| UNIPROT | P07323 |
| Иммуноген | RPA537Ra01-Recombinant Enolase, Neuron Specific (NSE) |
Polyclonal Antibody to Enolase, Neuron Specific (NSE) (PAA537Ra01)
Реактивность подтвержденная:
крыса
Источник (хозяин):
кролик
Валидировано для:
FCM
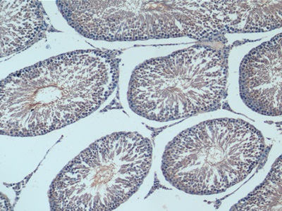
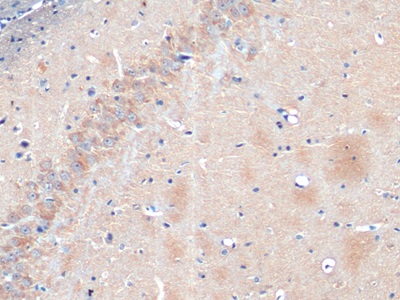
IHC
WB
Характеристики
Техническое описание
| Русское название | PAA537Ra01 Поликлональное антитело к NSE (крыса) <Cloud-Clone,Китай> |
| Каталожный номер | PAA537Ra01 |
| Название антигена | Enolase, Neuron Specific (NSE) |
| UNIPROT | P07323 |
| Иммуноген | RPA537Ra01-Recombinant Enolase, Neuron Specific (NSE) |
| Английские синонимы | ENO2, Enolase 2, Gamma Enolase, 2-phospho-D-glycerate hydro-lyase, Neural enolase |
| Русские синонимы | Енолаза-2, Гамма-енолаза, 2-фосфо-D-глицерат гидролаза, энолаза 2, фосфопируват-гидратаза, НСЕ, нейронспецифическая энолаза |
Реактивность подтвержденная Нужна другая реактивность? |
крыса |
| Реактивность предсказываемая | человек, мышь |
| Источник (хозяин) | кролик |
| Клональность | поликлональное |
| Рекомбинантное | нет |
| Готовое к использованию | нет |
| Концентрация | 0.5 мг/мл |
| Конъюгат | По запросу: HRP, biotin, PerCP, PE, Cy3, FITC, Cy7, Cy5.5, PE-Cy5, PE-Cy7, PerCp-Cy5.5, APC, Cy5, PE-Cy3, PE-Cy5.5, APC-Cy7, Biotin-APC, FITC-Biotin, TRITC, APC-Cy5, AF488, AF594, AF405, AF555, AF700, AF647, AF750 |
| Валидировано для | FCM IHC WB Проточная цитометрия; Иммуногистохимия; Вестерн-блоттинг |
| Рекомендуемые разведения | WB: 0.01-2 мкг/мл; IHC: 5-20 мкг/мл; FCM: 20 мкг/мл; Оптимальное разведение определяется конечным потребителем |
| Метод очистки | Антигенспецифическая аффинная хроматография с последующей аффинной хроматографией с белком А |
| Состав буфера | 0.01M PBS, pH7.4, 0.05% Proclin-300, 50% глицерин |
| Условия доставки | термобокс с аккумуляторами холода |
| Условия хранения | Сразу после получения аликвотировать и хранить при -20ºС до 24 месяцев. Для частого использования хранить при +4ºС не более 2 недель. Избегать повторения циклов замерзания/оттаивания |
| Срок хранения | 24 месяца |
| Производитель | Cloud-Clone Corp. |
| Ссылка на страницу товара на сайте производителя | http://www.cloud-clone.com/products/PAA537Ra01.html |
|
Артикул
|
Наименование |
Производитель
|
|---|
|
Артикул
|
Наименование |
Производитель
|
|---|
|
Артикул
|
Наименование |
Производитель
|
|---|
|
Артикул
|
Наименование |
Производитель
|
|---|
|
Артикул
|
Наименование |
Производитель
|
|---|
|
Артикул
|
Наименование |
Производитель
|
|---|
Акции и предложения
Популярные продукты:
Guinea Pig A/G-specific adenine DNA glycosylase(MUTYH) ELISA kit (E05A1924)
Организм: морская свинка
Chicken Cerebellin 4(CBLN4) ELISA kit (E12C1410)
Организм: курица
Chicken Protein TBRG4(TBRG4) ELISA kit (E12P0896)
Организм: курица
Mouse Calsequestrin 2(CASQ2) ELISA kit (E03C1395)
Организм: мышь
Rat claudin 14,CLDN14 ELISA kit (E02C0969)
Организм: крыса

