| UNIPROT | Q6P6R2 |
| Иммуноген | RPA919Ra01-Recombinant Dihydrolipoyl Dehydrogenase (DLD) |
Polyclonal Antibody to Dihydrolipoyl Dehydrogenase (DLD) (PAA919Ra01)
Реактивность подтвержденная:
крыса
Источник (хозяин):
кролик
Валидировано для:
IHC
WB
Характеристики
Техническое описание
| Русское название | PAA919Ra01 Поликлональное антитело к DLD (крыса) <Cloud-Clone,Китай> |
| Каталожный номер | PAA919Ra01 |
| Название антигена | Dihydrolipoyl Dehydrogenase (DLD) |
| UNIPROT | Q6P6R2 |
| Иммуноген | RPA919Ra01-Recombinant Dihydrolipoyl Dehydrogenase (DLD) |
| Английские синонимы | LAD, GCSL, Dihydrolipoamide Dehydrogenase, E3 Component Of Pyruvate Dehydrogenase Complex, 2-Oxo-Glutarate Complex, Branched Chain Keto Acid Dehydrogenase Complex |
Реактивность подтвержденная Нужна другая реактивность? |
крыса |
| Реактивность предсказываемая | мышь |
| Источник (хозяин) | кролик |
| Клональность | поликлональное |
| Рекомбинантное | нет |
| Готовое к использованию | нет |
| Концентрация | 500 мкг/мл |
| Конъюгат | По запросу: HRP, biotin, PerCP, PE, Cy3, FITC, Cy7, Cy5.5, PE-Cy5, PE-Cy7, PerCp-Cy5.5, APC, Cy5, PE-Cy3, PE-Cy5.5, APC-Cy7, Biotin-APC, FITC-Biotin, TRITC, APC-Cy5, AF488, AF594, AF405, AF555, AF700, AF647, AF750 |
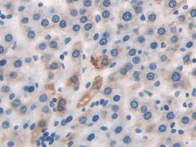
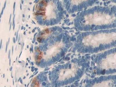
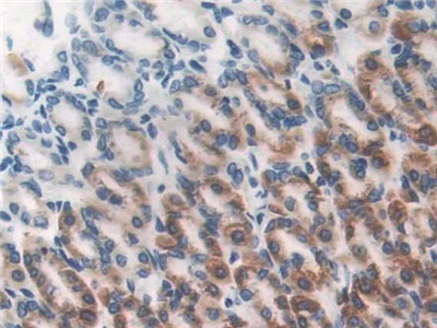
| Валидировано для | IHC WB Иммуногистохимия; Вестерн-блоттинг |
| Рекомендуемые разведения | WB: 0.5-5 мкг/мл; IHC: 5-20 мкг/мл; ICC: 5-20 мкг/мл; Оптимальное разведение определяется конечным потребителем |
| Метод очистки | Антигенспецифическая аффинная хроматография с последующей аффинной хроматографией с белком А |
| Состав буфера | 0.01M PBS, pH7.4, 0.05% Proclin-300, 50% глицерин |
| Условия доставки | термобокс с аккумуляторами холода |
| Условия хранения | Сразу после получения аликвотировать и хранить при -20ºС до 24 месяцев. Для частого использования хранить при +4ºС не более 2 недель. Избегать повторения циклов замерзания/оттаивания |
| Срок хранения | 24 месяца |
| Производитель | Cloud-Clone Corp. |
| Ссылка на страницу товара на сайте производителя | http://www.cloud-clone.com/products/PAA919Ra01.html |
|
Артикул
|
Наименование |
Производитель
|
|---|
|
Артикул
|
Наименование |
Производитель
|
|---|
|
Артикул
|
Наименование |
Производитель
|
|---|
Акции и предложения
Популярные продукты:
Anti-Human CD261/TNFRSF10A/DR4 Antibody (Fs0356) (FHA05920)
Источник (хозяин): мышь
Реактивность подтвержденная: человек
Валидировано для: ELISA, FCM
Реактивность подтвержденная: человек
Валидировано для: ELISA, FCM
Goat Thymine DNA Glycosylase ELISA kit (E06T0890)
Организм: коза
Monkey Aquaporin-6(AQP6) ELISA kit (E09A1616)
Организм: обезьяна
Canine Catenin Alpha 3(CTNNA3) ELISA kit (E08E0195)
Организм: собака
Goat Cathepsin G(cath G) ELISA kit (E06C2165)
Организм: коза
Rabbit Cytohesin 1 ELISA kit (E04C0479)
Организм: кролик

