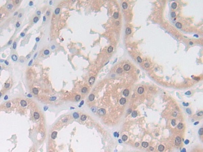
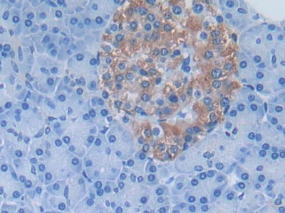
Polyclonal Antibody to Dimethylarginine Dimethylaminohydrolase 1 (DDAH1) (PAD982Hu01)
Реактивность подтвержденная:
человек
Источник (хозяин):
кролик
Валидировано для:
IHC
WB
Характеристики
Техническое описание
| Русское название | PAD982Hu01 Поликлональное антитело к DDAH1 (человек) <Cloud-Clone,Китай> |
| Каталожный номер | PAD982Hu01 |
| Название антигена | Dimethylarginine Dimethylaminohydrolase 1 (DDAH1) |
| UNIPROT | O94760 |
| Иммуноген | RPD982Hu01-Recombinant Dimethylarginine Dimethylaminohydrolase 1 (DDAH1) |
| Английские синонимы | DDAH, Dimethylargininase-1, N(G),N(G)-dimethylarginine dimethylaminohydrolase 1 |
Реактивность подтвержденная Нужна другая реактивность? |
человек |
| Реактивность предсказываемая | мышь |
| Источник (хозяин) | кролик |
| Клональность | поликлональное |
| Рекомбинантное | нет |
| Готовое к использованию | нет |
| Концентрация | 0.5 мг/мл |
| Конъюгат | По запросу: HRP, biotin, PerCP, PE, Cy3, FITC, Cy7, Cy5.5, PE-Cy5, PE-Cy7, PerCp-Cy5.5, APC, Cy5, PE-Cy3, PE-Cy5.5, APC-Cy7, Biotin-APC, FITC-Biotin, TRITC, APC-Cy5, AF488, AF594, AF405, AF555, AF700, AF647, AF750 |
| Валидировано для | IHC WB Иммуногистохимия; Вестерн-блоттинг |
| Рекомендуемые разведения | WB: 0.01-5 мкг/мл; IHC: 5-30 мкг/мл; ICC: 5-30 мкг/мл; Оптимальное разведение определяется конечным потребителем |
| Метод очистки | Антигенспецифическая аффинная хроматография с последующей аффинной хроматографией с белком А |
| Состав буфера | PBS, pH7.4, 0.02% NaN3, 50% глицерин |
| Условия доставки | термобокс с аккумуляторами холода |
| Условия хранения | Сразу после получения аликвотировать и хранить при -20ºС до 24 месяцев. Для частого использования хранить при +4ºС не более 2 недель. Избегать повторения циклов замерзания/оттаивания |
| Срок хранения | 24 месяца |
| Производитель | Cloud-Clone Corp. |
| Ссылка на страницу товара на сайте производителя | http://www.cloud-clone.com/products/PAD982Hu01.html |
|
Артикул
|
Наименование |
Производитель
|
|---|
|
Артикул
|
Наименование |
Производитель
|
|---|
Акции и предложения
Популярные продукты:
Anti-Human ACVR2B Antibody (SAb2422) (RHG63704)
Источник (хозяин): человек
Реактивность подтвержденная: человек
Валидировано для: ELISA
Реактивность подтвержденная: человек
Валидировано для: ELISA
Coenzyme Q10 (CoQ10) Colorimetric Assay Kit (E-BC-K885-M)
Организм: для всех
Диапазон определения: 0.016 мг/мл
Чувствительность: 0.016-1 мг/мл
Диапазон определения: 0.016 мг/мл
Чувствительность: 0.016-1 мг/мл
Guinea Pig Cleavage and polyadenylation specificity factor subunit 2(CPSF2) ELISA kit (E05C2024)
Организм: морская свинка
Mouse Fatty Acid Transport Protein ELISA kit (E03F0031)
Организм: мышь
Mouse Transgelin 2 ELISA kit (E03T0896)
Организм: мышь

