| UNIPROT | P07108 |
| Иммуноген | RPD696Hu01-Recombinant Diazepam Binding Inhibitor (DBI) |
Polyclonal Antibody to Diazepam Binding Inhibitor (DBI) (PAD696Hu01)
Реактивность подтвержденная:
человек
Источник (хозяин):
кролик
Валидировано для:
IHC
WB
Характеристики
Техническое описание
| Русское название | PAD696Hu01 Поликлональное антитело к DBI (человек) <Cloud-Clone,Китай> |
| Каталожный номер | PAD696Hu01 |
| Название антигена | Diazepam Binding Inhibitor (DBI) |
| UNIPROT | P07108 |
| Иммуноген | RPD696Hu01-Recombinant Diazepam Binding Inhibitor (DBI) |
| Английские синонимы | ACBP, ACBD1, CCK-RP, EP, Endozepine, GABA Receptor Modulator, Acyl-Coenzyme A Binding Protein |
Реактивность подтвержденная Нужна другая реактивность? |
человек |
| Реактивность предсказываемая | мышь, свинья |
| Источник (хозяин) | кролик |
| Клональность | поликлональное |
| Рекомбинантное | нет |
| Готовое к использованию | нет |
| Концентрация | 500 мкг/мл |
| Конъюгат | По запросу: HRP, biotin, PerCP, PE, Cy3, FITC, Cy7, Cy5.5, PE-Cy5, PE-Cy7, PerCp-Cy5.5, APC, Cy5, PE-Cy3, PE-Cy5.5, APC-Cy7, Biotin-APC, FITC-Biotin, TRITC, APC-Cy5, AF488, AF594, AF405, AF555, AF700, AF647, AF750 |
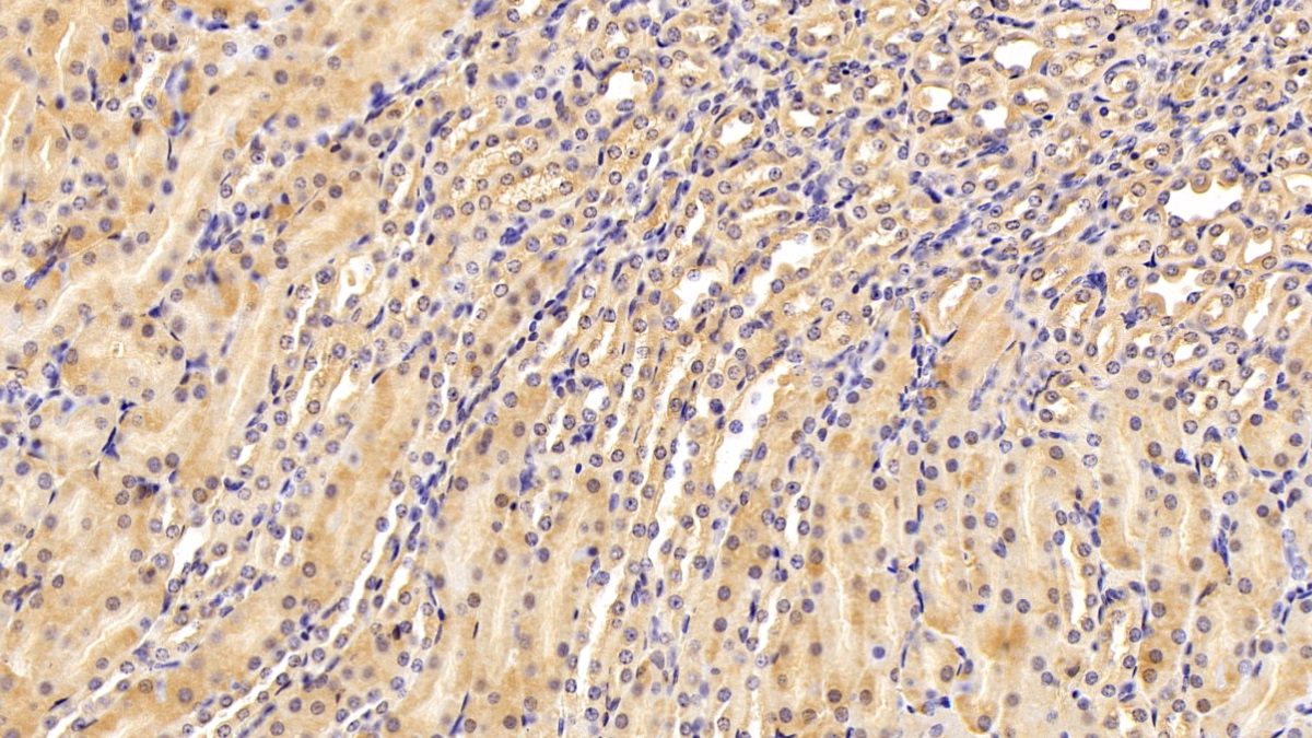
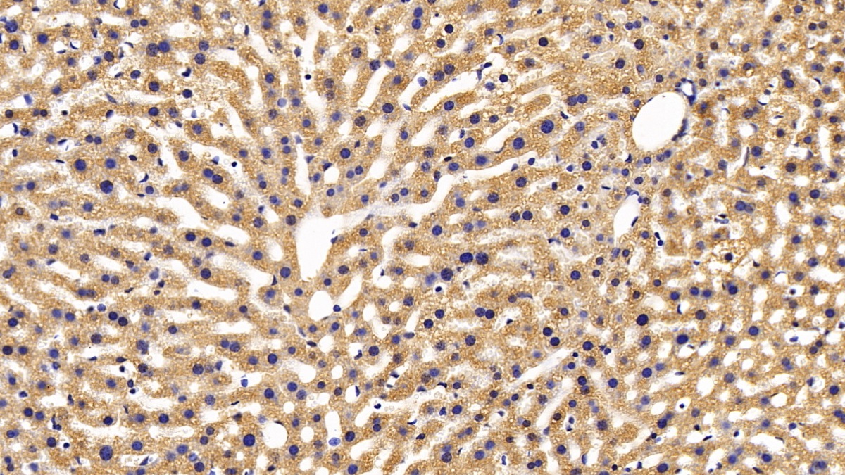
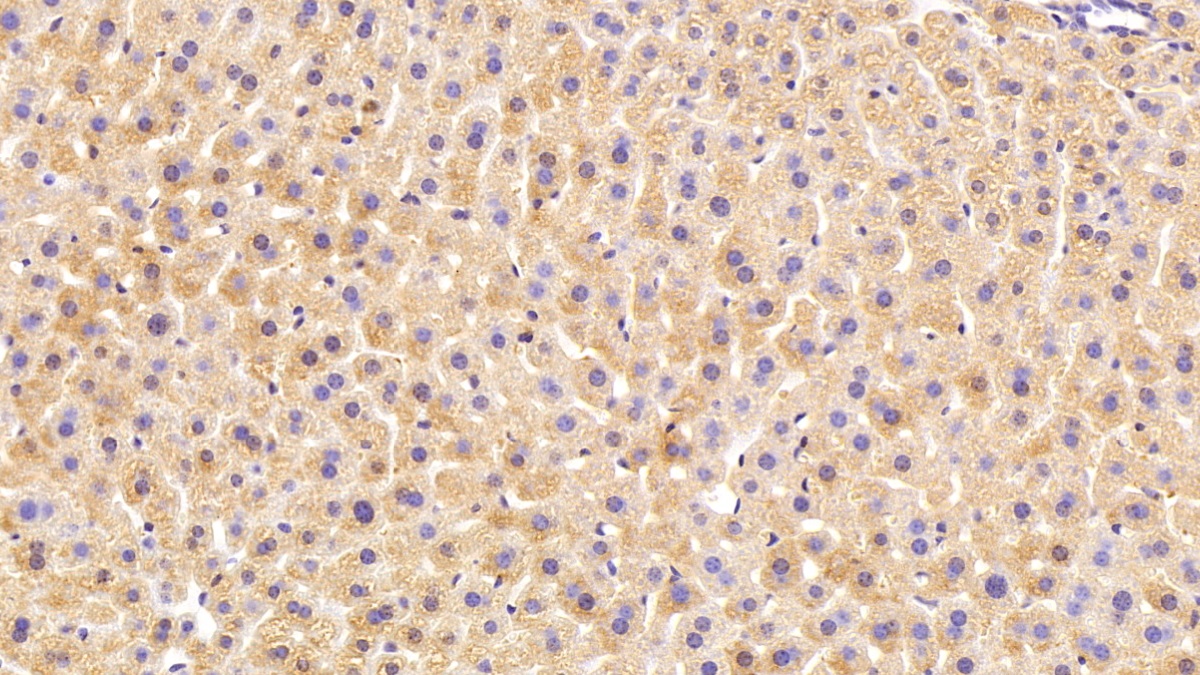
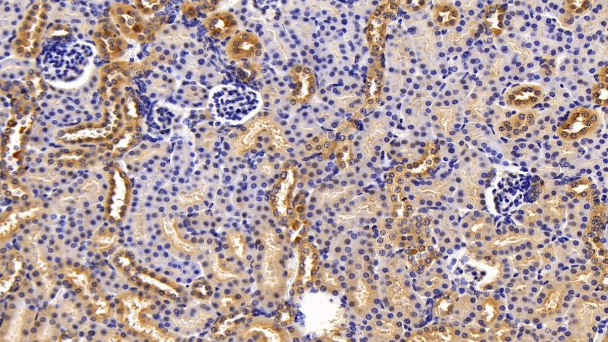
| Валидировано для | IHC WB Иммуногистохимия; Вестерн-блоттинг |
| Рекомендуемые разведения | WB: 0.5-2 мкг/мл; IHC: 5-20 мкг/мл; ICC: 5-20 мкг/мл; Оптимальное разведение определяется конечным потребителем |
| Метод очистки | Антигенспецифическая аффинная хроматография с последующей аффинной хроматографией с белком А |
| Состав буфера | 0.01M PBS, pH7.4, 0.05% Proclin-300, 50% глицерин |
| Условия доставки | термобокс с аккумуляторами холода |
| Условия хранения | Сразу после получения аликвотировать и хранить при -20ºС до 24 месяцев. Для частого использования хранить при +4ºС не более 2 недель. Избегать повторения циклов замерзания/оттаивания |
| Срок хранения | 24 месяца |
| Производитель | Cloud-Clone Corp. |
| Ссылка на страницу товара на сайте производителя | http://www.cloud-clone.com/products/PAD696Hu01.html |
|
Артикул
|
Наименование |
Производитель
|
|---|
|
Артикул
|
Наименование |
Производитель
|
|---|
|
Артикул
|
Наименование |
Производитель
|
|---|
Акции и предложения
Популярные продукты:
Cytokeratin 13 Mouse Monoclonal Antibody (BF8985)
Источник (хозяин): мышь
Реактивность подтвержденная: человек
Валидировано для: WB
Реактивность подтвержденная: человек
Валидировано для: WB
Cytokeratin 13 Mouse Monoclonal Antibody (BF8207)
Источник (хозяин): мышь
Реактивность подтвержденная: человек, крыса
Валидировано для: IHC, WB
Реактивность подтвержденная: человек, крыса
Валидировано для: IHC, WB
Goat Kallikrein 6 ELISA kit (E06K0073)
Организм: коза
Human Kallikrein 11 ELISA kit (E01K0072)
Организм: человек
Диапазон определения: 0.5-10 нг/мл
Чувствительность: 0.1 нг/мл
Диапазон определения: 0.5-10 нг/мл
Чувствительность: 0.1 нг/мл
KRIBIOLISA Varisacumab ELISA (KBI1720)
Организм: человек
Диапазон определения: 0 - 2000 нг/мл
Чувствительность: 15 нг/мл
Диапазон определения: 0 - 2000 нг/мл
Чувствительность: 15 нг/мл

