| UNIPROT | P09622 |
| Иммуноген | RPA919Hu01-Recombinant Dihydrolipoyl Dehydrogenase (DLD) |
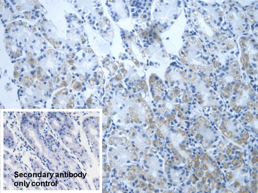
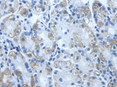
Polyclonal Antibody to Dihydrolipoyl Dehydrogenase (DLD) (PAA919Hu01)
Реактивность подтвержденная:
человек
Источник (хозяин):
кролик
Валидировано для:
IHC
WB
Характеристики
Техническое описание
| Русское название | PAA919Hu01 Поликлональное антитело к DLD (человек) <Cloud-Clone,Китай> |
| Каталожный номер | PAA919Hu01 |
| Название антигена | Dihydrolipoyl Dehydrogenase (DLD) |
| UNIPROT | P09622 |
| Иммуноген | RPA919Hu01-Recombinant Dihydrolipoyl Dehydrogenase (DLD) |
| Английские синонимы | LAD, GCSL, Dihydrolipoamide Dehydrogenase, E3 Component Of Pyruvate Dehydrogenase Complex, 2-Oxo-Glutarate Complex, Branched Chain Keto Acid Dehydrogenase Complex |
Реактивность подтвержденная Нужна другая реактивность? |
человек |
| Реактивность предсказываемая | мышь |
| Источник (хозяин) | кролик |
| Клональность | поликлональное |
| Рекомбинантное | нет |
| Готовое к использованию | нет |
| Концентрация | 0.5 мг/мл |
| Конъюгат | По запросу: HRP, biotin, PerCP, PE, Cy3, FITC, Cy7, Cy5.5, PE-Cy5, PE-Cy7, PerCp-Cy5.5, APC, Cy5, PE-Cy3, PE-Cy5.5, APC-Cy7, Biotin-APC, FITC-Biotin, TRITC, APC-Cy5, AF488, AF594, AF405, AF555, AF700, AF647, AF750 |
| Валидировано для | IHC WB Иммуногистохимия; Вестерн-блоттинг |
| Рекомендуемые разведения | WB: 0.5-2 мкг/мл; IHC: 5-20 мкг/мл; ICC: 5-20 мкг/мл; Оптимальное разведение определяется конечным потребителем |
| Метод очистки | Антигенспецифическая аффинная хроматография с последующей аффинной хроматографией с белком А |
| Состав буфера | 0.01M PBS, pH7.4, 0.05% Proclin-300, 50% глицерин |
| Условия доставки | термобокс с аккумуляторами холода |
| Условия хранения | Сразу после получения аликвотировать и хранить при -20ºС до 24 месяцев. Для частого использования хранить при +4ºС не более 2 недель. Избегать повторения циклов замерзания/оттаивания |
| Срок хранения | 24 месяца |
| Производитель | Cloud-Clone Corp. |
| Ссылка на страницу товара на сайте производителя | http://www.cloud-clone.com/products/PAA919Hu01.html |
|
Артикул
|
Наименование |
Производитель
|
|---|
|
Артикул
|
Наименование |
Производитель
|
|---|
|
Артикул
|
Наименование |
Производитель
|
|---|
|
Артикул
|
Наименование |
Производитель
|
|---|
Акции и предложения
Популярные продукты:
InVivoMAb Anti-Mouse CD3ε Antibody (145-2C11) (VMC27702)
Источник (хозяин): хомяк
Реактивность подтвержденная: мышь
Валидировано для: ELISA, FCM, IF, STIMUL, WB
Реактивность подтвержденная: мышь
Валидировано для: ELISA, FCM, IF, STIMUL, WB
ELISA Kit DIY Materials for Dysferlin (DYSF) (KSC445Hu01)
Организм: человек
Диапазон определения: 31.2-2000 пг/мл
Чувствительность: 11.9 пг/мл
Диапазон определения: 31.2-2000 пг/мл
Чувствительность: 11.9 пг/мл
ELISA Kit DIY Materials for S100 Calcium Binding Protein A5 (S100A5) (KSC021Hu01)
Организм: человек
Диапазон определения: 0.156-10 нг/мл
Чувствительность: 0.059 нг/мл
Диапазон определения: 0.156-10 нг/мл
Чувствительность: 0.059 нг/мл
Monoclonal Antibody to Casein Alpha (CSN1) (MAJ333Bo23)
Источник (хозяин): мышь
Реактивность подтвержденная: корова
Валидировано для: WB
Реактивность подтвержденная: корова
Валидировано для: WB
CLIA Kit for Inhibin Alpha (INHa) (SCA395Hu)
Организм: человек
Диапазон определения: 1.37-1,000 пг/мл
Чувствительность: 5.9 пг/мл
Диапазон определения: 1.37-1,000 пг/мл
Чувствительность: 5.9 пг/мл
Chicken Matrilysin ELISA kit (E12M0234)
Организм: курица

