| UNIPROT | P19096 |
| Иммуноген | RPC470Mu01-Recombinant Fatty Acid Synthase (FASN) |
Polyclonal Antibody to Fatty Acid Synthase (FASN) (PAC470Mu01)
Реактивность подтвержденная:
мышь
Источник (хозяин):
кролик
Валидировано для:
WB
Характеристики
Публикации
Техническое описание
| Русское название | PAC470Mu01 Поликлональное антитело к FASN (мышь) <Cloud-Clone,Китай> |
| Каталожный номер | PAC470Mu01 |
| Название антигена | Fatty Acid Synthase (FASN) |
| UNIPROT | P19096 |
| Иммуноген | RPC470Mu01-Recombinant Fatty Acid Synthase (FASN) |
| Английские синонимы | FAS, OA519, SDR27X1, Short Chain Dehydrogenase/Reductase Family 27X,Member 1, S-acetyltransferase, 3-oxoacyl synthase, Oleoyl hydrolase, Enoyl-acyl-carrier-protein reductase |
Реактивность подтвержденная Нужна другая реактивность? |
мышь |
| Реактивность предсказываемая | крыса |
| Источник (хозяин) | кролик |
| Клональность | поликлональное |
| Рекомбинантное | нет |
| Готовое к использованию | нет |
| Концентрация | 0.5 мг/мл |
| Конъюгат | По запросу: HRP, biotin, PerCP, PE, Cy3, FITC, Cy7, Cy5.5, PE-Cy5, PE-Cy7, PerCp-Cy5.5, APC, Cy5, PE-Cy3, PE-Cy5.5, APC-Cy7, Biotin-APC, FITC-Biotin, TRITC, APC-Cy5, AF488, AF594, AF405, AF555, AF700, AF647, AF750 |
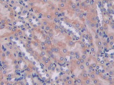
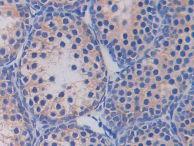
| Валидировано для | WB Вестерн-блоттинг |
| Рекомендуемые разведения | WB: 0.01-2 мкг/мл; IHC: 5-30 мкг/мл; ICC: 5-30 мкг/мл; Оптимальное разведение определяется конечным потребителем |
| Метод очистки | Антигенспецифическая аффинная хроматография с последующей аффинной хроматографией с белком А |
| Состав буфера | PBS, pH7.4, 0.02% NaN3, 50% глицерин |
| Условия доставки | термобокс с аккумуляторами холода |
| Условия хранения | Сразу после получения аликвотировать и хранить при -20ºС до 24 месяцев. Для частого использования хранить при +4ºС не более 2 недель. Избегать повторения циклов замерзания/оттаивания |
| Срок хранения | 24 месяца |
| Производитель | Cloud-Clone Corp. |
| Ссылка на страницу товара на сайте производителя | http://www.cloud-clone.com/products/PAC470Mu01.html |
|
Артикул
|
Наименование |
Производитель
|
|---|
|
Артикул
|
Наименование |
Производитель
|
|---|
|
Артикул
|
Наименование |
Производитель
|
|---|
|
Артикул
|
Наименование |
Производитель
|
|---|
|
Артикул
|
Наименование |
Производитель
|
|---|
|
Артикул
|
Наименование |
Производитель
|
|---|
Акции и предложения
Популярные продукты:
Rabbit Thyroid transcription factor 1 ELISA kit (E04T0565)
Организм: кролик
Monkey Prostaglandin reductase 1(PTGR1) ELISA kit (E09P0881)
Организм: обезьяна
Porcine adrenomedullin 2 (ADM2) ELISA kit (E07A1275)
Организм: свинья
Sheep ankyrin B,Ank-B ELISA Kit (E14A1449)
Организм: овца

