| UNIPROT | P01133 |
| Иммуноген | RPA560Hu01-Recombinant Epidermal Growth Factor (EGF) |
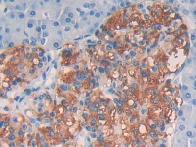
Polyclonal Antibody to Epidermal Growth Factor (EGF) (PAA560Hu01)
Реактивность подтвержденная:
человек
Источник (хозяин):
кролик
Валидировано для:
IHC
WB
Характеристики
Техническое описание
| Русское название | PAA560Hu01 Поликлональное антитело к EGF (человек) <Cloud-Clone,Китай> |
| Каталожный номер | PAA560Hu01 |
| Название антигена | Epidermal Growth Factor (EGF) |
| UNIPROT | P01133 |
| Иммуноген | RPA560Hu01-Recombinant Epidermal Growth Factor (EGF) |
| Английские синонимы | URG, Beta-Urogastrone, Pro-epidermal growth factor |
Реактивность подтвержденная Нужна другая реактивность? |
человек |
| Источник (хозяин) | кролик |
| Клональность | поликлональное |
| Рекомбинантное | нет |
| Готовое к использованию | нет |
| Концентрация | 0.5 мг/мл |
| Конъюгат | По запросу: HRP, biotin, PerCP, PE, Cy3, FITC, Cy7, Cy5.5, PE-Cy5, PE-Cy7, PerCp-Cy5.5, APC, Cy5, PE-Cy3, PE-Cy5.5, APC-Cy7, Biotin-APC, FITC-Biotin, TRITC, APC-Cy5, AF488, AF594, AF405, AF555, AF700, AF647, AF750 |
| Валидировано для | IHC WB Иммуногистохимия; Вестерн-блоттинг |
| Рекомендуемые разведения | WB: 0.5-3 мкг/мл; IHC: 5-30 мкг/мл; ICC: 5-30 мкг/мл; Оптимальное разведение определяется конечным потребителем |
| Метод очистки | Антигенспецифическая аффинная хроматография с последующей аффинной хроматографией с белком А |
| Состав буфера | PBS, pH7.4, 0.02% NaN3, 50% глицерин |
| Условия доставки | термобокс с аккумуляторами холода |
| Условия хранения | Сразу после получения аликвотировать и хранить при -20ºС до 24 месяцев. Для частого использования хранить при +4ºС не более 2 недель. Избегать повторения циклов замерзания/оттаивания |
| Срок хранения | 24 месяца |
| Производитель | Cloud-Clone Corp. |
| Ссылка на страницу товара на сайте производителя | http://www.cloud-clone.com/products/PAA560Hu01.html |
|
Артикул
|
Наименование |
Производитель
|
|---|
|
Артикул
|
Наименование |
Производитель
|
|---|
|
Артикул
|
Наименование |
Производитель
|
|---|
|
Артикул
|
Наименование |
Производитель
|
|---|
|
Артикул
|
Наименование |
Производитель
|
|---|
|
Артикул
|
Наименование |
Производитель
|
|---|
|
Артикул
|
Наименование |
Производитель
|
|---|
|
Артикул
|
Наименование |
Производитель
|
|---|
Акции и предложения
Популярные продукты:
Porcine GDP Dissociation Inhibitor 1 ELISA kit (E07G0152)
Организм: свинья
Anti-FK506 Binding Protein 1A (FKBP1A) Monoclonal Antibody (FAE641Hu02)
Источник (хозяин): мышь
Реактивность подтвержденная: человек
Валидировано для: FCM
Реактивность подтвержденная: человек
Валидировано для: FCM
Monoclonal Antibody to FK506 Binding Protein 1A (FKBP1A) (MAE641Hu22)
Источник (хозяин): мышь
Реактивность подтвержденная: человек
Валидировано для: ICC, IF
Реактивность подтвержденная: человек
Валидировано для: ICC, IF
Goat Arginine fifty homeobox(ARGFX) ELISA kit (E06A1635)
Организм: коза
Monkey Acrosin binding protein(ACRBP) ELISA kit (E09A1204)
Организм: обезьяна
Bovine UMP CMP kinase(CMPK1) ELISA kit (E11U0036)
Организм: корова

