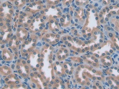
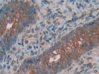
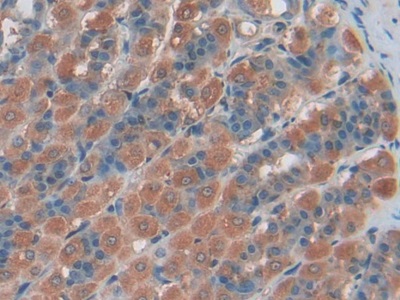
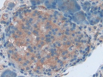
Polyclonal Antibody to Ectonucleotide Pyrophosphatase/Phosphodiesterase 1 (ENPP1) (PAF219Ra01)
Реактивность подтвержденная:
крыса
Источник (хозяин):
кролик
Валидировано для:
IHC
WB
Характеристики
Техническое описание
| Русское название | PAF219Ra01 Поликлональное антитело к ENPP1 (крыса) <Cloud-Clone,Китай> |
| Каталожный номер | PAF219Ra01 |
| Название антигена | Ectonucleotide Pyrophosphatase/Phosphodiesterase 1 (ENPP1) |
| UNIPROT | Q924C3 |
| Иммуноген | RPF219Ra01-Recombinant Ectonucleotide Pyrophosphatase/Phosphodiesterase 1 (ENPP1) |
| Английские синонимы | M6S1, NPP1, NPPS, PC-1, PCA1, PDNP1, Membrane component chromosome 6 surface marker 1, Alkaline phosphodiesterase I, Plasma-cell membrane glycoprotein PC-1 |
Реактивность подтвержденная Нужна другая реактивность? |
крыса |
| Источник (хозяин) | кролик |
| Клональность | поликлональное |
| Рекомбинантное | нет |
| Готовое к использованию | нет |
| Концентрация | 0.5 мг/мл |
| Конъюгат | По запросу: HRP, biotin, PerCP, PE, Cy3, FITC, Cy7, Cy5.5, PE-Cy5, PE-Cy7, PerCp-Cy5.5, APC, Cy5, PE-Cy3, PE-Cy5.5, APC-Cy7, Biotin-APC, FITC-Biotin, TRITC, APC-Cy5, AF488, AF594, AF405, AF555, AF700, AF647, AF750 |
| Валидировано для | IHC WB Иммуногистохимия; Вестерн-блоттинг |
| Рекомендуемые разведения | WB: 0.5-2 мкг/мл; IHC: 5-20 мкг/мл; ICC: 5-20 мкг/мл; Оптимальное разведение определяется конечным потребителем |
| Метод очистки | Антигенспецифическая аффинная хроматография с последующей аффинной хроматографией с белком А |
| Состав буфера | 0.01M PBS, pH7.4, 0.05% Proclin-300, 50% глицерин |
| Условия доставки | термобокс с аккумуляторами холода |
| Условия хранения | Сразу после получения аликвотировать и хранить при -20ºС до 24 месяцев. Для частого использования хранить при +4ºС не более 2 недель. Избегать повторения циклов замерзания/оттаивания |
| Срок хранения | 24 месяца |
| Производитель | Cloud-Clone Corp. |
| Ссылка на страницу товара на сайте производителя | http://www.cloud-clone.com/products/PAF219Ra01.html |
|
Артикул
|
Наименование |
Производитель
|
|---|
|
Артикул
|
Наименование |
Производитель
|
|---|
|
Артикул
|
Наименование |
Производитель
|
|---|
|
Артикул
|
Наименование |
Производитель
|
|---|
Акции и предложения
Популярные продукты:
Monoclonal Antibody to Motilin (MTL) (MAA575Hu21)
Источник (хозяин): мышь
Реактивность подтвержденная: человек
Валидировано для: ICC, IHC, WB
Реактивность подтвержденная: человек
Валидировано для: ICC, IHC, WB
Anti-Mouse IL-12 p40 Antibody (Fs0379) (FMD84010)
Источник (хозяин): крыса
Реактивность подтвержденная: мышь
Валидировано для: ELISA, FCM
Реактивность подтвержденная: мышь
Валидировано для: ELISA, FCM
Rabbit Oviduct specific glycoprotein(OVGP1) ELISA kit (E04O0742)
Организм: кролик
Canine Transforming Growth Factor Alpha ELISA kit (E08T0152)
Организм: собака
Recombinant Human GM130/GOLGA2 Protein, N-His (YHG16101)
Источник (хозяин): E.coli
Организм: человек
Фрагмент: Ala361-Ala678
Теги: N-His
Биоактивность: нет
Организм: человек
Фрагмент: Ala361-Ala678
Теги: N-His
Биоактивность: нет
Anti-KRT14 Antibody (R2X87) (RHB98003)
Источник (хозяин): мышь
Реактивность подтвержденная: человек
Валидировано для: ELISA, FCM, IF, IHC, WB
Реактивность подтвержденная: человек
Валидировано для: ELISA, FCM, IF, IHC, WB

