| UNIPROT | Q16760 |
| Иммуноген | RPE847Hu01-Recombinant Diacylglycerol Kinase Delta (DGKd) |
Polyclonal Antibody to Diacylglycerol Kinase Delta (DGKd) (PAE847Hu01)
Реактивность подтвержденная:
человек
Источник (хозяин):
кролик
Валидировано для:
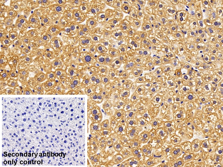
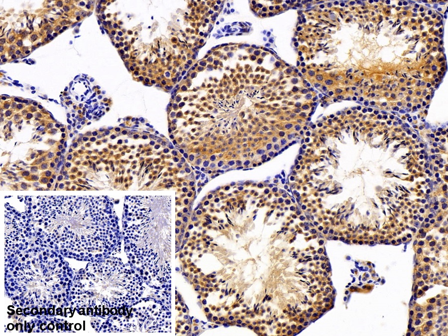
IHC
Характеристики
Техническое описание
| Русское название | PAE847Hu01 Поликлональное антитело к DGKd (человек) <Cloud-Clone,Китай> |
| Каталожный номер | PAE847Hu01 |
| Название антигена | Diacylglycerol Kinase Delta (DGKd) |
| UNIPROT | Q16760 |
| Иммуноген | RPE847Hu01-Recombinant Diacylglycerol Kinase Delta (DGKd) |
| Английские синонимы | Dgkd-2, Diglyceride Kinase, 130 kDa diacylglycerol kinase |
Реактивность подтвержденная Нужна другая реактивность? |
человек |
| Источник (хозяин) | кролик |
| Клональность | поликлональное |
| Рекомбинантное | нет |
| Готовое к использованию | нет |
| Концентрация | 500 мкг/мл |
| Конъюгат | По запросу: HRP, biotin, PerCP, PE, Cy3, FITC, Cy7, Cy5.5, PE-Cy5, PE-Cy7, PerCp-Cy5.5, APC, Cy5, PE-Cy3, PE-Cy5.5, APC-Cy7, Biotin-APC, FITC-Biotin, TRITC, APC-Cy5, AF488, AF594, AF405, AF555, AF700, AF647, AF750 |
| Валидировано для | IHC Иммуногистохимия |
| Рекомендуемые разведения | WB: 0.5-2 мкг/мл; IHC: 5-20 мкг/мл; ICC: 5-20 мкг/мл Оптимальное разведение определяется конечным потребителем |
| Метод очистки | Антигенспецифическая аффинная хроматография с последующей аффинной хроматографией с белком А |
| Состав буфера | 0.01M PBS, pH7.4, 0.05% Proclin-300, 50% глицерин |
| Условия доставки | термобокс с аккумуляторами холода |
| Условия хранения | Сразу после получения аликвотировать и хранить при -20ºС до 24 месяцев. Для частого использования хранить при +4ºС не более 2 недель. Избегать повторения циклов замерзания/оттаивания |
| Срок хранения | 24 месяца |
| Производитель | Cloud-Clone Corp. |
| Ссылка на страницу товара на сайте производителя | http://www.cloud-clone.com/products/PAE847Hu01.html |
|
Артикул
|
Наименование |
Производитель
|
|---|
Акции и предложения
Популярные продукты:
Human 17 β hydroxysteroid dehydrogenase 14(HSD17B14) ELISA kit (E01B0020)
Организм: человек
Диапазон определения: 1-25 нг/мл
Чувствительность: 0.1 нг/мл
Диапазон определения: 1-25 нг/мл
Чувствительность: 0.1 нг/мл
Chicken Neuregulin 4 ELISA kit (E12N0602)
Организм: курица
Anti-Mouse WNT8A Polyclonal Antibody (PMN37001)
Источник (хозяин): кролик
Реактивность подтвержденная: мышь
Валидировано для: ELISA, IHC, WB
Реактивность подтвержденная: мышь
Валидировано для: ELISA, IHC, WB
Recombinant Human DPT Protein, N-His (YHG12401)
Источник (хозяин): E.coli
Организм: человек
Фрагмент: Gly45-Val201
Теги: N-His
Биоактивность: нет
Организм: человек
Фрагмент: Gly45-Val201
Теги: N-His
Биоактивность: нет
Native Bovine IgG Protein (EBB96401)
Источник (хозяин): корова
Организм: корова
Фрагмент: полноразмерный белок
Биоактивность: да
Организм: корова
Фрагмент: полноразмерный белок
Биоактивность: да
Anti-Human CD156b/ADAM17 Nanobody (SAA1218) (RHF68801)
Источник (хозяин): альпака
Реактивность подтвержденная: человек
Валидировано для: ELISA
Реактивность подтвержденная: человек
Валидировано для: ELISA

