| UNIPROT | Q16643 |
| Иммуноген | RPC431Hu01-Recombinant Drebrin 1 (DBN1) |
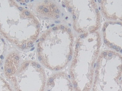
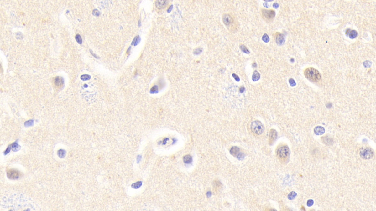
Polyclonal Antibody to Drebrin 1 (DBN1) (PAC431Hu01)
Реактивность подтвержденная:
человек
Источник (хозяин):
кролик
Валидировано для:
IHC
WB
Характеристики
Техническое описание
| Русское название | PAC431Hu01 Поликлональное антитело к DBN1 (человек) <Cloud-Clone,Китай> |
| Каталожный номер | PAC431Hu01 |
| Название антигена | Drebrin 1 (DBN1) |
| UNIPROT | Q16643 |
| Иммуноген | RPC431Hu01-Recombinant Drebrin 1 (DBN1) |
| Английские синонимы | Developmentally-regulated brain protein |
Реактивность подтвержденная Нужна другая реактивность? |
человек |
| Реактивность предсказываемая | мышь, свинья |
| Источник (хозяин) | кролик |
| Клональность | поликлональное |
| Рекомбинантное | нет |
| Готовое к использованию | нет |
| Концентрация | 0.5 мг/мл |
| Конъюгат | По запросу: HRP, biotin, PerCP, PE, Cy3, FITC, Cy7, Cy5.5, PE-Cy5, PE-Cy7, PerCp-Cy5.5, APC, Cy5, PE-Cy3, PE-Cy5.5, APC-Cy7, Biotin-APC, FITC-Biotin, TRITC, APC-Cy5, AF488, AF594, AF405, AF555, AF700, AF647, AF750 |
| Валидировано для | IHC WB Иммуногистохимия; Вестерн-блоттинг |
| Рекомендуемые разведения | WB: 0.01-3 мкг/мл; IHC: 5-30 мкг/мл; Оптимальное разведение определяется конечным потребителем |
| Метод очистки | Антигенспецифическая аффинная хроматография с последующей аффинной хроматографией с белком А |
| Состав буфера | 0.01M PBS, pH7.4, 0.05% Proclin-300, 50% глицерин |
| Условия доставки | термобокс с аккумуляторами холода |
| Условия хранения | Сразу после получения аликвотировать и хранить при -20ºС до 24 месяцев. Для частого использования хранить при +4ºС не более 2 недель. Избегать повторения циклов замерзания/оттаивания |
| Срок хранения | 24 месяца |
| Производитель | Cloud-Clone Corp. |
| Ссылка на страницу товара на сайте производителя | http://www.cloud-clone.com/products/PAC431Hu01.html |
|
Артикул
|
Наименование |
Производитель
|
|---|
|
Артикул
|
Наименование |
Производитель
|
|---|
Акции и предложения
Популярные продукты:
Anti-NDUFB11 Antibody (R2M23) (RHK48001)
Источник (хозяин): кролик
Реактивность подтвержденная: человек, мышь, крыса
Валидировано для: IHC, WB
Реактивность подтвержденная: человек, мышь, крыса
Валидировано для: IHC, WB
Anti-NEK9 Antibody (R2S63) (RHN85601)
Источник (хозяин): кролик
Реактивность подтвержденная: человек, крыса
Валидировано для: IF, IHC, WB
Реактивность подтвержденная: человек, крыса
Валидировано для: IF, IHC, WB
Anti-NAMPT Polyclonal Antibody (PHE43301)
Источник (хозяин): кролик
Реактивность подтвержденная: человек, мышь, крыса
Валидировано для: ELISA, IHC, WB
Реактивность подтвержденная: человек, мышь, крыса
Валидировано для: ELISA, IHC, WB
Anti-NOX4 Antibody (R3W79) (RHJ63502)
Источник (хозяин): мышь
Реактивность подтвержденная: человек
Валидировано для: ELISA, FCM, IF, IHC
Реактивность подтвержденная: человек
Валидировано для: ELISA, FCM, IF, IHC
Anti-NAMPT Antibody (R1W53) (RHE43302)
Источник (хозяин): кролик
Реактивность подтвержденная: человек, мышь, крыса
Валидировано для: IF, IHC, IP, WB
Реактивность подтвержденная: человек, мышь, крыса
Валидировано для: IF, IHC, IP, WB
Biotin-Linked Monoclonal Antibody to S100 Calcium Binding Protein B (S100B) (LAA567Mu72)
Источник (хозяин): мышь
Реактивность подтвержденная: мышь
Валидировано для: IHC, WB
Реактивность подтвержденная: мышь
Валидировано для: IHC, WB

