| UNIPROT | P29473 |
| Иммуноген | RPA868Bo01-Recombinant Endothelial NOS (eNOS) |
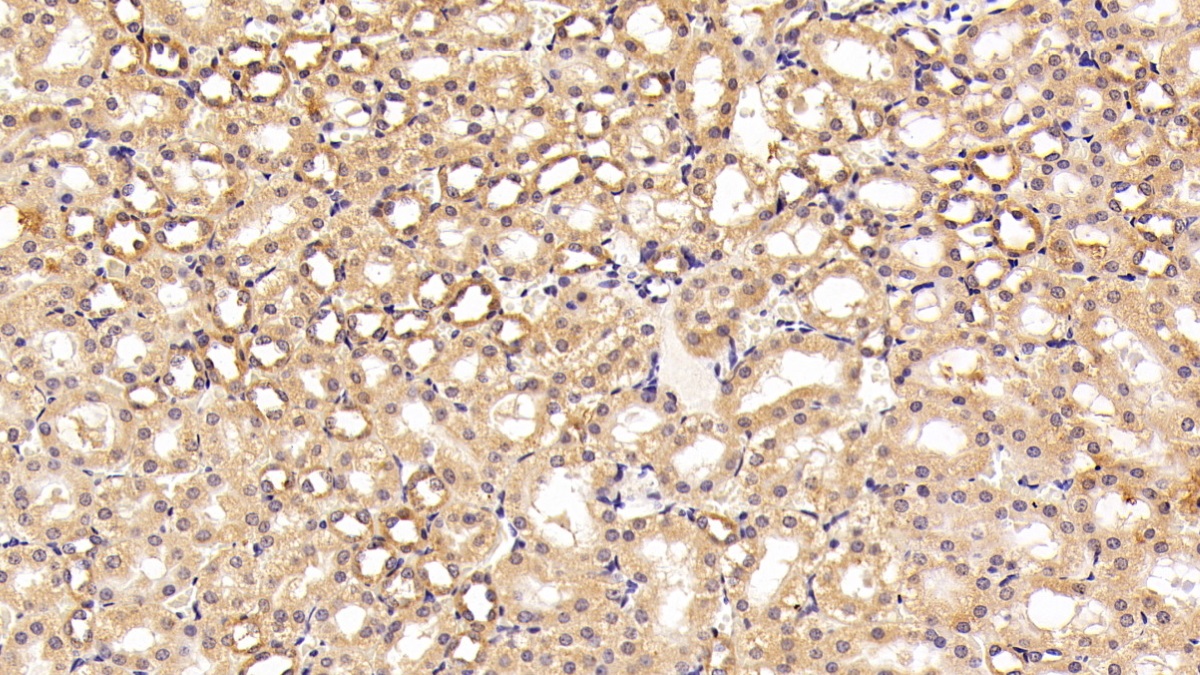
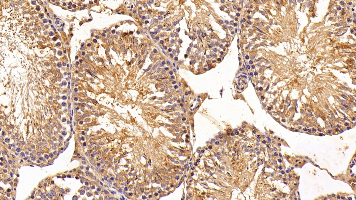
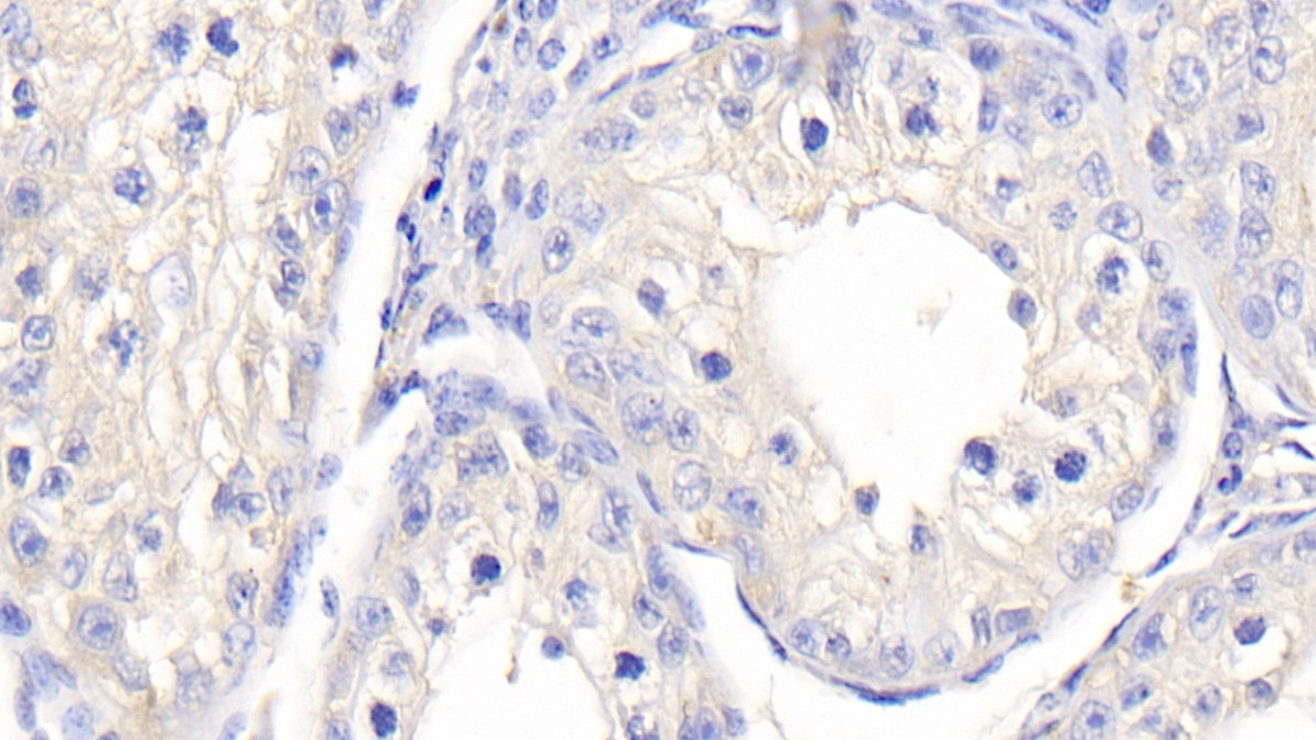
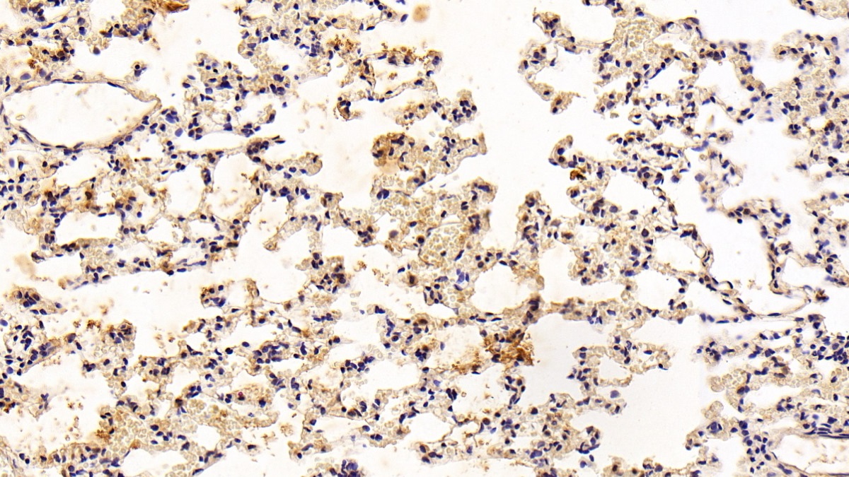
Polyclonal Antibody to Endothelial NOS (eNOS) (PAA868Bo01)
Реактивность подтвержденная:
корова
Источник (хозяин):
кролик
Валидировано для:
IHC
WB
Характеристики
Техническое описание
| Русское название | PAA868Bo01 Поликлональное антитело к eNOS (корова) <Cloud-Clone,Китай> |
| Каталожный номер | PAA868Bo01 |
| Название антигена | Nitric Oxide Synthase 3, Endothelial (NOS3) |
| UNIPROT | P29473 |
| Иммуноген | RPA868Bo01-Recombinant Endothelial NOS (eNOS) |
| Английские синонимы | ECNOS, NOS III, E-NOS, C-NOS, ENOS, CNOS, Constitutive NOS, eNOS |
Реактивность подтвержденная Нужна другая реактивность? |
корова |
| Реактивность предсказываемая | человек, мышь, крыса |
| Источник (хозяин) | кролик |
| Клональность | поликлональное |
| Рекомбинантное | нет |
| Готовое к использованию | нет |
| Концентрация | 500 мкг/мл |
| Конъюгат | По запросу: HRP, biotin, PerCP, PE, Cy3, FITC, Cy7, Cy5.5, PE-Cy5, PE-Cy7, PerCp-Cy5.5, APC, Cy5, PE-Cy3, PE-Cy5.5, APC-Cy7, Biotin-APC, FITC-Biotin, TRITC, APC-Cy5, AF488, AF594, AF405, AF555, AF700, AF647, AF750 |
| Валидировано для | IHC WB Иммуногистохимия; Вестерн-блоттинг |
| Рекомендуемые разведения | WB: 0.2-2 мкг/мл; 1:250-2500; IHC: 5-20 мкг/мл; 1:25-100; ICC: 5-20 мкг/мл; 1:25-100; Оптимальное разведение определяется конечным потребителем |
| Метод очистки | Антигенспецифическая аффинная хроматография с последующей аффинной хроматографией с белком А |
| Состав буфера | 0.01M PBS, pH7.4, 0.05% Proclin-300, 50% глицерин |
| Условия доставки | термобокс с аккумуляторами холода |
| Условия хранения | Сразу после получения аликвотировать и хранить при -20ºС до 24 месяцев. Для частого использования хранить при +4ºС не более 2 недель. Избегать повторения циклов замерзания/оттаивания |
| Срок хранения | 24 месяца |
| Производитель | Cloud-Clone Corp. |
| Ссылка на страницу товара на сайте производителя | http://www.cloud-clone.com/products/PAA868Bo01.html |
|
Артикул
|
Наименование |
Производитель
|
|---|
|
Артикул
|
Наименование |
Производитель
|
|---|
|
Артикул
|
Наименование |
Производитель
|
|---|
|
Артикул
|
Наименование |
Производитель
|
|---|
|
Артикул
|
Наименование |
Производитель
|
|---|
|
Артикул
|
Наименование |
Производитель
|
|---|
|
Артикул
|
Наименование |
Производитель
|
|---|
|
Артикул
|
Наименование |
Производитель
|
|---|
Акции и предложения
Популярные продукты:
Mouse Oxalic Acid ELISA kit (E03O0851)
Организм: мышь
Human Oxalic Acid ELISA kit (E01O0851)
Организм: человек
Rat Bombesin ELISA kit (E02B1016)
Организм: крыса
Диапазон определения: 2.5-50 нг/мл
Диапазон определения: 2.5-50 нг/мл
Goat L selectin ELISA kit (E06L0002)
Организм: коза
Polyclonal Antibody to Endothelial NOS (eNOS) (PAA868Bo01)
Источник (хозяин): кролик
Реактивность подтвержденная: корова
Валидировано для: IHC, WB
Реактивность подтвержденная: корова
Валидировано для: IHC, WB
ELISA Kit for Ficolin 1 (FCN1) (SEA786Ra)
Организм: крыса
Диапазон определения: 4.7-300 нг/мл
Чувствительность: 1.9 нг/мл
Диапазон определения: 4.7-300 нг/мл
Чувствительность: 1.9 нг/мл

