| UNIPROT | P19130 |
| Иммуноген | RPD021Po01-Recombinant Ferritin, Heavy Polypeptide (FTH) |
Polyclonal Antibody to Ferritin, Heavy Polypeptide (FTH) (PAD021Po01)
Реактивность подтвержденная:
свинья
Источник (хозяин):
кролик
Валидировано для:
IHC
WB
Характеристики
Техническое описание
| Русское название | PAD021Po01 Поликлональное антитело к FTH (свинья) <Cloud-Clone,Китай> |
| Каталожный номер | PAD021Po01 |
| Название антигена | Ferritin, Heavy Polypeptide (FTH) |
| UNIPROT | P19130 |
| Иммуноген | RPD021Po01-Recombinant Ferritin, Heavy Polypeptide (FTH) |
| Английские синонимы | FTH1, FTHL6, PIG15, PLIF, Ferritin Heavy Chain, Apoferritin, Placenta Immunoregulatory Factor, Proliferation-Inducing Protein 15, Cell proliferation-inducing gene 15 protein |
| Русские синонимы | Тяжелый полипептид ферритина |
Реактивность подтвержденная Нужна другая реактивность? |
свинья |
| Реактивность предсказываемая | человек |
| Источник (хозяин) | кролик |
| Клональность | поликлональное |
| Рекомбинантное | нет |
| Готовое к использованию | нет |
| Концентрация | 0.5 мг/мл |
| Конъюгат | По запросу: HRP, biotin, PerCP, PE, Cy3, FITC, Cy7, Cy5.5, PE-Cy5, PE-Cy7, PerCp-Cy5.5, APC, Cy5, PE-Cy3, PE-Cy5.5, APC-Cy7, Biotin-APC, FITC-Biotin, TRITC, APC-Cy5, AF488, AF594, AF405, AF555, AF700, AF647, AF750 |
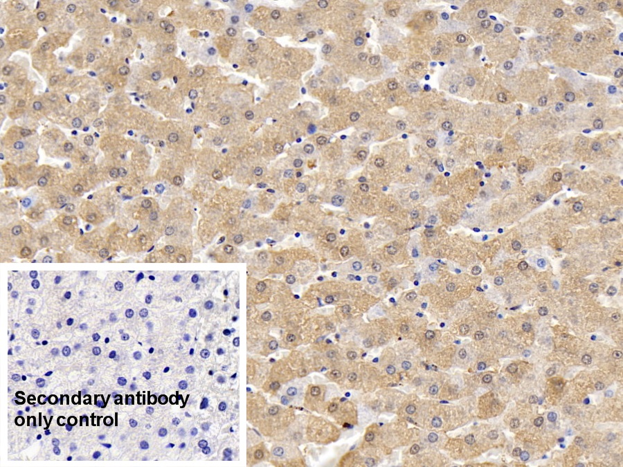
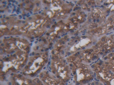
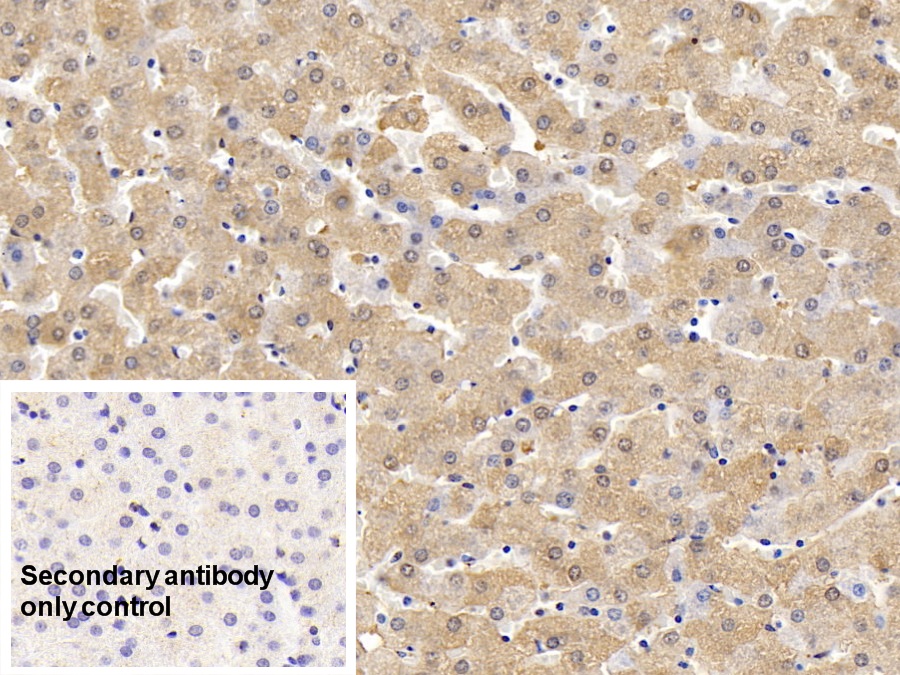
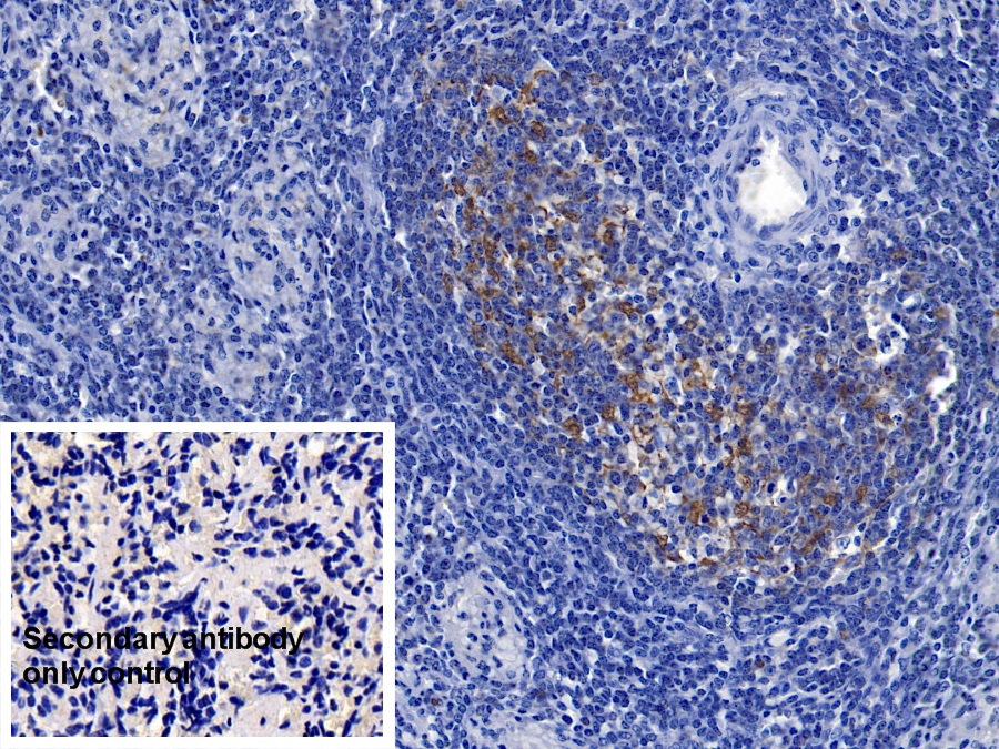
| Валидировано для | IHC WB Иммуногистохимия; Вестерн-блоттинг |
| Рекомендуемые разведения | WB: 0.5-2 мкг/мл; IHC: 5-20 мкг/мл; ICC: 5-20 мкг/мл; Оптимальное разведение определяется конечным потребителем |
| Метод очистки | Антигенспецифическая аффинная хроматография с последующей аффинной хроматографией с белком А |
| Состав буфера | 0.01M PBS, pH7.4, 0.05% Proclin-300, 50% глицерин |
| Условия доставки | термобокс с аккумуляторами холода |
| Условия хранения | Сразу после получения аликвотировать и хранить при -20ºС до 24 месяцев. Для частого использования хранить при +4ºС не более 2 недель. Избегать повторения циклов замерзания/оттаивания |
| Срок хранения | 24 месяца |
| Производитель | Cloud-Clone Corp. |
| Ссылка на страницу товара на сайте производителя | http://www.cloud-clone.com/products/PAD021Po01.html |
|
Артикул
|
Наименование |
Производитель
|
|---|
|
Артикул
|
Наименование |
Производитель
|
|---|
|
Артикул
|
Наименование |
Производитель
|
|---|
|
Артикул
|
Наименование |
Производитель
|
|---|
|
Артикул
|
Наименование |
Производитель
|
|---|
|
Артикул
|
Наименование |
Производитель
|
|---|
|
Артикул
|
Наименование |
Производитель
|
|---|
|
Артикул
|
Наименование |
Производитель
|
|---|
|
Артикул
|
Наименование |
Производитель
|
|---|
Акции и предложения
Популярные продукты:
ELISA Kit for Hepatocyte Growth Factor (HGF) (SEA047Hu)
Организм: человек
Диапазон определения: 31.2-2000 пг/мл
Чувствительность: 11.5 пг/мл
Диапазон определения: 31.2-2000 пг/мл
Чувствительность: 11.5 пг/мл
Anti-2',5'-Oligoadenylate Synthetase 2 (OAS2) Monoclonal Antibody (FAF689Hu02)
Источник (хозяин): мышь
Реактивность подтвержденная: человек
Валидировано для: FCM
Реактивность подтвержденная: человек
Валидировано для: FCM
Estriol/E3 ELISA Kit (KSK61504)
Организм: для всех
Диапазон определения: 1.56 - 100 нг/мл
Чувствительность: 0.5 нг/мл
Диапазон определения: 1.56 - 100 нг/мл
Чувствительность: 0.5 нг/мл
Goat Neuronatin(NNAT) ELISA kit (E06N0552)
Организм: коза
Sheep exportin 6 ELISA Kit (E14X0018)
Организм: овца
Rabbit Catenin Alpha 3(CTNNA3) ELISA kit (E04E0195)
Организм: кролик

