Ваш браузер устарел и не обеспечивает полноценную и безопасную работу с сайтом. Пожалуйста обновите браузер чтобы улучшить взаимодействие с сайтом.
Мы обновили сайт, попробуйте новые функции в личном кабинете!

+7 (495) 798-02-48

Polyclonal Antibody to Dolichyl Diphosphooligosaccharide Protein Glycosyltransferase (DDOST) (PAJ279Hu01)

Реактивность подтвержденная: человек
Источник (хозяин): кролик
Валидировано для:
IHC
WB
10260
10260
Western Blot; Sample: Human Lung lysate; ;Primary Ab: 1μg/ml Rabbit Anti-Human DDOST Antibody ;Second Ab: 0.2μg/mL HRP-Linked Caprine Anti-Rabbit IgG Polyclonal Antibody ;(Catalog: SAA544Rb19)
13699
13699
Western Blot; Sample: Human Liver lysate; Primary Ab: 1μg/ml Rabbit Anti-Human DDOST Antibody Second Ab: 0.2μg/mL HRP-Linked Caprine Anti-Rabbit IgG Polyclonal Antibody (Catalog: SAA544Rb19)
13700
13700
Western Blot; Sample: Human Jurkat cell lysate; Primary Ab: 1μg/ml Rabbit Anti-Human DDOST Antibody Second Ab: 0.2μg/mL HRP-Linked Caprine Anti-Rabbit IgG Polyclonal Antibody (Catalog: SAA544Rb19)
21420
21420
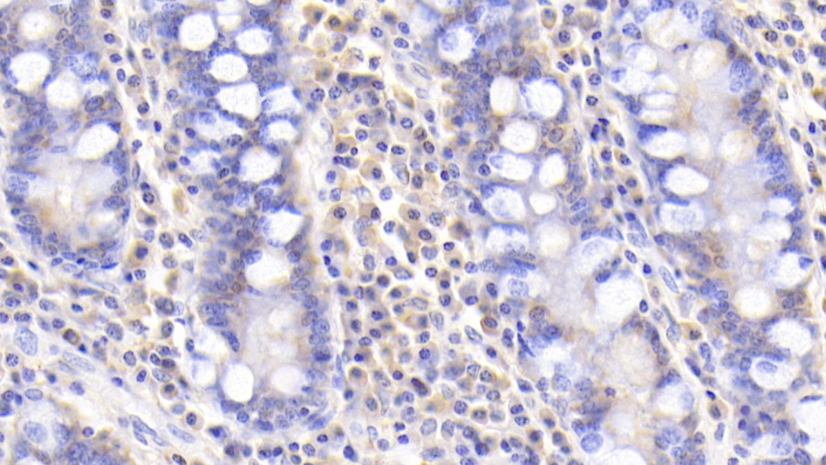
DAB staining on IHC-P; Samples: Human Small intestine Tissue; Primary Ab: 20μg/ml Rabbit Anti-Human DDOST Antibody Second Ab: 2μg/mL HRP-Linked Caprine Anti-Rabbit IgG Polyclonal Antibody (Catalog: SAA544Rb19)
48359
48359
Figure. Western Blot; Sample: Recombinant DDOST, Human.
10260
13699
13700
21420
48359
Ближайшая поставка
29.05.26
Характеристики
Техническое описание
Русское название PAJ279Hu01 Поликлональное антитело к DDOST (человек) <Cloud-Clone,Китай>
Каталожный номер PAJ279Hu01
Название антигена Dolichyl Diphosphooligosaccharide Protein Glycosyltransferase (DDOST)
UNIPROT P39656
Иммуноген RPJ279Hu01-Recombinant Dolichyl Diphosphooligosaccharide Protein Glycosyltransferase (DDOST)
Английские синонимы AGE-R1, OK/SW-cl.45, OST, OST48, WBP1, Dolichyl-diphosphooligosaccharide--protein glycosyltransferase 48 kDa subunit, Oligosaccharyl transferase 48 kDa
Реактивность подтвержденная
Нужна другая реактивность?
человек
Реактивность предсказываемая мышь, крыса, свинья
Источник (хозяин) кролик
Клональность поликлональное
Рекомбинантное нет
Готовое к использованию нет
Концентрация 0.75 мг/мл
Конъюгат По запросу: HRP, biotin, PerCP, PE, Cy3, FITC, Cy7, Cy5.5, PE-Cy5, PE-Cy7, PerCp-Cy5.5, APC, Cy5, PE-Cy3, PE-Cy5.5, APC-Cy7, Biotin-APC, FITC-Biotin, TRITC, APC-Cy5, AF488, AF594, AF405, AF555, AF700, AF647, AF750
Валидировано для
IHC
WB
Иммуногистохимия; Вестерн-блоттинг
Рекомендуемые разведения WB: 0.5-2 мкг/мл; IHC: 5-20 мкг/мл; ICC: 5-20 мкг/мл; Оптимальное разведение определяется конечным потребителем
Метод очистки Антигенспецифическая аффинная хроматография с последующей аффинной хроматографией с белком А
Состав буфера PBS, pH7.4, 0.02% NaN3, 50% глицерин
Условия доставки термобокс с аккумуляторами холода
Условия хранения Сразу после получения аликвотировать и хранить при -20ºС до 24 месяцев. Для частого использования хранить при +4ºС не более 2 недель. Избегать повторения циклов замерзания/оттаивания
Срок хранения 24 месяца
Производитель Cloud-Clone Corp.
Ссылка на страницу товара на сайте производителя http://www.cloud-clone.com/products/PAJ279Hu01.html

Назначение

поликлональное антитело от производителя Cloud-Clone Corp. к Dolichyl Diphosphooligosaccharide Protein Glycosyltransferase (DDOST) источник — кролик предназначено для детекции целевого антигена в биологических образцах. Продукт характеризуется подтвержденной реактивностью к человек.

Преимущества

  • Высокая специфичность и аффинность
  • Концентрация: 0.75 мг/мл
  • Оптимизированный состав буфера: PBS, pH7.4, 0.02% NaN3, 50% глицерин
  • Стабильность: 24 месяца

Применение в исследованиях

Антитело валидировано для методов: IHC, WB. Подходит для научных исследований в области иммунологии, клеточной биологии и молекулярной диагностики.

Условия хранения

Срок годности: 24 месяца. Сразу после получения аликвотировать и хранить при -20ºС до 24 месяцев. Для частого использования хранить при +4ºС не более 2 недель. Избегать повторения циклов замерзания/оттаивания. Рекомендуется соблюдать температурный режим при транспортировке и хранении.
Артикул
Наименование
Производитель
Артикул
Наименование
Производитель
Артикул
Наименование
Производитель

С нами успешно сотрудничают:

Московский государственный университет им. Ломоносова
Московский государственный университет им. Ломоносова
Московский государственный университет им. Ломоносова
МФТИ
МФТИ
МФТИ
Центр вирусологии и биотехнологии „Вектор“
Центр вирусологии и биотехнологии „Вектор“
Центр вирусологии и биотехнологии „Вектор“
Институт физиологии имени Павлова
Институт физиологии имени Павлова
Институт физиологии имени Павлова
Сеченовский университет
Сеченовский университет
Сеченовский университет
Исследовательский центр им. Алмазова
Исследовательский центр им. Алмазова
Исследовательский центр им. Алмазова
BIOCAD
BIOCAD
BIOCAD
Университет Сириус
Университет Сириус
Университет Сириус
Р-Фарм
Р-Фарм
Р-Фарм
Сколтех
Сколтех
Сколтех
Курчатовский институт
Курчатовский институт
Курчатовский институт
ИБХ РАН
ИБХ РАН
ИБХ РАН
НИЦ эпидемиологии и микробиологии им. Н.Ф.Гамалеи
НИЦ эпидемиологии и микробиологии им. Н.Ф.Гамалеи
НИЦ эпидемиологии и микробиологии им. Н.Ф.Гамалеи
Томский НИМЦ
Томский НИМЦ
Томский НИМЦ
ФИЦ ВИЖ имени Л.К. Эрнста
ФИЦ ВИЖ имени Л.К. Эрнста
ФИЦ ВИЖ имени Л.К. Эрнста
Фонд "Наука - Детям"
Фонд "Наука - Детям"
Фонд "Наука - Детям"
Институт цитологии и генетики СО РАН
Институт цитологии и генетики СО РАН
Институт цитологии и генетики СО РАН
Генериум
Генериум
Генериум

Новости

0
0
0