| UNIPROT | Q01459 |
| Иммуноген | RPJ314Hu01-Recombinant Di-N-Acetyl Chitobiase (CTBS) |
Polyclonal Antibody to Di-N-Acetyl Chitobiase (CTBS) (PAJ314Hu01)
Реактивность подтвержденная:
человек
Источник (хозяин):
кролик
Валидировано для:
IHC
Характеристики
Техническое описание
| Русское название | PAJ314Hu01 Поликлональное антитело к CTBS (человек) <Cloud-Clone,Китай> |
| Каталожный номер | PAJ314Hu01 |
| Название антигена | Di-N-Acetyl Chitobiase (CTBS) |
| UNIPROT | Q01459 |
| Иммуноген | RPJ314Hu01-Recombinant Di-N-Acetyl Chitobiase (CTBS) |
| Английские синонимы | CTB |
Реактивность подтвержденная Нужна другая реактивность? |
человек |
| Источник (хозяин) | кролик |
| Клональность | поликлональное |
| Рекомбинантное | нет |
| Готовое к использованию | нет |
| Концентрация | 0.5 мг/мл |
| Конъюгат | По запросу: HRP, biotin, PerCP, PE, Cy3, FITC, Cy7, Cy5.5, PE-Cy5, PE-Cy7, PerCp-Cy5.5, APC, Cy5, PE-Cy3, PE-Cy5.5, APC-Cy7, Biotin-APC, FITC-Biotin, TRITC, APC-Cy5, AF488, AF594, AF405, AF555, AF700, AF647, AF750 |
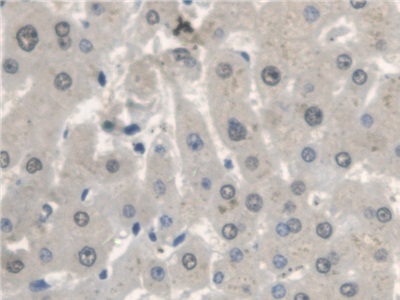
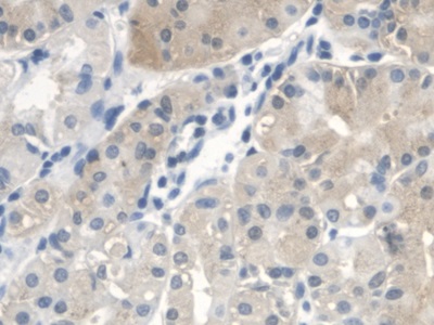
| Валидировано для | IHC Иммуногистохимия |
| Рекомендуемые разведения | WB: 0.01-2 мкг/мл; IHC: 5-20 мкг/мл; Оптимальное разведение определяется конечным потребителем |
| Метод очистки | Антигенспецифическая аффинная хроматография с последующей аффинной хроматографией с белком А |
| Состав буфера | 0.01M PBS, pH7.4, 0.05% Proclin-300, 50% глицерин |
| Условия доставки | термобокс с аккумуляторами холода |
| Условия хранения | Сразу после получения аликвотировать и хранить при -20ºС до 24 месяцев. Для частого использования хранить при +4ºС не более 2 недель. Избегать повторения циклов замерзания/оттаивания |
| Срок хранения | 24 месяца |
| Производитель | Cloud-Clone Corp. |
| Ссылка на страницу товара на сайте производителя | http://www.cloud-clone.com/products/PAJ314Hu01.html |
|
Артикул
|
Наименование |
Производитель
|
|---|
|
Артикул
|
Наименование |
Производитель
|
|---|
Акции и предложения
Популярные продукты:
Chicken Male enhanced antigen 1(MEA1) ELISA kit (E12M0392)
Организм: курица
Anti-PLA2G6 Polyclonal Antibody (PHA99101)
Источник (хозяин): кролик
Реактивность подтвержденная: человек, мышь, крыса
Валидировано для: ELISA, IHC, WB
Реактивность подтвержденная: человек, мышь, крыса
Валидировано для: ELISA, IHC, WB
Anti-RNASE7 Polyclonal Antibody (PHJ54701)
Источник (хозяин): кролик
Реактивность подтвержденная: человек
Валидировано для: ELISA, IHC, WB
Реактивность подтвержденная: человек
Валидировано для: ELISA, IHC, WB
Recombinant CHPV N/Nucleoprotein Protein, N-His (YVV43001)
Источник (хозяин): E.coli
Организм: вирусы
Фрагмент: Met1-Ala422
Теги: N-His
Биоактивность: нет
Организм: вирусы
Фрагмент: Met1-Ala422
Теги: N-His
Биоактивность: нет
Anti-WWP2 Antibody (R2T39) (RHA08901)
Источник (хозяин): мышь
Реактивность подтвержденная: человек
Валидировано для: IP, WB
Реактивность подтвержденная: человек
Валидировано для: IP, WB

