| UNIPROT | P40615 |
| Иммуноген | RPC446Ra01-Recombinant Dyskerin (DKC) |
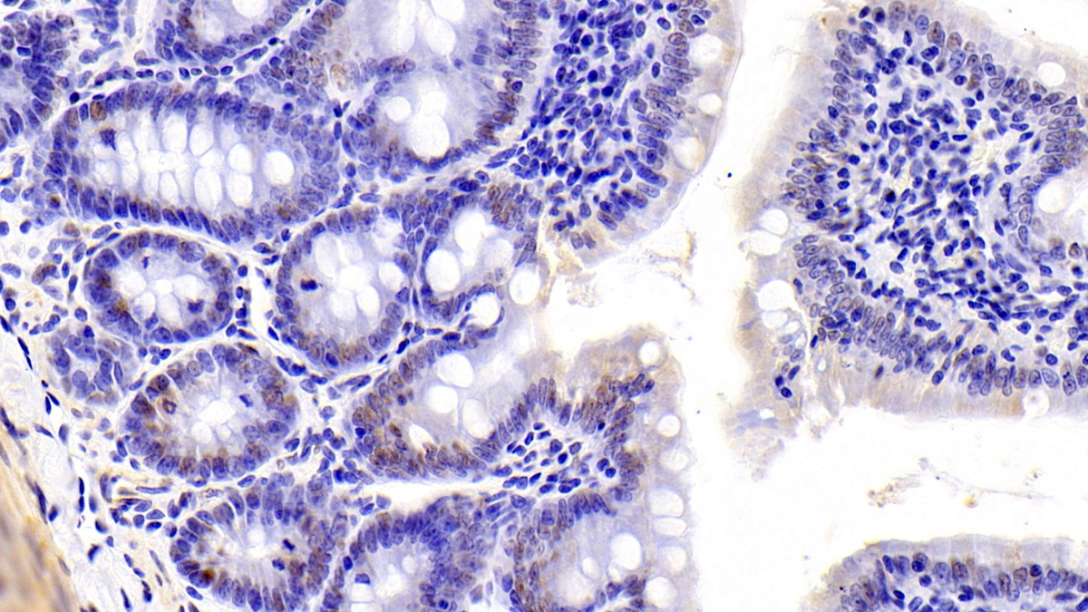
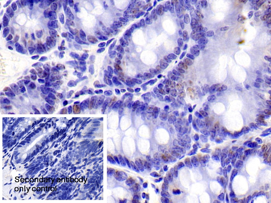
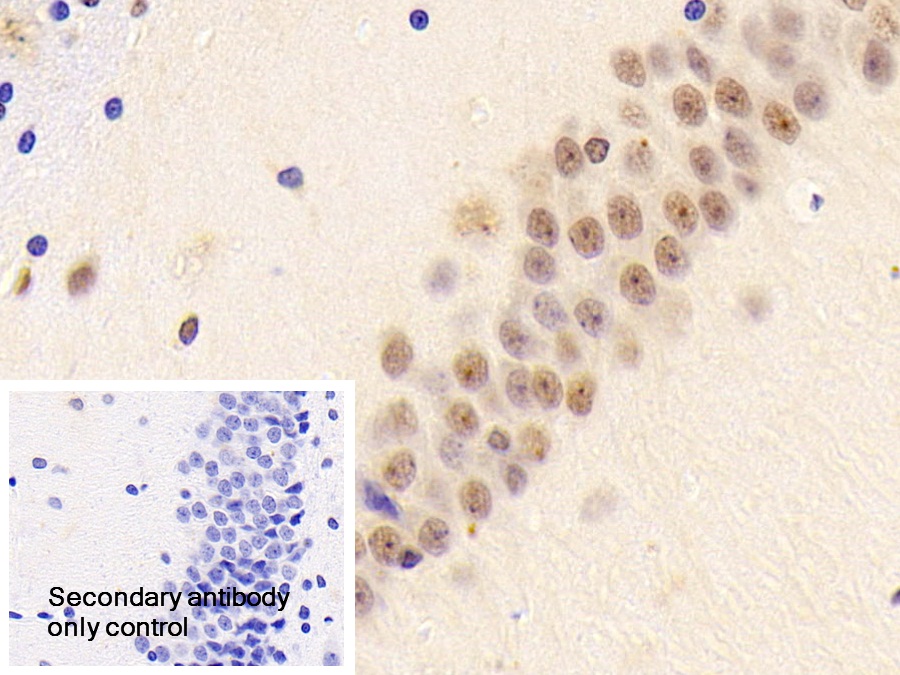
Polyclonal Antibody to Dyskerin (DKC) (PAC446Ra01)
Реактивность подтвержденная:
крыса
Источник (хозяин):
кролик
Валидировано для:
IHC
WB
Характеристики
Техническое описание
| Русское название | PAC446Ra01 Поликлональное антитело к DKC (крыса) <Cloud-Clone,Китай> |
| Каталожный номер | PAC446Ra01 |
| Название антигена | Dyskerin (DKC) |
| UNIPROT | P40615 |
| Иммуноген | RPC446Ra01-Recombinant Dyskerin (DKC) |
| Английские синонимы | DKC1, NAP57, NOLA4, Dyskeratosis Congenita 1, H/ACA Ribonucleoprotein Complex Subunit 4, Nopp140-associated protein of 57 kDa, Nucleolar protein family A member 4 |
Реактивность подтвержденная Нужна другая реактивность? |
крыса |
| Реактивность предсказываемая | человек |
| Источник (хозяин) | кролик |
| Клональность | поликлональное |
| Рекомбинантное | нет |
| Готовое к использованию | нет |
| Концентрация | 500 мкг/мл |
| Конъюгат | По запросу: HRP, biotin, PerCP, PE, Cy3, FITC, Cy7, Cy5.5, PE-Cy5, PE-Cy7, PerCp-Cy5.5, APC, Cy5, PE-Cy3, PE-Cy5.5, APC-Cy7, Biotin-APC, FITC-Biotin, TRITC, APC-Cy5, AF488, AF594, AF405, AF555, AF700, AF647, AF750 |
| Валидировано для | IHC WB Иммуногистохимия; Вестерн-блоттинг |
| Рекомендуемые разведения | WB: 0.2-2 мкг/мл; 1:250-2500; IHC: 5-20 мкг/мл; 1:25-100; ICC: 5-20 мкг/мл; 1:25-100; Оптимальное разведение определяется конечным потребителем |
| Метод очистки | Антигенспецифическая аффинная хроматография с последующей аффинной хроматографией с белком А |
| Состав буфера | 0.01M PBS, pH7.4, 0.05% Proclin-300, 50% глицерин |
| Условия доставки | термобокс с аккумуляторами холода |
| Условия хранения | Сразу после получения аликвотировать и хранить при -20ºС до 24 месяцев. Для частого использования хранить при +4ºС не более 2 недель. Избегать повторения циклов замерзания/оттаивания |
| Срок хранения | 24 месяца |
| Производитель | Cloud-Clone Corp. |
| Ссылка на страницу товара на сайте производителя | http://www.cloud-clone.com/products/PAC446Ra01.html |
|
Артикул
|
Наименование |
Производитель
|
|---|
|
Артикул
|
Наименование |
Производитель
|
|---|
|
Артикул
|
Наименование |
Производитель
|
|---|
|
Артикул
|
Наименование |
Производитель
|
|---|
Акции и предложения
Популярные продукты:
Chicken Defensin Beta 103A ELISA kit (E12D0332)
Организм: курица
Mouse Galanin like peptide(GALP) ELISA kit (E03G0414)
Организм: мышь
Multiplex Assay Kit for Ferritin (FE) (LMA518Mu)
Организм: мышь
Диапазон определения: 0.01-10 нг/мл
Чувствительность: 0.003 нг/мл
Диапазон определения: 0.01-10 нг/мл
Чувствительность: 0.003 нг/мл
Polyclonal Antibody to Dyskerin (DKC) (PAC446Ra01)
Источник (хозяин): кролик
Реактивность подтвержденная: крыса
Валидировано для: IHC, WB
Реактивность подтвержденная: крыса
Валидировано для: IHC, WB
ELISA Kit for Laminin (LN) (RA082S-Mu)
Организм: мышь
Диапазон определения: 78-5000 пг/мл
Чувствительность: 32 пг/мл
Диапазон определения: 78-5000 пг/мл
Чувствительность: 32 пг/мл
ELISA Kit for Laminin (LN) (RA082S-Hu)
Организм: человек
Диапазон определения: 7.8-500 нг/мл
Чувствительность: 2.8 нг/мл
Диапазон определения: 7.8-500 нг/мл
Чувствительность: 2.8 нг/мл

