| UNIPROT | P14324 |
| Иммуноген | RPE162Hu01-Recombinant Farnesyl Diphosphate Synthase (FDPS) |
Polyclonal Antibody to Farnesyl Diphosphate Synthase (FDPS) (PAE162Hu01)
Реактивность подтвержденная:
человек
Источник (хозяин):
кролик
Валидировано для:
IHC
WB
Характеристики
Техническое описание
| Русское название | PAE162Hu01 Поликлональное антитело к FDPS (человек) <Cloud-Clone,Китай> |
| Каталожный номер | PAE162Hu01 |
| Название антигена | Farnesyl Diphosphate Synthase (FDPS) |
| UNIPROT | P14324 |
| Иммуноген | RPE162Hu01-Recombinant Farnesyl Diphosphate Synthase (FDPS) |
| Английские синонимы | FPS, Farnesyl Pyrophosphate Synthetase, Dimethylallyltranstransferase, Geranyltranstransferase |
Реактивность подтвержденная Нужна другая реактивность? |
человек |
| Источник (хозяин) | кролик |
| Клональность | поликлональное |
| Рекомбинантное | нет |
| Готовое к использованию | нет |
| Концентрация | 500 мкг/мл |
| Конъюгат | По запросу: HRP, biotin, PerCP, PE, Cy3, FITC, Cy7, Cy5.5, PE-Cy5, PE-Cy7, PerCp-Cy5.5, APC, Cy5, PE-Cy3, PE-Cy5.5, APC-Cy7, Biotin-APC, FITC-Biotin, TRITC, APC-Cy5, AF488, AF594, AF405, AF555, AF700, AF647, AF750 |
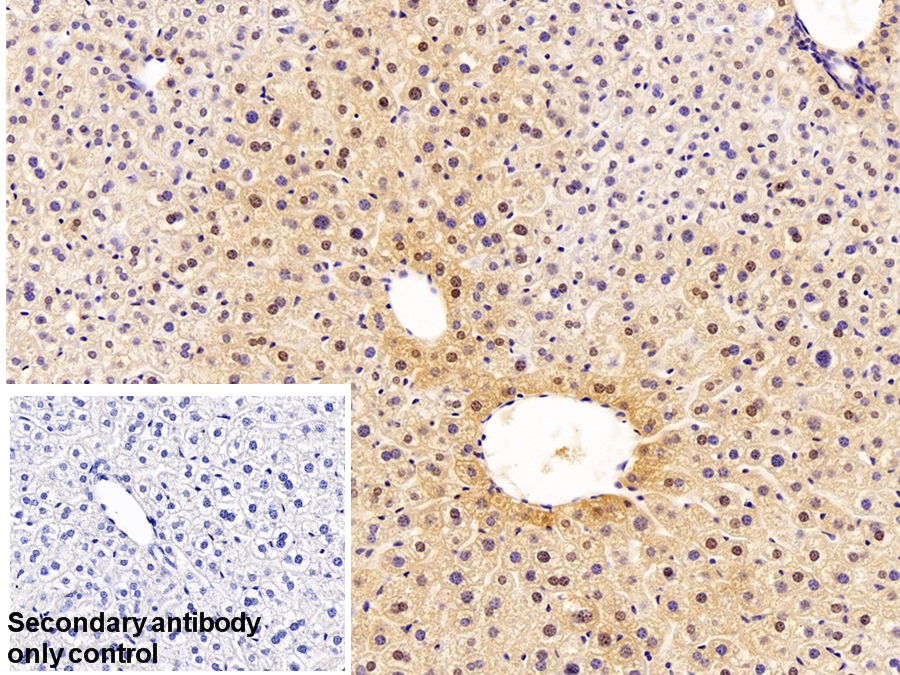
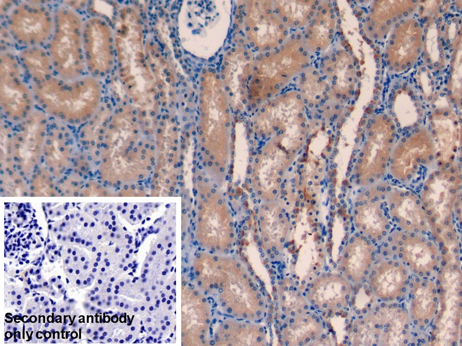
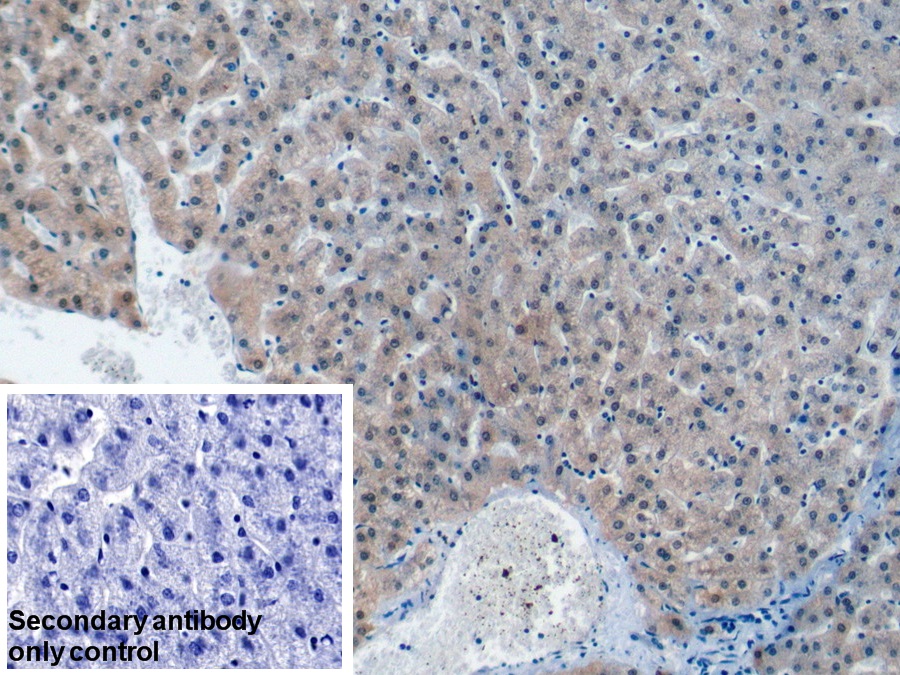
| Валидировано для | IHC WB Иммуногистохимия; Вестерн-блоттинг |
| Рекомендуемые разведения | WB: 0.5-2 мкг/мл; IHC: 5-20 мкг/мл; ICC: 5-20 мкг/мл; Оптимальное разведение определяется конечным потребителем |
| Метод очистки | Антигенспецифическая аффинная хроматография с последующей аффинной хроматографией с белком А |
| Состав буфера | 0.01M PBS, pH7.4, 0.05% Proclin-300, 50% глицерин |
| Условия доставки | термобокс с аккумуляторами холода |
| Условия хранения | Сразу после получения аликвотировать и хранить при -20ºС до 24 месяцев. Для частого использования хранить при +4ºС не более 2 недель. Избегать повторения циклов замерзания/оттаивания |
| Срок хранения | 24 месяца |
| Производитель | Cloud-Clone Corp. |
| Ссылка на страницу товара на сайте производителя | http://www.cloud-clone.com/products/PAE162Hu01.html |
|
Артикул
|
Наименование |
Производитель
|
|---|
|
Артикул
|
Наименование |
Производитель
|
|---|
|
Артикул
|
Наименование |
Производитель
|
|---|
|
Артикул
|
Наименование |
Производитель
|
|---|
Акции и предложения
Популярные продукты:
PLCG2 Mouse Monoclonal Antibody (BF8557)
Источник (хозяин): мышь
Реактивность подтвержденная: человек, мышь, крыса
Валидировано для: ICC, IF, WB
Реактивность подтвержденная: человек, мышь, крыса
Валидировано для: ICC, IF, WB
Chicken Pigment Epithelium Derived Factor ELISA kit (E12P0084)
Организм: курица
Canine Pregnancy Specific β1 Glycoprotein 1 ELISA kit (E08P0153)
Организм: собака
Recombinant Human Tie-2 (C-Fc) (PKSH033870)
Источник (хозяин): HEK293
Организм: человек
Фрагмент: Ala23-Lys745
Теги: C-Fc
Биоактивность: нет
Организм: человек
Фрагмент: Ala23-Lys745
Теги: C-Fc
Биоактивность: нет
Recombinant Human CACNA2D2 Protein, N-His (YHN49601)
Источник (хозяин): E.coli
Организм: человек
Фрагмент: Asp291-Leu469
Теги: N-His
Биоактивность: нет
Организм: человек
Фрагмент: Asp291-Leu469
Теги: N-His
Биоактивность: нет
Anti-PLCG2 Antibody (R3E65) (RHD19503)
Источник (хозяин): мышь
Реактивность подтвержденная: человек
Валидировано для: ELISA, IHC
Реактивность подтвержденная: человек
Валидировано для: ELISA, IHC

