| UNIPROT | Q9UBP4 |
| Иммуноген | RPD410Hu01-Recombinant Dickkopf Related Protein 3 (DKK3) |
Polyclonal Antibody to Dickkopf Related Protein 3 (DKK3) (PAD410Hu01)
Реактивность подтвержденная:
человек
Источник (хозяин):
кролик
Валидировано для:
IHC
WB
Характеристики
Техническое описание
| Русское название | PAD410Hu01 Поликлональное антитело к DKK3 (человек) <Cloud-Clone,Китай> |
| Каталожный номер | PAD410Hu01 |
| Название антигена | Dickkopf Related Protein 3 (DKK3) |
| UNIPROT | Q9UBP4 |
| Иммуноген | RPD410Hu01-Recombinant Dickkopf Related Protein 3 (DKK3) |
| Английские синонимы | REIC |
Реактивность подтвержденная Нужна другая реактивность? |
человек |
| Источник (хозяин) | кролик |
| Клональность | поликлональное |
| Рекомбинантное | нет |
| Готовое к использованию | нет |
| Концентрация | 500 мкг/мл |
| Конъюгат | По запросу: HRP, biotin, PerCP, PE, Cy3, FITC, Cy7, Cy5.5, PE-Cy5, PE-Cy7, PerCp-Cy5.5, APC, Cy5, PE-Cy3, PE-Cy5.5, APC-Cy7, Biotin-APC, FITC-Biotin, TRITC, APC-Cy5, AF488, AF594, AF405, AF555, AF700, AF647, AF750 |
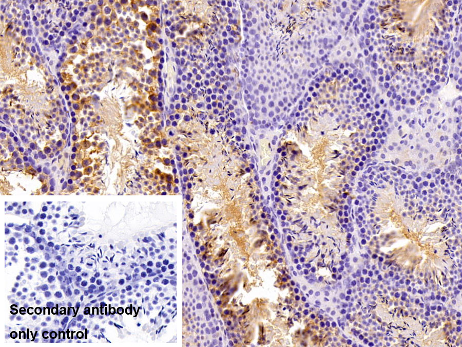
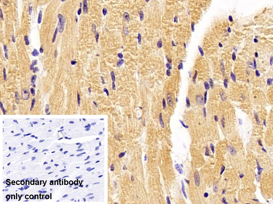
| Валидировано для | IHC WB Иммуногистохимия; Вестерн-блоттинг |
| Рекомендуемые разведения | WB: 0.5-2 мкг/мл; IHC: 5-20 мкг/мл; ICC: 5-20 мкг/мл; Оптимальное разведение определяется конечным потребителем |
| Метод очистки | Антигенспецифическая аффинная хроматография с последующей аффинной хроматографией с белком А |
| Состав буфера | 0.01M PBS, pH7.4, 0.05% Proclin-300, 50% глицерин |
| Условия доставки | термобокс с аккумуляторами холода |
| Условия хранения | Сразу после получения аликвотировать и хранить при -20ºС до 24 месяцев. Для частого использования хранить при +4ºС не более 2 недель. Избегать повторения циклов замерзания/оттаивания |
| Срок хранения | 24 месяца |
| Производитель | Cloud-Clone Corp. |
| Ссылка на страницу товара на сайте производителя | http://www.cloud-clone.com/products/PAD410Hu01.html |
|
Артикул
|
Наименование |
Производитель
|
|---|
|
Артикул
|
Наименование |
Производитель
|
|---|
|
Артикул
|
Наименование |
Производитель
|
|---|
|
Артикул
|
Наименование |
Производитель
|
|---|
|
Артикул
|
Наименование |
Производитель
|
|---|
|
Артикул
|
Наименование |
Производитель
|
|---|
|
Артикул
|
Наименование |
Производитель
|
|---|
|
Артикул
|
Наименование |
Производитель
|
|---|
Акции и предложения
Популярные продукты:
Monoclonal Antibody to Cyclophilin A (CYPA) (MAA979Mu27)
Источник (хозяин): мышь
Реактивность подтвержденная: мышь
Валидировано для: FCM
Реактивность подтвержденная: мышь
Валидировано для: FCM
Rat Artemin ELISA kit (E02A0032)
Организм: крыса
Диапазон определения: 50-1000 пг/мл
Чувствительность: 1 пг/мл
Диапазон определения: 50-1000 пг/мл
Чувствительность: 1 пг/мл
Chicken β 2 syntrophin(SNTB2) ELISA kit (E12B0720)
Организм: курица
Bovine Tubulin β2A chain ELISA Kit (E11T0579)
Организм: корова
Monkey Tubulin β2A chain ELISA Kit (E09T0579)
Организм: обезьяна
Guinea Pig Tubulin β2A chain ELISA Kit (E05T0579)
Организм: морская свинка

