| UNIPROT | P52803 |
| Иммуноген | RPE111Hu01-Recombinant Ephrin A5 (EFNA5) |
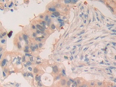
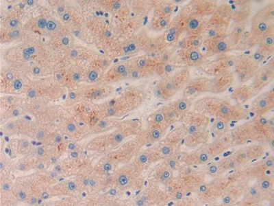
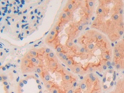
Polyclonal Antibody to Ephrin A5 (EFNA5) (PAE111Hu01)
Реактивность подтвержденная:
человек
Источник (хозяин):
кролик
Валидировано для:
IHC
WB
Характеристики
Техническое описание
| Русское название | PAE111Hu01 Поликлональное антитело к EFNA5 (человек) <Cloud-Clone,Китай> |
| Каталожный номер | PAE111Hu01 |
| Название антигена | Ephrin A5 (EFNA5) |
| UNIPROT | P52803 |
| Иммуноген | RPE111Hu01-Recombinant Ephrin A5 (EFNA5) |
| Английские синонимы | AF1, EFL5, EPLG7, GLC1M, LERK7, RAGS, AL-1, EPH-related receptor tyrosine kinase ligand 7 |
Реактивность подтвержденная Нужна другая реактивность? |
человек |
| Реактивность предсказываемая | мышь, крыса |
| Источник (хозяин) | кролик |
| Клональность | поликлональное |
| Рекомбинантное | нет |
| Готовое к использованию | нет |
| Концентрация | 0.5 мг/мл |
| Конъюгат | По запросу: HRP, biotin, PerCP, PE, Cy3, FITC, Cy7, Cy5.5, PE-Cy5, PE-Cy7, PerCp-Cy5.5, APC, Cy5, PE-Cy3, PE-Cy5.5, APC-Cy7, Biotin-APC, FITC-Biotin, TRITC, APC-Cy5, AF488, AF594, AF405, AF555, AF700, AF647, AF750 |
| Валидировано для | IHC WB Иммуногистохимия; Вестерн-блоттинг |
| Рекомендуемые разведения | WB: 0.5-2 мкг/мл; IHC: 5-20 мкг/мл; ICC: 5-20 мкг/мл; Оптимальное разведение определяется конечным потребителем |
| Метод очистки | Антигенспецифическая аффинная хроматография с последующей аффинной хроматографией с белком А |
| Состав буфера | 0.01M PBS, pH7.4, 0.05% Proclin-300, 50% глицерин |
| Условия доставки | термобокс с аккумуляторами холода |
| Условия хранения | Сразу после получения аликвотировать и хранить при -20ºС до 24 месяцев. Для частого использования хранить при +4ºС не более 2 недель. Избегать повторения циклов замерзания/оттаивания |
| Срок хранения | 24 месяца |
| Производитель | Cloud-Clone Corp. |
| Ссылка на страницу товара на сайте производителя | http://www.cloud-clone.com/products/PAE111Hu01.html |
|
Артикул
|
Наименование |
Производитель
|
|---|
|
Артикул
|
Наименование |
Производитель
|
|---|
Акции и предложения
Популярные продукты:
VCP Mouse Monoclonal Antibody (BF8562)
Источник (хозяин): мышь
Реактивность подтвержденная: человек, мышь, крыса
Валидировано для: WB
Реактивность подтвержденная: человек, мышь, крыса
Валидировано для: WB
Dysferlin Mouse Monoclonal Antibody (BF9306)
Источник (хозяин): мышь
Реактивность подтвержденная: человек
Валидировано для: WB
Реактивность подтвержденная: человек
Валидировано для: WB
Vimentin mouse monoclonal Antibody (BF8006)
Источник (хозяин): мышь
Реактивность подтвержденная: человек, мышь, крыса
Валидировано для: ICC, IF, IHC, WB
Реактивность подтвержденная: человек, мышь, крыса
Валидировано для: ICC, IF, IHC, WB
Anti-Human FADS2 Polyclonal Antibody (PHB77601)
Источник (хозяин): кролик
Реактивность подтвержденная: человек
Валидировано для: ELISA, IHC, WB
Реактивность подтвержденная: человек
Валидировано для: ELISA, IHC, WB
Anti-Vitamin D Binding Protein (DBP) Monoclonal Antibody (FAB810Ra06)
Источник (хозяин): мышь
Реактивность подтвержденная: крыса
Валидировано для: FCM
Реактивность подтвержденная: крыса
Валидировано для: FCM
Recombinant Human Epidermal Growth Factor (HYC020M01)
Источник (хозяин): дрожжи
Организм: человек
Теги: без тегов
Биоактивность: да
Организм: человек
Теги: без тегов
Биоактивность: да

