| UNIPROT | P57759 |
| Иммуноген | RPC461Mu01-Recombinant Endoplasmic Reticulum Protein 29 (ERP29) |
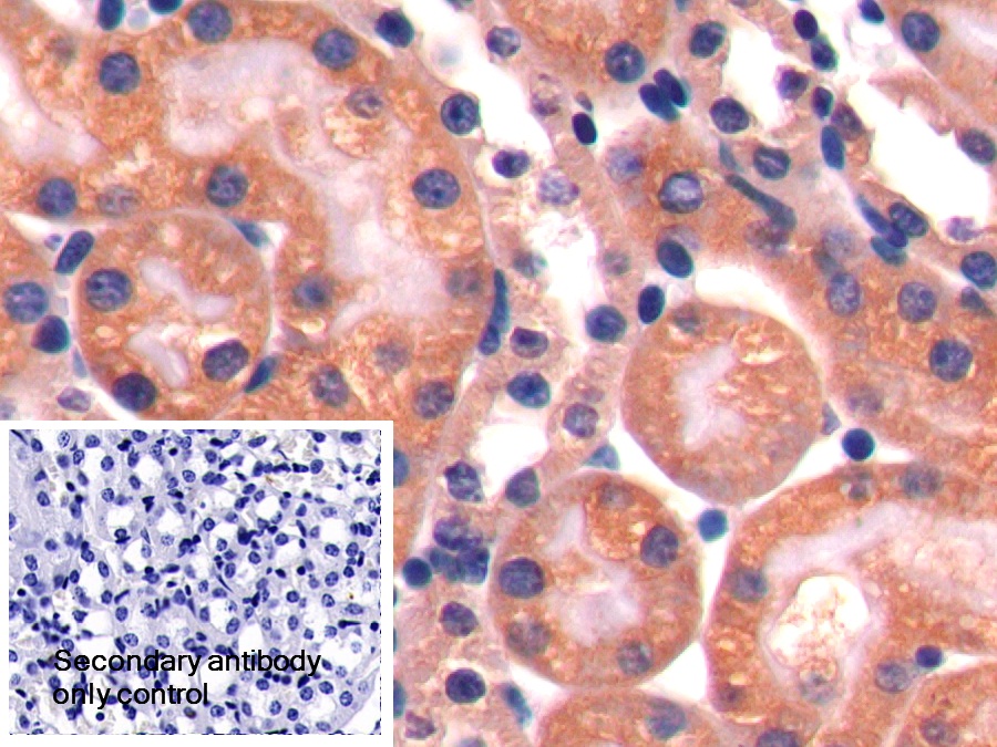
Polyclonal Antibody to Endoplasmic Reticulum Protein 29 (ERP29) (PAC461Mu01)
Реактивность подтвержденная:
мышь
Источник (хозяин):
кролик
Валидировано для:
IHC
WB
Характеристики
Техническое описание
| Русское название | PAC461Mu01 Поликлональное антитело к ERP29 (мышь) <Cloud-Clone,Китай> |
| Каталожный номер | PAC461Mu01 |
| Название антигена | Endoplasmic Reticulum Protein 29 (ERP29) |
| UNIPROT | P57759 |
| Иммуноген | RPC461Mu01-Recombinant Endoplasmic Reticulum Protein 29 (ERP29) |
| Английские синонимы | C12orf8, ERp28, ERp31, PDI-DB, PDIA9, Protein Disulfide Isomerase Family A,Member 9 |
Реактивность подтвержденная Нужна другая реактивность? |
мышь |
| Реактивность предсказываемая | человек, крыса |
| Источник (хозяин) | кролик |
| Клональность | поликлональное |
| Рекомбинантное | нет |
| Готовое к использованию | нет |
| Концентрация | 500 мкг/мл |
| Конъюгат | По запросу: HRP, biotin, PerCP, PE, Cy3, FITC, Cy7, Cy5.5, PE-Cy5, PE-Cy7, PerCp-Cy5.5, APC, Cy5, PE-Cy3, PE-Cy5.5, APC-Cy7, Biotin-APC, FITC-Biotin, TRITC, APC-Cy5, AF488, AF594, AF405, AF555, AF700, AF647, AF750 |
| Валидировано для | IHC WB Иммуногистохимия; Вестерн-блоттинг |
| Рекомендуемые разведения | WB: 0.2-2 мкг/мл; 1:250-2500; IHC: 5-20 мкг/мл; 1:25-100; ICC: 5-20 мкг/мл; 1:25-100; Оптимальное разведение определяется конечным потребителем |
| Метод очистки | Антигенспецифическая аффинная хроматография с последующей аффинной хроматографией с белком А |
| Состав буфера | 0.01M PBS, pH7.4, 0.05% Proclin-300, 50% глицерин |
| Условия доставки | термобокс с аккумуляторами холода |
| Условия хранения | Сразу после получения аликвотировать и хранить при -20ºС до 24 месяцев. Для частого использования хранить при +4ºС не более 2 недель. Избегать повторения циклов замерзания/оттаивания |
| Срок хранения | 24 месяца |
| Производитель | Cloud-Clone Corp. |
| Ссылка на страницу товара на сайте производителя | http://www.cloud-clone.com/products/PAC461Mu01.html |
|
Артикул
|
Наименование |
Производитель
|
|---|
|
Артикул
|
Наименование |
Производитель
|
|---|
|
Артикул
|
Наименование |
Производитель
|
|---|
Акции и предложения
Популярные продукты:
Anti-Sorting Nexin 13 (SNX13) Polyclonal Antibody (FAC195Hu01)
Источник (хозяин): кролик
Реактивность подтвержденная: человек
Валидировано для: FCM
Реактивность подтвержденная: человек
Валидировано для: FCM
Guinea Pig Sulfhydryl oxidase 1(QSOX1) ELISA kit (E05S0347)
Организм: морская свинка
Bovine F Box Protein 2 ELISA kit (E11F0062)
Организм: корова
Bovine Lactadherin(MFGE8) ELISA kit (E11L0335)
Организм: корова
Canine Matrix extracellular phosphoglycoprotein ELISA kit (E08M0259)
Организм: собака
Sheep Centromere Protein,CENP B ELISA kit (E14C0946)
Организм: овца

