| UNIPROT | P19132 |
| Иммуноген | RPD021Ra01-Recombinant Ferritin, Heavy Polypeptide (FTH) |
Polyclonal Antibody to Ferritin, Heavy Polypeptide (FTH) (PAD021Ra01)
Реактивность подтвержденная:
крыса
Источник (хозяин):
кролик
Валидировано для:
IHC
WB
Характеристики
Техническое описание
| Русское название | PAD021Ra01 Поликлональное антитело к FTH (крыса) <Cloud-Clone,Китай> |
| Каталожный номер | PAD021Ra01 |
| Название антигена | Ferritin, Heavy Polypeptide (FTH) |
| UNIPROT | P19132 |
| Иммуноген | RPD021Ra01-Recombinant Ferritin, Heavy Polypeptide (FTH) |
| Английские синонимы | FTH1, FTHL6, PIG15, PLIF, Ferritin Heavy Chain, Apoferritin, Placenta Immunoregulatory Factor, Proliferation-Inducing Protein 15, Cell proliferation-inducing gene 15 protein |
| Русские синонимы | Тяжелый полипептид ферритина |
Реактивность подтвержденная Нужна другая реактивность? |
крыса |
| Реактивность предсказываемая | человек, мышь |
| Источник (хозяин) | кролик |
| Клональность | поликлональное |
| Рекомбинантное | нет |
| Готовое к использованию | нет |
| Концентрация | 0.5 мг/мл |
| Конъюгат | По запросу: HRP, biotin, PerCP, PE, Cy3, FITC, Cy7, Cy5.5, PE-Cy5, PE-Cy7, PerCp-Cy5.5, APC, Cy5, PE-Cy3, PE-Cy5.5, APC-Cy7, Biotin-APC, FITC-Biotin, TRITC, APC-Cy5, AF488, AF594, AF405, AF555, AF700, AF647, AF750 |
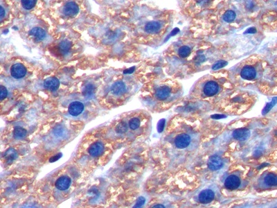
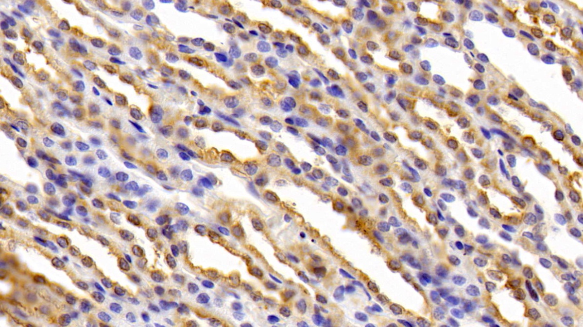
| Валидировано для | IHC WB Иммуногистохимия; Вестерн-блоттинг |
| Рекомендуемые разведения | WB: 0.01-2 мкг/мл; IHC: 5-20 мкг/мл; ICC: 5-20 мкг/мл; Оптимальное разведение определяется конечным потребителем |
| Метод очистки | Антигенспецифическая аффинная хроматография с последующей аффинной хроматографией с белком А |
| Состав буфера | PBS, pH7.4, 0.02% NaN3, 50% глицерин |
| Условия доставки | термобокс с аккумуляторами холода |
| Условия хранения | Сразу после получения аликвотировать и хранить при -20ºС до 24 месяцев. Для частого использования хранить при +4ºС не более 2 недель. Избегать повторения циклов замерзания/оттаивания |
| Срок хранения | 24 месяца |
| Производитель | Cloud-Clone Corp. |
| Ссылка на страницу товара на сайте производителя | http://www.cloud-clone.com/products/PAD021Ra01.html |
|
Артикул
|
Наименование |
Производитель
|
|---|
|
Артикул
|
Наименование |
Производитель
|
|---|
|
Артикул
|
Наименование |
Производитель
|
|---|
|
Артикул
|
Наименование |
Производитель
|
|---|
|
Артикул
|
Наименование |
Производитель
|
|---|
|
Артикул
|
Наименование |
Производитель
|
|---|
|
Артикул
|
Наименование |
Производитель
|
|---|
|
Артикул
|
Наименование |
Производитель
|
|---|
|
Артикул
|
Наименование |
Производитель
|
|---|
|
Артикул
|
Наименование |
Производитель
|
|---|
Акции и предложения
Популярные продукты:
Anti-Ferritin, Heavy Polypeptide (FTH) Monoclonal Antibody (FAD021Mu02)
Источник (хозяин): мышь
Реактивность подтвержденная: мышь
Валидировано для: FCM
Реактивность подтвержденная: мышь
Валидировано для: FCM
Chicken Transmembrane protein 18(TMEM18) ELISA kit (E12T0706)
Организм: курица
Bovine Transmembrane protein 18(TMEM18) ELISA kit (E11T0706)
Организм: корова
Goat Transmembrane protein 18(TMEM18) ELISA kit (E06T0706)
Организм: коза
Chicken Cyclin dependent kinase like 2(CDKL2) ELISA kit (E12C1566)
Организм: курица
Rat Chloride channel protein ClC Ka(CLCNKA) ELISA kit (E02C1758)
Организм: крыса

