protein-tyrosine phosphatase eta, Density-enhanced phosphatase 1 |
Реактивность подтвержденная Нужна другая реактивность? |
человек |
| Реактивность предсказываемая | мышь |
| Источник (хозяин) | кролик |
| Клональность | поликлональное |
| Рекомбинантное | нет |
| Готовое к использованию | нет |
| Концентрация | 0.5 мг/мл |
| Конъюгат | По запросу: HRP, biotin, PerCP, PE, Cy3, FITC, Cy7, Cy5.5, PE-Cy5, PE-Cy7, PerCp-Cy5.5, APC, Cy5, PE-Cy3, PE-Cy5.5, APC-Cy7, Biotin-APC, FITC-Biotin, TRITC, APC-Cy5, AF488, AF594, AF405, AF555, AF700, AF647, AF750 |
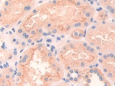
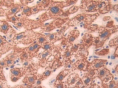
| Валидировано для | IHC WB Иммуногистохимия; Вестерн-блоттинг |
| Рекомендуемые разведения | WB: 0.01-2 мкг/мл; IHC: 5-20 мкг/мл; ICC: 5-20 мкг/мл; Оптимальное разведение определяется конечным потребителем |
| Метод очистки | Антигенспецифическая аффинная хроматография с последующей аффинной хроматографией с белком А |
| Состав буфера | 0.01M PBS, pH7.4, 0.05% Proclin-300, 50% глицерин |
| Условия доставки | термобокс с аккумуляторами холода |
| Условия хранения | Сразу после получения аликвотировать и хранить при -20ºС до 24 месяцев. Для частого использования хранить при +4ºС не более 2 недель. Избегать повторения циклов замерзания/оттаивания |
| Срок хранения | 24 месяца |
| Производитель | Cloud-Clone Corp. |
| Ссылка на страницу товара на сайте производителя | http://www.cloud-clone.com/products/PAB545Hu01.html |
|
Артикул
|
Наименование |
Производитель
|
|---|
|
Артикул
|
Наименование |
Производитель
|
|---|
|
Артикул
|
Наименование |
Производитель
|
|---|
|
Артикул
|
Наименование |
Производитель
|
|---|
Акции и предложения
Популярные продукты:
ELISA Kit DIY Materials for Cholinergic Receptor, Nicotinic, Alpha 1 (CHRNa1) (KSA981Ra01)
Организм: крыса
Диапазон определения: 0.312-20 нг/мл
Чувствительность: 0.112 нг/мл
Диапазон определения: 0.312-20 нг/мл
Чувствительность: 0.112 нг/мл
Goat Actin like protein 6A(ACTL6A) ELISA kit (E06A1222)
Организм: коза
Bovine Actin like protein 7A(ACTL7A) ELISA kit (E11A1224)
Организм: корова
Goat Actin like protein 7A(ACTL7A) ELISA kit (E06A1224)
Организм: коза
Rat Periostin ELISA kit (E02P0110)
Организм: крыса

