| UNIPROT | O00115 |
| Иммуноген | RPC247Hu01-Recombinant Deoxyribonuclease II (DNASEII) |
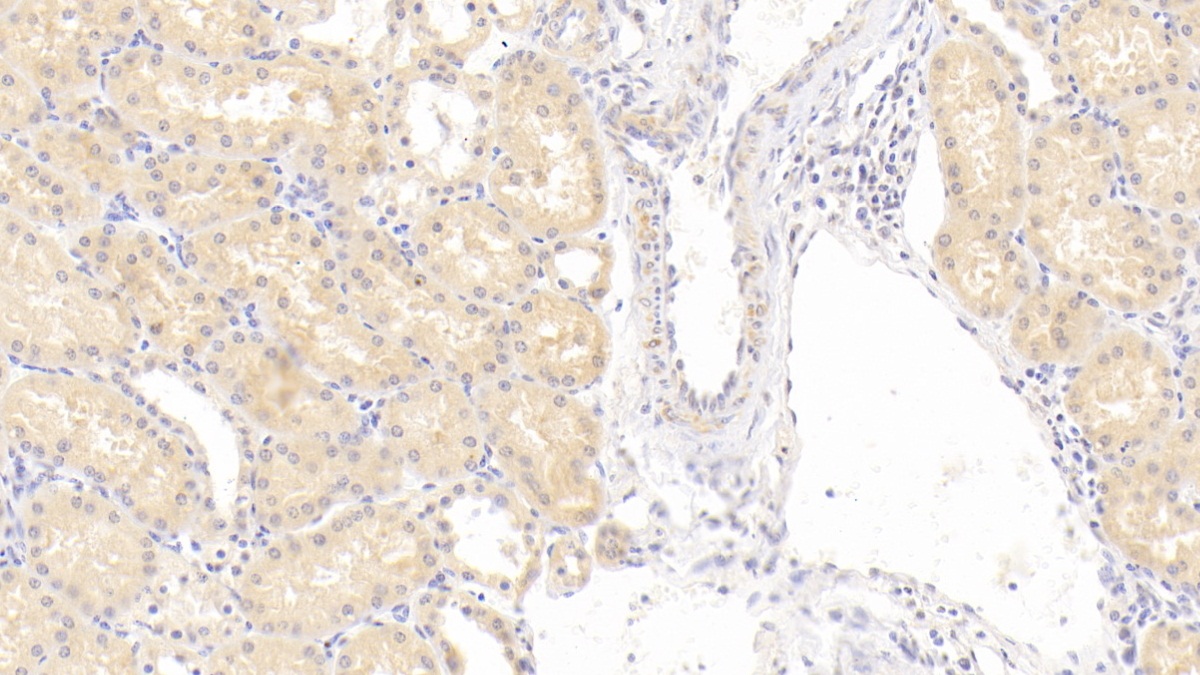
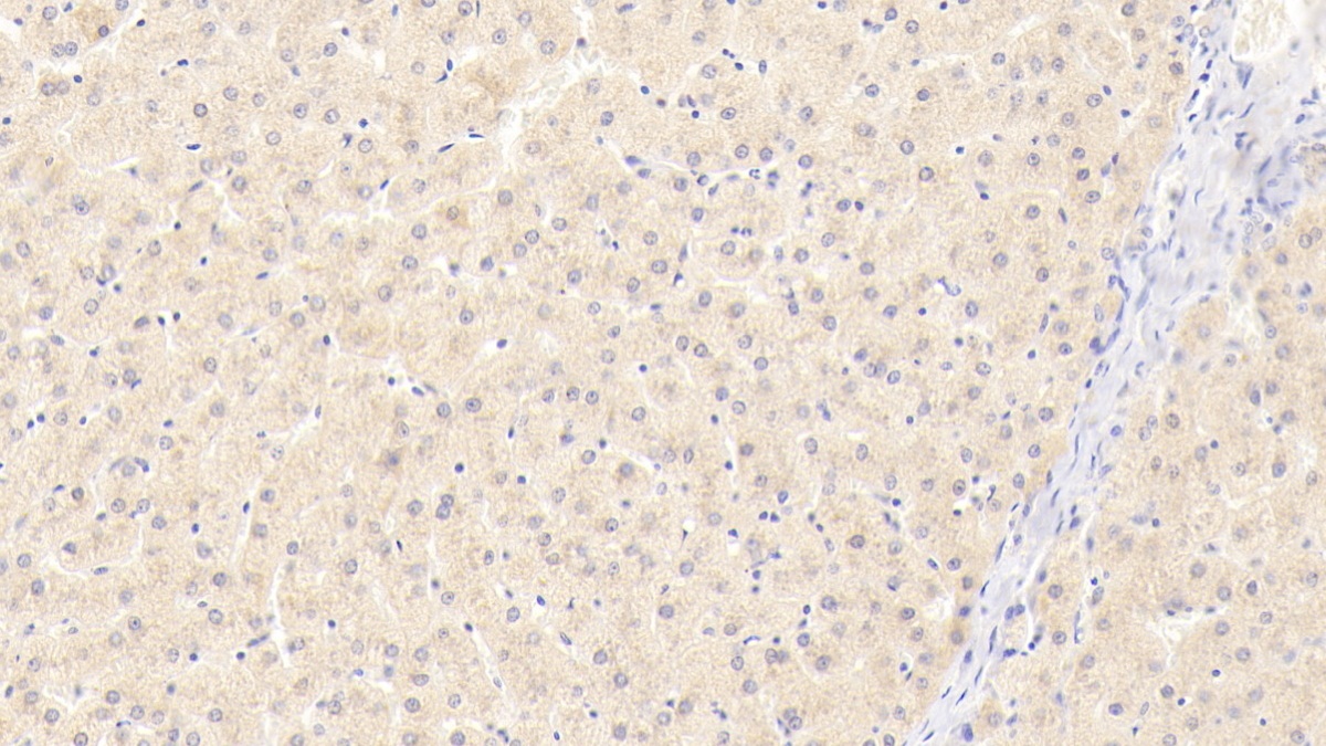
Polyclonal Antibody to Deoxyribonuclease II (DNASEII) (PAC247Hu01)
Реактивность подтвержденная:
человек
Источник (хозяин):
кролик
Валидировано для:
IHC
WB
Характеристики
Техническое описание
| Русское название | PAC247Hu01 Поликлональное антитело к DNASEII (человек) <Cloud-Clone,Китай> |
| Каталожный номер | PAC247Hu01 |
| Название антигена | Deoxyribonuclease II (DNASEII) |
| UNIPROT | O00115 |
| Иммуноген | RPC247Hu01-Recombinant Deoxyribonuclease II (DNASEII) |
| Английские синонимы | DNase-II, DNase2, DNASE2A, DNASE2B, DRN2, DNL, DNL2, Deoxyribonuclease II Alpha, Acid DNase, Lysosomal DNase II |
Реактивность подтвержденная Нужна другая реактивность? |
человек |
| Реактивность предсказываемая | свинья |
| Источник (хозяин) | кролик |
| Клональность | поликлональное |
| Рекомбинантное | нет |
| Готовое к использованию | нет |
| Концентрация | 0.5 мг/мл |
| Конъюгат | По запросу: HRP, biotin, PerCP, PE, Cy3, FITC, Cy7, Cy5.5, PE-Cy5, PE-Cy7, PerCp-Cy5.5, APC, Cy5, PE-Cy3, PE-Cy5.5, APC-Cy7, Biotin-APC, FITC-Biotin, TRITC, APC-Cy5, AF488, AF594, AF405, AF555, AF700, AF647, AF750 |
| Валидировано для | IHC WB Иммуногистохимия; Вестерн-блоттинг |
| Рекомендуемые разведения | WB: 0.5-2 мкг/мл; IHC: 5-20 мкг/мл; ICC: 5-20 мкг/мл; Оптимальное разведение определяется конечным потребителем |
| Метод очистки | Антигенспецифическая аффинная хроматография с последующей аффинной хроматографией с белком А |
| Состав буфера | PBS, pH7.4, 0.02% NaN3, 50% глицерин |
| Условия доставки | термобокс с аккумуляторами холода |
| Условия хранения | Сразу после получения аликвотировать и хранить при -20ºС до 24 месяцев. Для частого использования хранить при +4ºС не более 2 недель. Избегать повторения циклов замерзания/оттаивания |
| Срок хранения | 24 месяца |
| Производитель | Cloud-Clone Corp. |
| Ссылка на страницу товара на сайте производителя | http://www.cloud-clone.com/products/PAC247Hu01.html |
|
Артикул
|
Наименование |
Производитель
|
|---|
Акции и предложения
Популярные продукты:
ELISA Kit DIY Materials for Tsukushin (TSK) (KSM428Mu01)
Организм: мышь
Диапазон определения: 15.6-1000 пг/мл
Чувствительность: 6.0 пг/мл
Диапазон определения: 15.6-1000 пг/мл
Чувствительность: 6.0 пг/мл
Rat 14-3-3 protein gamma(YWHAG) ELISA kit (E02Y0006)
Организм: крыса
Monkey Transcriptional activator GLI3(GLI3) ELISA kit (E09T0618)
Организм: обезьяна
Guinea Pig Protein ADP ribosylarginine] hydrolase(ADPRH) ELISA kit (E05P0222)
Организм: морская свинка
Sheep Claspin(CLSPN) ELISA kit (E14C1815)
Организм: овца

