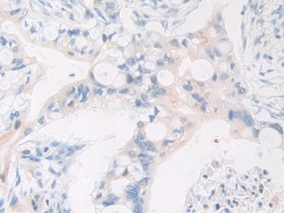
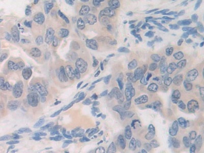
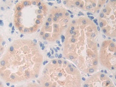
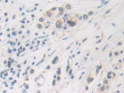
Polyclonal Antibody to Farnesyl Diphosphate Farnesyltransferase 1 (FDFT1) (PAB708Hu01)
Реактивность подтвержденная:
человек
Источник (хозяин):
кролик
Валидировано для:
IHC
WB
Характеристики
Техническое описание
| Русское название | PAB708Hu01 Поликлональное антитело к FDFT1 (человек) <Cloud-Clone,Китай> |
| Каталожный номер | PAB708Hu01 |
| Название антигена | Farnesyl Diphosphate Farnesyltransferase 1 (FDFT1) |
| UNIPROT | P37268 |
| Иммуноген | RPB708Hu01-Recombinant Farnesyl Diphosphate Farnesyltransferase 1 (FDFT1) |
| Английские синонимы | SQS, SS, Squalene Synthase, FPP farnesyltransferase |
Реактивность подтвержденная Нужна другая реактивность? |
человек |
| Реактивность предсказываемая | мышь, крыса |
| Источник (хозяин) | кролик |
| Клональность | поликлональное |
| Рекомбинантное | нет |
| Готовое к использованию | нет |
| Концентрация | 0.42 мг/мл |
| Конъюгат | По запросу: HRP, biotin, PerCP, PE, Cy3, FITC, Cy7, Cy5.5, PE-Cy5, PE-Cy7, PerCp-Cy5.5, APC, Cy5, PE-Cy3, PE-Cy5.5, APC-Cy7, Biotin-APC, FITC-Biotin, TRITC, APC-Cy5, AF488, AF594, AF405, AF555, AF700, AF647, AF750 |
| Валидировано для | IHC WB Иммуногистохимия; Вестерн-блоттинг |
| Рекомендуемые разведения | WB: 0.5-2 мкг/мл; 1: 200-800; IHC: 5-20 мкг/мл; 1: 20-80; ICC: 5-20 мкг/мл; 1: 20-80; Оптимальное разведение определяется конечным потребителем |
| Метод очистки | Антигенспецифическая аффинная хроматография с последующей аффинной хроматографией с белком А |
| Состав буфера | 0.01M PBS, pH7.4, 0.05% Proclin-300, 50% глицерин |
| Условия доставки | термобокс с аккумуляторами холода |
| Условия хранения | Сразу после получения аликвотировать и хранить при -20ºС до 24 месяцев. Для частого использования хранить при +4ºС не более 2 недель. Избегать повторения циклов замерзания/оттаивания |
| Срок хранения | 24 месяца |
| Производитель | Cloud-Clone Corp. |
| Ссылка на страницу товара на сайте производителя | http://www.cloud-clone.com/products/PAB708Hu01.html |
|
Артикул
|
Наименование |
Производитель
|
|---|
|
Артикул
|
Наименование |
Производитель
|
|---|
|
Артикул
|
Наименование |
Производитель
|
|---|
|
Артикул
|
Наименование |
Производитель
|
|---|
|
Артикул
|
Наименование |
Производитель
|
|---|
Акции и предложения
Популярные продукты:
Anti-Trefoil Factor 1 (TFF1) Polyclonal Antibody (FAB049Hu01)
Источник (хозяин): кролик
Реактивность подтвержденная: человек
Валидировано для: FCM
Реактивность подтвержденная: человек
Валидировано для: FCM
ELISA Kit DIY Materials for Transforming Growth Factor Beta Receptor I (TGFbR1) (KSA397Hu01)
Организм: человек
Диапазон определения: 0.312-20 нг/мл
Чувствительность: 0.122 нг/мл
Диапазон определения: 0.312-20 нг/мл
Чувствительность: 0.122 нг/мл
Monoclonal Antibody to Osteonectin (ON) (MAA791Ra22)
Источник (хозяин): мышь
Реактивность подтвержденная: крыса
Валидировано для: ICC, IF
Реактивность подтвержденная: крыса
Валидировано для: ICC, IF
ELISA Kit for Advillin (AVIL) (SEG172Hu)
Организм: человек
Диапазон определения: 0.156-10 нг/мл
Чувствительность: 9.5 пг/мл
Диапазон определения: 0.156-10 нг/мл
Чувствительность: 9.5 пг/мл
ELISA Kit for Stabilin 1 (STAB1) (SEC872Hu)
Организм: человек
Диапазон определения: 78-5,000 пг/мл
Чувствительность: 0.057 нг/мл
Диапазон определения: 78-5,000 пг/мл
Чувствительность: 0.057 нг/мл
Porcine 6 phosphogluconolactonase(PGLS) ELISA kit (E07P0905)
Организм: свинья

