| UNIPROT | O14640 |
| Иммуноген | RPJ540Hu01-Recombinant Dishevelled, Dsh Homolog 1 (DVL1) |
Polyclonal Antibody to Dishevelled, Dsh Homolog 1 (DVL1) (PAJ540Hu01)
Реактивность подтвержденная:
человек
Источник (хозяин):
кролик
Валидировано для:
IHC
WB
Характеристики
Публикации
Техническое описание
| Русское название | PAJ540Hu01 Поликлональное антитело к DVL1 (человек) <Cloud-Clone,Китай> |
| Каталожный номер | PAJ540Hu01 |
| Название антигена | Dishevelled, Dsh Homolog 1 (DVL1) |
| UNIPROT | O14640 |
| Иммуноген | RPJ540Hu01-Recombinant Dishevelled, Dsh Homolog 1 (DVL1) |
| Английские синонимы | DSH homolog 1, Segment polarity protein dishevelled homolog DVL-1 |
Реактивность подтвержденная Нужна другая реактивность? |
человек |
| Реактивность предсказываемая | мышь |
| Источник (хозяин) | кролик |
| Клональность | поликлональное |
| Рекомбинантное | нет |
| Готовое к использованию | нет |
| Концентрация | 0.5 мг/мл |
| Конъюгат | По запросу: HRP, biotin, PerCP, PE, Cy3, FITC, Cy7, Cy5.5, PE-Cy5, PE-Cy7, PerCp-Cy5.5, APC, Cy5, PE-Cy3, PE-Cy5.5, APC-Cy7, Biotin-APC, FITC-Biotin, TRITC, APC-Cy5, AF488, AF594, AF405, AF555, AF700, AF647, AF750 |
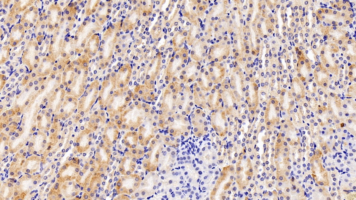
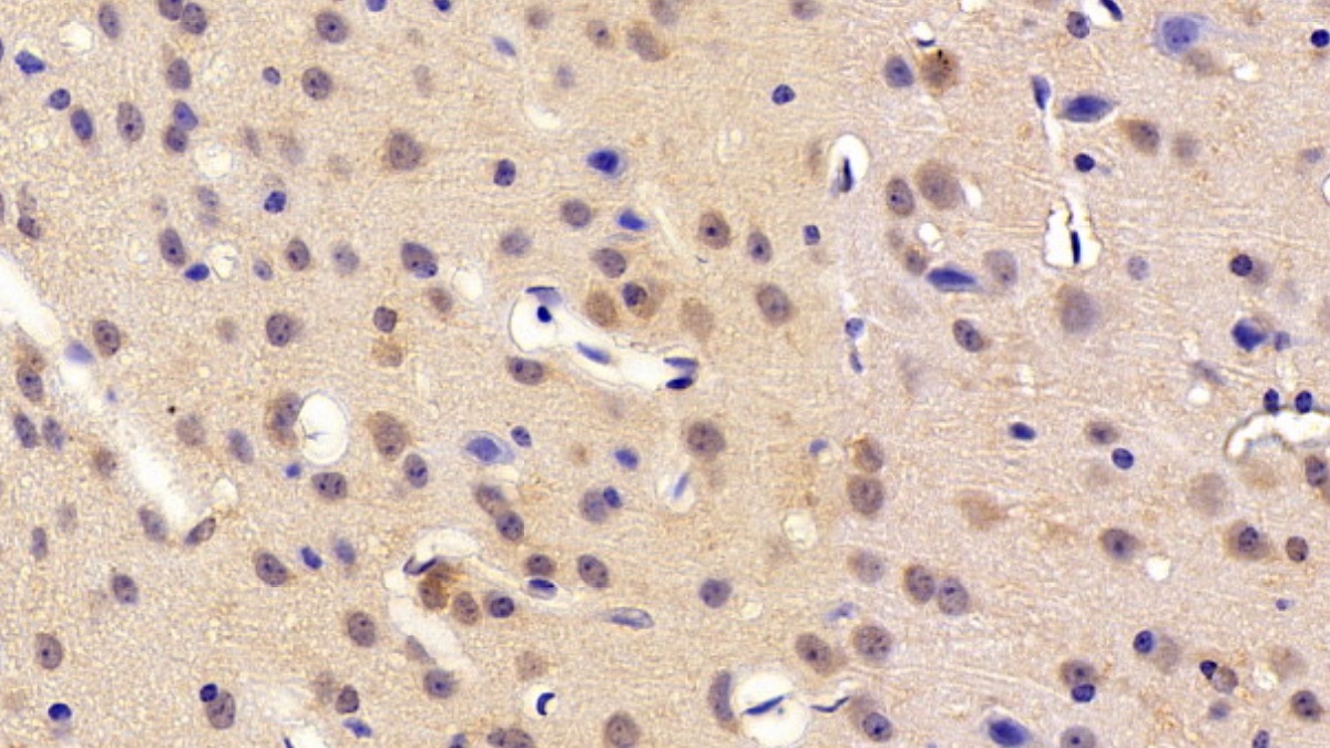
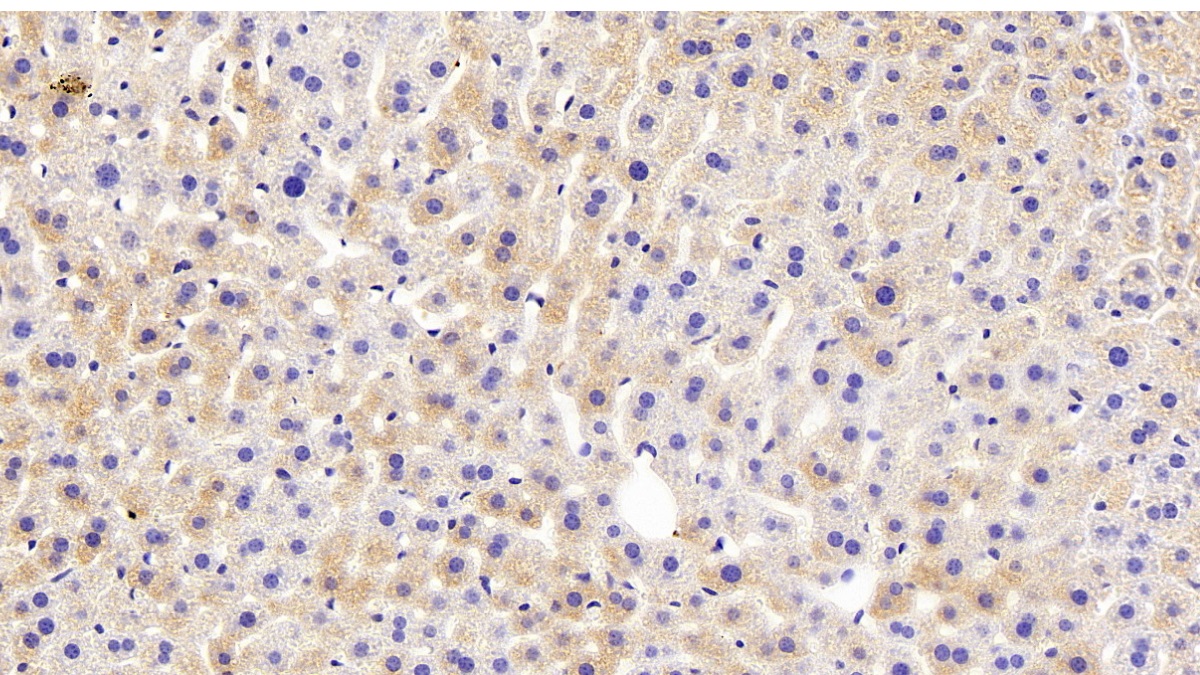
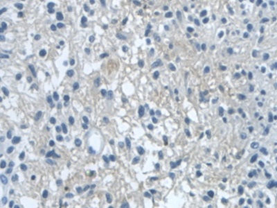
| Валидировано для | IHC WB Иммуногистохимия; Вестерн-блоттинг |
| Рекомендуемые разведения | WB: 0.01-2 мкг/мл; IHC: 5-20 мкг/мл; Оптимальное разведение определяется конечным потребителем |
| Метод очистки | Антигенспецифическая аффинная хроматография с последующей аффинной хроматографией с белком А |
| Состав буфера | 0.01M PBS, pH7.4, 0.05% Proclin-300, 50% глицерин |
| Условия доставки | термобокс с аккумуляторами холода |
| Условия хранения | Сразу после получения аликвотировать и хранить при -20ºС до 24 месяцев. Для частого использования хранить при +4ºС не более 2 недель. Избегать повторения циклов замерзания/оттаивания |
| Срок хранения | 24 месяца |
| Производитель | Cloud-Clone Corp. |
| Ссылка на страницу товара на сайте производителя | http://www.cloud-clone.com/products/PAJ540Hu01.html |
|
Артикул
|
Наименование |
Производитель
|
|---|
|
Артикул
|
Наименование |
Производитель
|
|---|
|
Артикул
|
Наименование |
Производитель
|
|---|
Акции и предложения
Популярные продукты:
Anti-Lectin Galactoside Binding, Soluble 3 Binding Protein (LGALS3BP) Monoclonal Antibody (FAB766Hu08)
Источник (хозяин): мышь
Реактивность подтвержденная: человек
Валидировано для: FCM
Реактивность подтвержденная: человек
Валидировано для: FCM
ELISA Kit for Low Density Lipoprotein Receptor Related Protein 3 (LRP3) (SED748Hu)
Организм: человек
Диапазон определения: 0.312-20 нг/мл
Чувствительность: 0.057 нг/мл
Диапазон определения: 0.312-20 нг/мл
Чувствительность: 0.057 нг/мл
Sheep Phosphoenolpyruvic acid (PEP) ELISA kit (E14P1086)
Организм: овца
Canine Phosphoenolpyruvic acid (PEP) ELISA kit (E08P1086)
Организм: собака
Goat Phosphoenolpyruvic acid (PEP) ELISA kit (E06P1086)
Организм: коза
Guinea Pig Chitobiosyldiphosphodolichol β mannosyltransferase(ALG1) ELISA kit (E05C1188)
Организм: морская свинка

