| UNIPROT | Q63187 |
| Иммуноген | RPB255Ra01-Recombinant Elongin A (ELOA) |
Polyclonal Antibody to Elongin A (ELOA) (PAB255Ra01)
Реактивность подтвержденная:
крыса
Источник (хозяин):
кролик
Валидировано для:
IHC
WB
Характеристики
Техническое описание
| Русское название | PAB255Ra01 Поликлональное антитело к ELOA (крыса) <Cloud-Clone,Китай> |
| Каталожный номер | PAB255Ra01 |
| Название антигена | Elongin A (ELOA) |
| UNIPROT | Q63187 |
| Иммуноген | RPB255Ra01-Recombinant Elongin A (ELOA) |
| Английские синонимы | Elo-A, TCEB3, SIII p110, TCEB3A, Transcription Elongation Factor B Polypeptide 3, Elongin 110 kDa subunit, RNA polymerase II transcription factor SIII subunit A1 |
Реактивность подтвержденная Нужна другая реактивность? |
крыса |
| Реактивность предсказываемая | мышь |
| Источник (хозяин) | кролик |
| Клональность | поликлональное |
| Рекомбинантное | нет |
| Готовое к использованию | нет |
| Концентрация | 0.5 мг/мл |
| Конъюгат | По запросу: HRP, biotin, PerCP, PE, Cy3, FITC, Cy7, Cy5.5, PE-Cy5, PE-Cy7, PerCp-Cy5.5, APC, Cy5, PE-Cy3, PE-Cy5.5, APC-Cy7, Biotin-APC, FITC-Biotin, TRITC, APC-Cy5, AF488, AF594, AF405, AF555, AF700, AF647, AF750 |
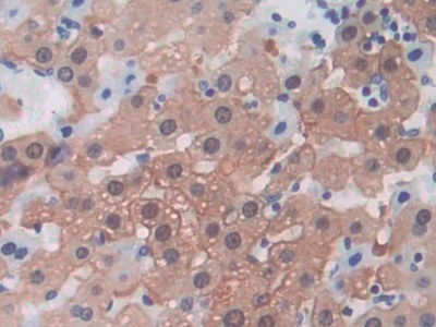
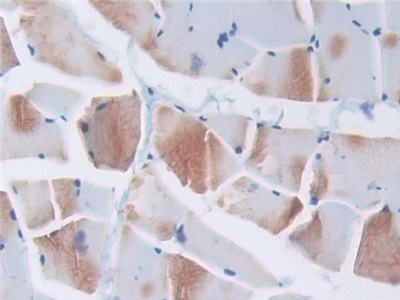
| Валидировано для | IHC WB Иммуногистохимия; Вестерн-блоттинг |
| Рекомендуемые разведения | WB: 0.2-2 мкг/мл; 1:250-2500; IHC: 5-20 мкг/мл; 1:25-100; ICC: 5-20 мкг/мл; 1:25-100; Оптимальное разведение определяется конечным потребителем |
| Метод очистки | Антигенспецифическая аффинная хроматография с последующей аффинной хроматографией с белком А |
| Состав буфера | 0.01M PBS, pH7.4, 0.05% Proclin-300, 50% глицерин |
| Условия доставки | термобокс с аккумуляторами холода |
| Условия хранения | Сразу после получения аликвотировать и хранить при -20ºС до 24 месяцев. Для частого использования хранить при +4ºС не более 2 недель. Избегать повторения циклов замерзания/оттаивания |
| Срок хранения | 24 месяца |
| Производитель | Cloud-Clone Corp. |
| Ссылка на страницу товара на сайте производителя | http://www.cloud-clone.com/products/PAB255Ra01.html |
|
Артикул
|
Наименование |
Производитель
|
|---|
|
Артикул
|
Наименование |
Производитель
|
|---|
Акции и предложения
Популярные продукты:
SNCA Polyclonal Antibody (E-AB-36111)
Источник (хозяин): кролик
Реактивность подтвержденная: человек, мышь, крыса
Валидировано для: IHC, WB
Реактивность подтвержденная: человек, мышь, крыса
Валидировано для: IHC, WB
CACNA1C Antibody (DF2267)
Источник (хозяин): кролик
Реактивность подтвержденная: человек, мышь, крыса
Валидировано для: WB
Реактивность подтвержденная: человек, мышь, крыса
Валидировано для: WB
Anti-Phospho-STAT6 (Y641) Polyclonal Antibody (PHE34401)
Источник (хозяин): кролик
Реактивность подтвержденная: человек, мышь, крыса
Валидировано для: ELISA, IF, IHC, WB
Реактивность подтвержденная: человек, мышь, крыса
Валидировано для: ELISA, IF, IHC, WB
ELISA Kit DIY Materials for Lymphocyte Antigen 96 (LY96) (KSH705Hu01)
Организм: человек
Диапазон определения: 0.156-10 нг/мл
Чувствительность: 0.055 нг/мл
Диапазон определения: 0.156-10 нг/мл
Чувствительность: 0.055 нг/мл
Polyclonal Antibody to N-Terminal Pro-Brain Natriuretic Peptide (NT-ProBNP) (PAA485Po02)
Источник (хозяин): кролик
Реактивность подтвержденная: свинья
Валидировано для: WB
Реактивность подтвержденная: свинья
Валидировано для: WB
Monkey Omentin ELISA kit (E09O0010)
Организм: обезьяна
Диапазон определения: 1-25 нг/мл
Чувствительность: 0.1 нг/мл
Диапазон определения: 1-25 нг/мл
Чувствительность: 0.1 нг/мл

