| UNIPROT | Q09472 |
| Иммуноген | RPC216Hu02-Recombinant E1A Binding Protein P300 (EP300) |
Polyclonal Antibody to E1A Binding Protein P300 (EP300) (PAC216Hu01)
Реактивность подтвержденная:
человек
Источник (хозяин):
кролик
Валидировано для:
IHC
Характеристики
Техническое описание
| Русское название | PAC216Hu01 Поликлональное антитело к EP300 (человек) <Cloud-Clone,Китай> |
| Каталожный номер | PAC216Hu01 |
| Название антигена | E1A Binding Protein P300 (EP300) |
| UNIPROT | Q09472 |
| Иммуноген | RPC216Hu02-Recombinant E1A Binding Protein P300 (EP300) |
| Английские синонимы | KAT3B, p300, Histone Acetyltransferase p300 |
Реактивность подтвержденная Нужна другая реактивность? |
человек |
| Реактивность предсказываемая | свинья |
| Источник (хозяин) | кролик |
| Клональность | поликлональное |
| Рекомбинантное | нет |
| Готовое к использованию | нет |
| Концентрация | 0.29 мг/мл |
| Конъюгат | По запросу: HRP, biotin, PerCP, PE, Cy3, FITC, Cy7, Cy5.5, PE-Cy5, PE-Cy7, PerCp-Cy5.5, APC, Cy5, PE-Cy3, PE-Cy5.5, APC-Cy7, Biotin-APC, FITC-Biotin, TRITC, APC-Cy5, AF488, AF594, AF405, AF555, AF700, AF647, AF750 |
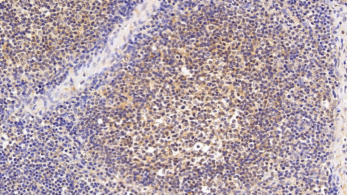
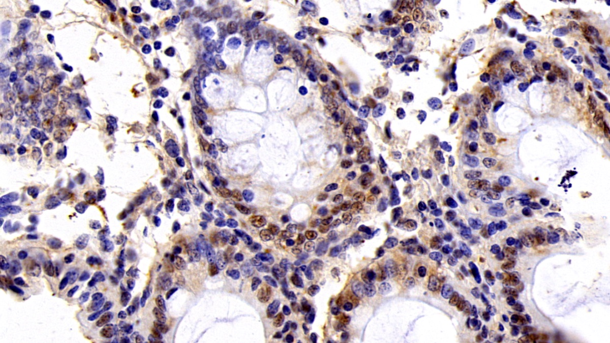
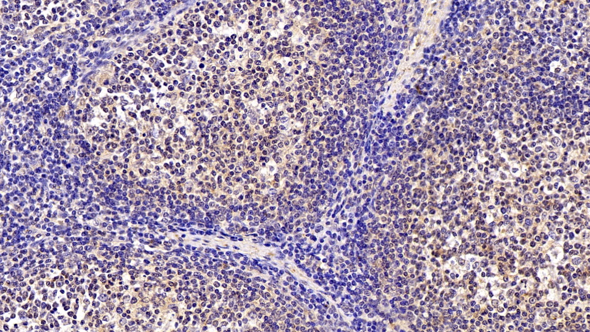
| Валидировано для | IHC Иммуногистохимия |
| Рекомендуемые разведения | WB: 0.01-2 мкг/мл; IHC: 5-20 мкг/мл; ICC: 5-20 мкг/мл; Оптимальное разведение определяется конечным потребителем |
| Метод очистки | Антигенспецифическая аффинная хроматография с последующей аффинной хроматографией с белком А |
| Состав буфера | 0.01M PBS, pH7.4, 0.05% Proclin-300, 50% глицерин |
| Условия доставки | термобокс с аккумуляторами холода |
| Условия хранения | Сразу после получения аликвотировать и хранить при -20ºС до 24 месяцев. Для частого использования хранить при +4ºС не более 2 недель. Избегать повторения циклов замерзания/оттаивания |
| Срок хранения | 24 месяца |
| Производитель | Cloud-Clone Corp. |
| Ссылка на страницу товара на сайте производителя | http://www.cloud-clone.com/products/PAC216Hu01.html |
|
Артикул
|
Наименование |
Производитель
|
|---|
|
Артикул
|
Наименование |
Производитель
|
|---|
|
Артикул
|
Наименование |
Производитель
|
|---|
|
Артикул
|
Наименование |
Производитель
|
|---|
|
Артикул
|
Наименование |
Производитель
|
|---|
Акции и предложения
Популярные продукты:
Anti-Human PAC-1 Antibody (PAC-1), PerCP (FHC33334)
Источник (хозяин): мышь
Реактивность подтвержденная: человек
Валидировано для: FCM
Реактивность подтвержденная: человек
Валидировано для: FCM
Polyclonal Antibody to Haptoglobin (Hpt) (PAA817Ov01)
Источник (хозяин): кролик
Реактивность подтвержденная: овца
Валидировано для: WB
Реактивность подтвержденная: овца
Валидировано для: WB
Human Protein pellino homolog 1 ELISA kit (E01P0173)
Организм: человек
Диапазон определения: 250-5000 пг/мл
Чувствительность: 1 пг/мл
Диапазон определения: 250-5000 пг/мл
Чувствительность: 1 пг/мл
Bovine Malic Acid ELISA Kit (E11M0534)
Организм: корова
Goat Malic Acid ELISA Kit (E06M0534)
Организм: коза
Guinea Pig Malic Acid ELISA Kit (E05M0534)
Организм: морская свинка

