| UNIPROT | P19785 |
| Иммуноген | RPB050Mu01-Recombinant Estrogen Receptor Alpha (ERa) |
Polyclonal Antibody to Estrogen Receptor Alpha (ERa) (PAB050Mu01)
Реактивность подтвержденная:
мышь
Источник (хозяин):
кролик
Валидировано для:
IHC
Характеристики
Публикации
Техническое описание
| Русское название | PAB050Mu01 Поликлональное антитело к ERa (мышь) <Cloud-Clone,Китай> |
| Каталожный номер | PAB050Mu01 |
| Название антигена | Estrogen Receptor Alpha (ERa) |
| UNIPROT | P19785 |
| Иммуноген | RPB050Mu01-Recombinant Estrogen Receptor Alpha (ERa) |
| Английские синонимы | ER-A1, ER, ESR, ESR1, ESRA, NR3A1, NR3-A1, Estrogen Receptor 1, Nuclear Receptor Subfamily 3,Group A,Member 1 |
Реактивность подтвержденная Нужна другая реактивность? |
мышь |
| Реактивность предсказываемая | человек, крыса |
| Источник (хозяин) | кролик |
| Клональность | поликлональное |
| Рекомбинантное | нет |
| Готовое к использованию | нет |
| Концентрация | 0.5 мг/мл |
| Конъюгат | По запросу: HRP, biotin, PerCP, PE, Cy3, FITC, Cy7, Cy5.5, PE-Cy5, PE-Cy7, PerCp-Cy5.5, APC, Cy5, PE-Cy3, PE-Cy5.5, APC-Cy7, Biotin-APC, FITC-Biotin, TRITC, APC-Cy5, AF488, AF594, AF405, AF555, AF700, AF647, AF750 |
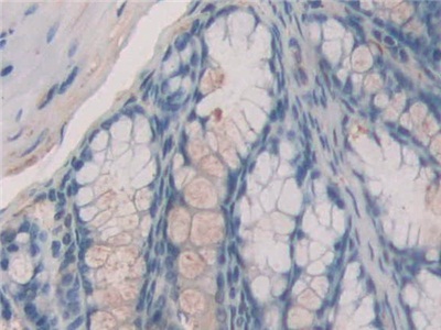
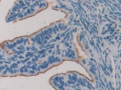
| Валидировано для | IHC Иммуногистохимия |
| Рекомендуемые разведения | WB: 0.01-2 мкг/мл; IHC: 5-20 мкг/мл; ICC: 5-20 мкг/мл; Оптимальное разведение определяется конечным потребителем |
| Метод очистки | Антигенспецифическая аффинная хроматография с последующей аффинной хроматографией с белком А |
| Состав буфера | PBS, pH7.4, 0.02% NaN3, 50% глицерин |
| Условия доставки | термобокс с аккумуляторами холода |
| Условия хранения | Сразу после получения аликвотировать и хранить при -20ºС до 24 месяцев. Для частого использования хранить при +4ºС не более 2 недель. Избегать повторения циклов замерзания/оттаивания |
| Срок хранения | 24 месяца |
| Производитель | Cloud-Clone Corp. |
| Ссылка на страницу товара на сайте производителя | http://www.cloud-clone.com/products/PAB050Mu01.html |
|
Артикул
|
Наименование |
Производитель
|
|---|
|
Артикул
|
Наименование |
Производитель
|
|---|
|
Артикул
|
Наименование |
Производитель
|
|---|
|
Артикул
|
Наименование |
Производитель
|
|---|
|
Артикул
|
Наименование |
Производитель
|
|---|
|
Артикул
|
Наименование |
Производитель
|
|---|
Акции и предложения
Популярные продукты:
ELISA Kit for Carboxypeptidase A3 (CPA3) (SEC395Ra)
Организм: крыса
Диапазон определения: 0.781-50 нг/мл
Чувствительность: 0.84 нг/мл
Диапазон определения: 0.781-50 нг/мл
Чувствительность: 0.84 нг/мл
Canine ADP ribosylation factor 1(ARF1) ELISA kit (E08A1624)
Организм: собака
Porcine Arylsulfatase F(ARSF) ELISA kit (E07A1687)
Организм: свинья
Bovine elongation factor 2 ELISA kit (E11E0398)
Организм: корова

