| UNIPROT | Q08554 |
| Иммуноген | RPG435Hu01-Recombinant Desmocollin 1 (DSC1) |
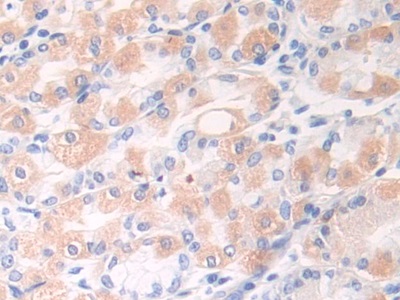
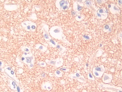
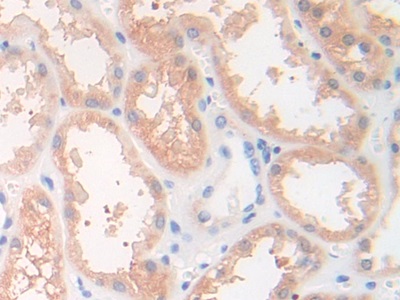
Polyclonal Antibody to Desmocollin 1 (DSC1) (PAG435Hu01)
Реактивность подтвержденная:
человек
Источник (хозяин):
кролик
Валидировано для:
IHC
Характеристики
Публикации
Техническое описание
| Русское название | PAG435Hu01 Поликлональное антитело к DSC1 (человек) <Cloud-Clone,Китай> |
| Каталожный номер | PAG435Hu01 |
| Название антигена | Desmocollin 1 (DSC1) |
| UNIPROT | Q08554 |
| Иммуноген | RPG435Hu01-Recombinant Desmocollin 1 (DSC1) |
| Английские синонимы | CDHF1, DG2/DG3, Cadherin family member 1, Desmosomal glycoprotein 2/3 |
Реактивность подтвержденная Нужна другая реактивность? |
человек |
| Источник (хозяин) | кролик |
| Клональность | поликлональное |
| Рекомбинантное | нет |
| Готовое к использованию | нет |
| Концентрация | 0.28 мг/мл |
| Конъюгат | По запросу: HRP, biotin, PerCP, PE, Cy3, FITC, Cy7, Cy5.5, PE-Cy5, PE-Cy7, PerCp-Cy5.5, APC, Cy5, PE-Cy3, PE-Cy5.5, APC-Cy7, Biotin-APC, FITC-Biotin, TRITC, APC-Cy5, AF488, AF594, AF405, AF555, AF700, AF647, AF750 |
| Валидировано для | IHC Иммуногистохимия |
| Рекомендуемые разведения | WB: 0.01-3 мкг/мл; IHC: 5-30 мкг/мл; ICC: 5-30 мкг/мл; Оптимальное разведение определяется конечным потребителем |
| Метод очистки | Антигенспецифическая аффинная хроматография с последующей аффинной хроматографией с белком А |
| Состав буфера | 0.01M PBS, pH7.4, 0.05% Proclin-300, 50% глицерин |
| Условия доставки | термобокс с аккумуляторами холода |
| Условия хранения | Сразу после получения аликвотировать и хранить при -20ºС до 24 месяцев. Для частого использования хранить при +4ºС не более 2 недель. Избегать повторения циклов замерзания/оттаивания |
| Срок хранения | 24 месяца |
| Производитель | Cloud-Clone Corp. |
| Ссылка на страницу товара на сайте производителя | http://www.cloud-clone.com/products/PAG435Hu01.html |
|
Артикул
|
Наименование |
Производитель
|
|---|
|
Артикул
|
Наименование |
Производитель
|
|---|
|
Артикул
|
Наименование |
Производитель
|
|---|
|
Артикул
|
Наименование |
Производитель
|
|---|
Акции и предложения
Популярные продукты:
Anti-Forkhead Box Protein P1 (FOXP1) Monoclonal Antibody (FAA765Hu02)
Источник (хозяин): мышь
Реактивность подтвержденная: человек
Валидировано для: FCM
Реактивность подтвержденная: человек
Валидировано для: FCM
Human Retinoic Acid Early Transcript 1G ELISA kit (E01R0122)
Организм: человек
Диапазон определения: 1-25 нг/мл
Чувствительность: 0.1 нг/мл
Диапазон определения: 1-25 нг/мл
Чувствительность: 0.1 нг/мл
Recombinant Human CIB1 Protein, N-His (YHJ47201)
Источник (хозяин): E.coli
Организм: человек
Фрагмент: Gly2-Leu191
Теги: N-His
Биоактивность: нет
Организм: человек
Фрагмент: Gly2-Leu191
Теги: N-His
Биоактивность: нет
HRP-Linked Caprine Anti-Mouse IgG Polyclonal Antibody (SAA544Mu19)
Изотип: IgG
Источник (хозяин): коза
Реактивность подтвержденная: мышь
Валидировано для: WB, IHC, ICC
Источник (хозяин): коза
Реактивность подтвержденная: мышь
Валидировано для: WB, IHC, ICC
Anti-Interleukin 18 (IL18) Monoclonal Antibody (FAA064Hu08)
Источник (хозяин): мышь
Реактивность подтвержденная: человек
Валидировано для: FCM
Реактивность подтвержденная: человек
Валидировано для: FCM
Polyclonal Antibody to Monocyte Chemotactic Protein 1 (MCP1) (PAA087Ra06)
Источник (хозяин): кролик
Реактивность подтвержденная: крыса
Валидировано для: WB
Реактивность подтвержденная: крыса
Валидировано для: WB

