| UNIPROT | P97930 |
| Иммуноген | RPD780Mu01-Recombinant Deoxythymidylate Kinase (DTYMK) |
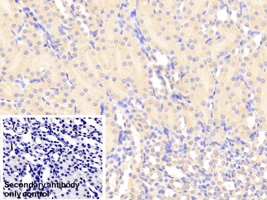
Polyclonal Antibody to Deoxythymidylate Kinase (DTYMK) (PAD780Mu01)
Реактивность подтвержденная:
мышь
Источник (хозяин):
кролик
Валидировано для:
IHC
WB
Характеристики
Техническое описание
| Русское название | PAD780Mu01 Поликлональное антитело к DTYMK (мышь) <Cloud-Clone,Китай> |
| Каталожный номер | PAD780Mu01 |
| Название антигена | Deoxythymidylate Kinase (DTYMK) |
| UNIPROT | P97930 |
| Иммуноген | RPD780Mu01-Recombinant Deoxythymidylate Kinase (DTYMK) |
| Английские синонимы | CDC8, TMPK, TYMK, Thymidylate Kinase, dTMP Kinase |
Реактивность подтвержденная Нужна другая реактивность? |
мышь |
| Реактивность предсказываемая | человек, крыса |
| Источник (хозяин) | кролик |
| Клональность | поликлональное |
| Рекомбинантное | нет |
| Готовое к использованию | нет |
| Концентрация | 500 мкг/мл |
| Конъюгат | По запросу: HRP, biotin, PerCP, PE, Cy3, FITC, Cy7, Cy5.5, PE-Cy5, PE-Cy7, PerCp-Cy5.5, APC, Cy5, PE-Cy3, PE-Cy5.5, APC-Cy7, Biotin-APC, FITC-Biotin, TRITC, APC-Cy5, AF488, AF594, AF405, AF555, AF700, AF647, AF750 |
| Валидировано для | IHC WB Иммуногистохимия; Вестерн-блоттинг |
| Рекомендуемые разведения | WB: 0.2-2 мкг/мл; 1:250-2500; IHC: 5-20 мкг/мл; 1:25-100; ICC: 5-20 мкг/мл; 1:25-100; Оптимальное разведение определяется конечным потребителем |
| Метод очистки | Антигенспецифическая аффинная хроматография с последующей аффинной хроматографией с белком А |
| Состав буфера | 0.01M PBS, pH7.4, 0.05% Proclin-300, 50% глицерин |
| Условия доставки | термобокс с аккумуляторами холода |
| Условия хранения | Сразу после получения аликвотировать и хранить при -20ºС до 24 месяцев. Для частого использования хранить при +4ºС не более 2 недель. Избегать повторения циклов замерзания/оттаивания |
| Срок хранения | 24 месяца |
| Производитель | Cloud-Clone Corp. |
| Ссылка на страницу товара на сайте производителя | http://www.cloud-clone.com/products/PAD780Mu01.html |
|
Артикул
|
Наименование |
Производитель
|
|---|
|
Артикул
|
Наименование |
Производитель
|
|---|
|
Артикул
|
Наименование |
Производитель
|
|---|
|
Артикул
|
Наименование |
Производитель
|
|---|
|
Артикул
|
Наименование |
Производитель
|
|---|
|
Артикул
|
Наименование |
Производитель
|
|---|
Акции и предложения
Популярные продукты:
Bovine Lumisterol ELISA kit (E11L1231)
Организм: корова
Recombinant ASFV S273R Protein, N-His (YVV37501)
Источник (хозяин): E.coli
Организм: вирусы
Фрагмент: Met1-Ala273
Теги: N-His
Биоактивность: нет
Организм: вирусы
Фрагмент: Met1-Ala273
Теги: N-His
Биоактивность: нет
SENP8 Antibody (AF0279)
Источник (хозяин): кролик
Реактивность подтвержденная: человек, мышь, крыса
Валидировано для: IHC, WB, IF, ICC
Реактивность подтвержденная: человек, мышь, крыса
Валидировано для: IHC, WB, IF, ICC
ELISA Kit DIY Materials for Forkhead Box P3 (FOXP3) (KSB877Hu01)
Организм: человек
Диапазон определения: 0.312-20 нг/мл
Чувствительность: 0.125 нг/мл
Диапазон определения: 0.312-20 нг/мл
Чувствительность: 0.125 нг/мл
Polyclonal Antibody to Deoxythymidylate Kinase (DTYMK) (PAD780Mu01)
Источник (хозяин): кролик
Реактивность подтвержденная: мышь
Валидировано для: IHC, WB
Реактивность подтвержденная: мышь
Валидировано для: IHC, WB
Rabbit Anti-NeuN Antibody (SAA2241) (RHA00601)
Источник (хозяин): кролик
Реактивность подтвержденная: человек, мышь, крыса
Валидировано для: FCM, ICC, IF, IHC, WB
Реактивность подтвержденная: человек, мышь, крыса
Валидировано для: FCM, ICC, IF, IHC, WB

