| UNIPROT | P12785 |
| Иммуноген | RPC470Ra01-Recombinant Fatty Acid Synthase (FASN) |
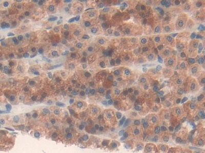
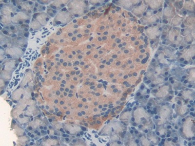
Polyclonal Antibody to Fatty Acid Synthase (FASN) (PAC470Ra01)
Реактивность подтвержденная:
крыса
Источник (хозяин):
кролик
Валидировано для:
IHC
Характеристики
Техническое описание
| Русское название | PAC470Ra01 Поликлональное антитело к FASN (крыса) <Cloud-Clone,Китай> |
| Каталожный номер | PAC470Ra01 |
| Название антигена | Fatty Acid Synthase (FASN) |
| UNIPROT | P12785 |
| Иммуноген | RPC470Ra01-Recombinant Fatty Acid Synthase (FASN) |
| Английские синонимы | FAS, OA519, SDR27X1, Short Chain Dehydrogenase/Reductase Family 27X,Member 1, S-acetyltransferase, 3-oxoacyl synthase, Oleoyl hydrolase, Enoyl-acyl-carrier-protein reductase |
Реактивность подтвержденная Нужна другая реактивность? |
крыса |
| Источник (хозяин) | кролик |
| Клональность | поликлональное |
| Рекомбинантное | нет |
| Готовое к использованию | нет |
| Концентрация | 500 мкг/мл |
| Конъюгат | По запросу: HRP, biotin, PerCP, PE, Cy3, FITC, Cy7, Cy5.5, PE-Cy5, PE-Cy7, PerCp-Cy5.5, APC, Cy5, PE-Cy3, PE-Cy5.5, APC-Cy7, Biotin-APC, FITC-Biotin, TRITC, APC-Cy5, AF488, AF594, AF405, AF555, AF700, AF647, AF750 |
| Валидировано для | IHC Иммуногистохимия |
| Рекомендуемые разведения | WB: 0.5-2 мкг/мл; IHC: 5-20 мкг/мл; ICC: 5-20 мкг/мл; Оптимальное разведение определяется конечным потребителем |
| Метод очистки | Антигенспецифическая аффинная хроматография с последующей аффинной хроматографией с белком А |
| Состав буфера | PBS, pH7.4, 0.02% NaN3, 50% глицерин |
| Условия доставки | термобокс с аккумуляторами холода |
| Условия хранения | Сразу после получения аликвотировать и хранить при -20ºС до 24 месяцев. Для частого использования хранить при +4ºС не более 2 недель. Избегать повторения циклов замерзания/оттаивания |
| Срок хранения | 24 месяца |
| Производитель | Cloud-Clone Corp. |
| Ссылка на страницу товара на сайте производителя | http://www.cloud-clone.com/products/PAC470Ra01.html |
|
Артикул
|
Наименование |
Производитель
|
|---|
|
Артикул
|
Наименование |
Производитель
|
|---|
|
Артикул
|
Наименование |
Производитель
|
|---|
|
Артикул
|
Наименование |
Производитель
|
|---|
|
Артикул
|
Наименование |
Производитель
|
|---|
|
Артикул
|
Наименование |
Производитель
|
|---|
Акции и предложения
Популярные продукты:
ELISA Kit DIY Materials for Natural Cytotoxicity Triggering Receptor 3 (NCR3) (KSB804Hu01)
Организм: человек
Диапазон определения: 15.6-1000 пг/мл
Чувствительность: 6.2 пг/мл
Диапазон определения: 15.6-1000 пг/мл
Чувствительность: 6.2 пг/мл
Monoclonal Antibody to Casein Alpha (CSN1) (MAJ333Bo27)
Источник (хозяин): мышь
Реактивность подтвержденная: корова
Валидировано для: WB
Реактивность подтвержденная: корова
Валидировано для: WB
Chicken Alpha mannosidase 2(MAN2A1) ELISA kit (E12A1903)
Организм: курица
Goat Alpha mannosidase 2(MAN2A1) ELISA kit (E06A1903)
Организм: коза
Human Alpha mannosidase 2(MAN2A1) ELISA kit (E01A1903)
Организм: человек
Диапазон определения: 50-1000 пг/мл
Чувствительность: 1 пг/мл
Диапазон определения: 50-1000 пг/мл
Чувствительность: 1 пг/мл
Rabbit Thimet oligopeptidase ELISA kit (E04T0406)
Организм: кролик

