| UNIPROT | P15924 |
| Иммуноген | RPC203Hu01-Recombinant Desmoplakin (DSP) |
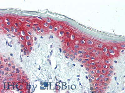
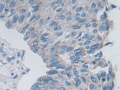
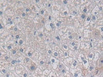
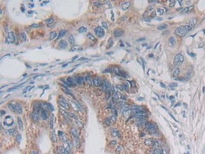
Polyclonal Antibody to Desmoplakin (DSP) (PAC203Hu01)
Реактивность подтвержденная:
человек
Источник (хозяин):
кролик
Валидировано для:
IHC
Характеристики
Техническое описание
| Русское название | PAC203Hu01 Поликлональное антитело к DSP (человек) <Cloud-Clone,Китай> |
| Каталожный номер | PAC203Hu01 |
| Название антигена | Desmoplakin (DSP) |
| UNIPROT | P15924 |
| Иммуноген | RPC203Hu01-Recombinant Desmoplakin (DSP) |
| Английские синонимы | DPI, DPII, KPPS2, PPKS2, DP, 250/210 kDa paraneoplastic pemphigus antigen |
Реактивность подтвержденная Нужна другая реактивность? |
человек |
| Реактивность предсказываемая | мышь, крыса |
| Источник (хозяин) | кролик |
| Клональность | поликлональное |
| Рекомбинантное | нет |
| Готовое к использованию | нет |
| Концентрация | 0.5 мг/мл |
| Конъюгат | По запросу: HRP, biotin, PerCP, PE, Cy3, FITC, Cy7, Cy5.5, PE-Cy5, PE-Cy7, PerCp-Cy5.5, APC, Cy5, PE-Cy3, PE-Cy5.5, APC-Cy7, Biotin-APC, FITC-Biotin, TRITC, APC-Cy5, AF488, AF594, AF405, AF555, AF700, AF647, AF750 |
| Валидировано для | IHC Иммуногистохимия |
| Рекомендуемые разведения | WB: 0.01-3 мкг/мл; IHC: 5-30 мкг/мл; ICC: 5-30 мкг/мл; Оптимальное разведение определяется конечным потребителем |
| Метод очистки | Антигенспецифическая аффинная хроматография с последующей аффинной хроматографией с белком А |
| Состав буфера | PBS, pH7.4, 0.02% NaN3, 50% глицерин |
| Условия доставки | термобокс с аккумуляторами холода |
| Условия хранения | Сразу после получения аликвотировать и хранить при -20ºС до 24 месяцев. Для частого использования хранить при +4ºС не более 2 недель. Избегать повторения циклов замерзания/оттаивания |
| Срок хранения | 24 месяца |
| Производитель | Cloud-Clone Corp. |
| Ссылка на страницу товара на сайте производителя | http://www.cloud-clone.com/products/PAC203Hu01.html |
|
Артикул
|
Наименование |
Производитель
|
|---|
|
Артикул
|
Наименование |
Производитель
|
|---|
|
Артикул
|
Наименование |
Производитель
|
|---|
|
Артикул
|
Наименование |
Производитель
|
|---|
Акции и предложения
Популярные продукты:
Anti-GPM6B Polyclonal Antibody (PHG55701)
Источник (хозяин): кролик
Реактивность подтвержденная: человек, мышь, крыса
Валидировано для: ELISA, WB
Реактивность подтвержденная: человек, мышь, крыса
Валидировано для: ELISA, WB
Anti-Tumor Necrosis Factor Alpha (TNFa) Monoclonal Antibody (FAA133Bo02)
Источник (хозяин): мышь
Реактивность подтвержденная: корова
Валидировано для: FCM
Реактивность подтвержденная: корова
Валидировано для: FCM
Rat Oxalic Acid ELISA kit (E02O0851)
Организм: крыса
Mouse Cullin 4B(CUL4B) ELISA kit (E03C2185)
Организм: мышь
Rat Cullin 4B(CUL4B) ELISA kit (E02C2185)
Организм: крыса
Human Cullin 4B(CUL4B) ELISA kit (E01C2185)
Организм: человек
Диапазон определения: 2.5-50 нг/мл
Чувствительность: 0.1 нг/мл
Диапазон определения: 2.5-50 нг/мл
Чувствительность: 0.1 нг/мл

