| UNIPROT | P25445 |
| Иммуноген | RPA030Hu02-Recombinant Factor Related Apoptosis (FAS) |
Polyclonal Antibody to Factor Related Apoptosis (FAS) (PAA030Hu02)
Реактивность подтвержденная:
человек
Источник (хозяин):
кролик
Валидировано для:
IHC
WB
Характеристики
Техническое описание
| Русское название | PAA030Hu02 Поликлональное антитело к FAS (человек) <Cloud-Clone,Китай> |
| Каталожный номер | PAA030Hu02 |
| Название антигена | Factor Related Apoptosis (FAS) |
| UNIPROT | P25445 |
| Иммуноген | RPA030Hu02-Recombinant Factor Related Apoptosis (FAS) |
| Английские синонимы | CD95, CD-95, CD 95, ALPS1A, ALPS1-A, APO1, APT1, FAS1, FASTM, TNFRSF6, Fas Receptor, TNF Receptor Superfamily Member 6, Tumor Necrosis Factor Receptor Superfamily Member 6 |
Реактивность подтвержденная Нужна другая реактивность? |
человек |
| Источник (хозяин) | кролик |
| Клональность | поликлональное |
| Рекомбинантное | нет |
| Готовое к использованию | нет |
| Концентрация | 0.5 мг/мл |
| Конъюгат | По запросу: HRP, biotin, PerCP, PE, Cy3, FITC, Cy7, Cy5.5, PE-Cy5, PE-Cy7, PerCp-Cy5.5, APC, Cy5, PE-Cy3, PE-Cy5.5, APC-Cy7, Biotin-APC, FITC-Biotin, TRITC, APC-Cy5, AF488, AF594, AF405, AF555, AF700, AF647, AF750 |
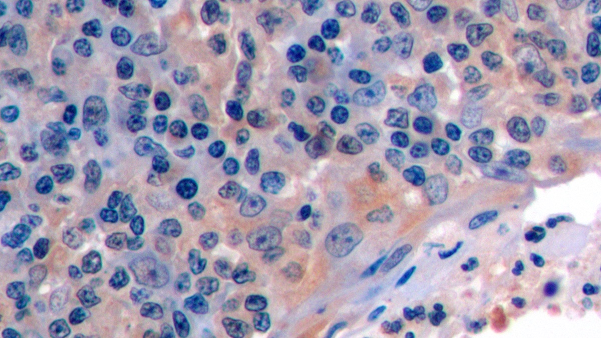
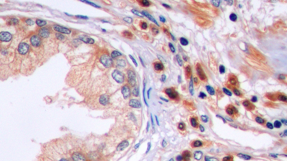
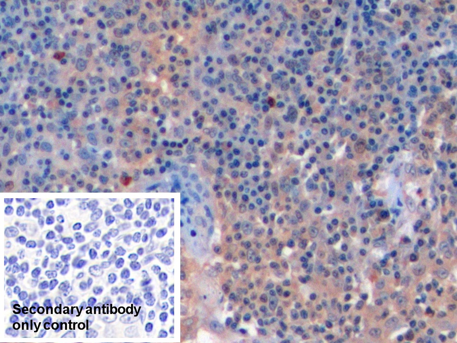
| Валидировано для | IHC WB Иммуногистохимия; Вестерн-блоттинг |
| Рекомендуемые разведения | WB: 0.01-2 мкг/мл; IHC: 5-20 мкг/мл; Оптимальное разведение определяется конечным потребителем |
| Метод очистки | Антигенспецифическая аффинная хроматография с последующей аффинной хроматографией с белком А |
| Состав буфера | 0.01M PBS, pH7.4, 0.05% Proclin-300, 50% глицерин |
| Условия доставки | термобокс с аккумуляторами холода |
| Условия хранения | Сразу после получения аликвотировать и хранить при -20ºС до 24 месяцев. Для частого использования хранить при +4ºС не более 2 недель. Избегать повторения циклов замерзания/оттаивания |
| Срок хранения | 24 месяца |
| Производитель | Cloud-Clone Corp. |
| Ссылка на страницу товара на сайте производителя | http://www.cloud-clone.com/products/PAA030Hu02.html |
|
Артикул
|
Наименование |
Производитель
|
|---|
|
Артикул
|
Наименование |
Производитель
|
|---|
|
Артикул
|
Наименование |
Производитель
|
|---|
|
Артикул
|
Наименование |
Производитель
|
|---|
|
Артикул
|
Наименование |
Производитель
|
|---|
|
Артикул
|
Наименование |
Производитель
|
|---|
|
Артикул
|
Наименование |
Производитель
|
|---|
|
Артикул
|
Наименование |
Производитель
|
|---|
|
Артикул
|
Наименование |
Производитель
|
|---|
Акции и предложения
Популярные продукты:
WTAP Mouse Monoclonal Antibody (BF9330)
Источник (хозяин): мышь
Реактивность подтвержденная: человек
Валидировано для: WB
Реактивность подтвержденная: человек
Валидировано для: WB
FAS Mouse Monoclonal Antibody (BF8275)
Источник (хозяин): мышь
Реактивность подтвержденная: человек, мышь, крыса
Валидировано для: WB
Реактивность подтвержденная: человек, мышь, крыса
Валидировано для: WB
Rabbit Gastrokine 2 ELISA kit (E04G0185)
Организм: кролик
Bovine Kallikrein 7 ELISA kit (E11K0074)
Организм: корова
Sheep Transglutaminase 2,Tissue ELISA kit (E14T0764)
Организм: овца
Bovine Glycocalicin ELISA kit (E11G0097)
Организм: корова

