| UNIPROT | P02792 |
| Иммуноген | RPD020Hu01-Recombinant Ferritin, Light Polypeptide (FTL) |
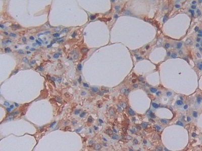
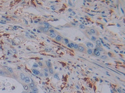
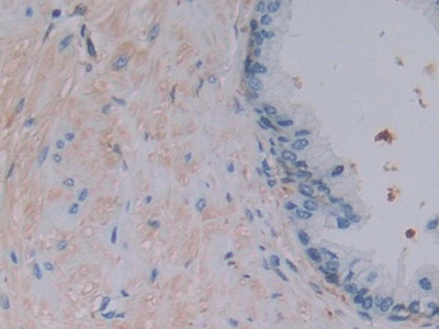
Polyclonal Antibody to Ferritin, Light Polypeptide (FTL) (PAD020Hu01)
Реактивность подтвержденная:
человек
Источник (хозяин):
кролик
Валидировано для:
IHC
WB
Характеристики
Техническое описание
| Русское название | PAD020Hu01 Поликлональное антитело к FTL (человек) <Cloud-Clone,Китай> |
| Каталожный номер | PAD020Hu01 |
| Название антигена | Ferritin, Light Polypeptide (FTL) |
| UNIPROT | P02792 |
| Иммуноген | RPD020Hu01-Recombinant Ferritin, Light Polypeptide (FTL) |
| Английские синонимы | Ferritin Light Chain, Ferritin Light Polypeptide-Like 3, L Apoferritin, Ferritin L Subunit |
Реактивность подтвержденная Нужна другая реактивность? |
человек |
| Реактивность предсказываемая | мышь, свинья |
| Источник (хозяин) | кролик |
| Клональность | поликлональное |
| Рекомбинантное | нет |
| Готовое к использованию | нет |
| Концентрация | 0.5 мг/мл |
| Конъюгат | По запросу: HRP, biotin, PerCP, PE, Cy3, FITC, Cy7, Cy5.5, PE-Cy5, PE-Cy7, PerCp-Cy5.5, APC, Cy5, PE-Cy3, PE-Cy5.5, APC-Cy7, Biotin-APC, FITC-Biotin, TRITC, APC-Cy5, AF488, AF594, AF405, AF555, AF700, AF647, AF750 |
| Валидировано для | IHC WB Иммуногистохимия; Вестерн-блоттинг |
| Рекомендуемые разведения | WB: 0.01-3 мкг/мл; IHC: 5-30 мкг/мл; Оптимальное разведение определяется конечным потребителем |
| Метод очистки | Антигенспецифическая аффинная хроматография с последующей аффинной хроматографией с белком А |
| Состав буфера | 0.01M PBS, pH7.4, 0.05% Proclin-300, 50% глицерин |
| Условия доставки | термобокс с аккумуляторами холода |
| Условия хранения | Сразу после получения аликвотировать и хранить при -20ºС до 24 месяцев. Для частого использования хранить при +4ºС не более 2 недель. Избегать повторения циклов замерзания/оттаивания |
| Срок хранения | 24 месяца |
| Производитель | Cloud-Clone Corp. |
| Ссылка на страницу товара на сайте производителя | http://www.cloud-clone.com/products/PAD020Hu01.html |
|
Артикул
|
Наименование |
Производитель
|
|---|
|
Артикул
|
Наименование |
Производитель
|
|---|
|
Артикул
|
Наименование |
Производитель
|
|---|
|
Артикул
|
Наименование |
Производитель
|
|---|
|
Артикул
|
Наименование |
Производитель
|
|---|
|
Артикул
|
Наименование |
Производитель
|
|---|
Акции и предложения
Популярные продукты:
ELISA Kit for Methylmalonyl Coenzyme A Mutase (MUT) (SED691Hu)
Организм: человек
Диапазон определения: 0.156-10 нг/мл
Чувствительность: 0.055 нг/мл
Диапазон определения: 0.156-10 нг/мл
Чувствительность: 0.055 нг/мл
Bovine Cadherin 9(CDH9) ELISA kit (E11C1551)
Организм: корова
Guinea Pig Cadherin 9(CDH9) ELISA kit (E05C1551)
Организм: морская свинка
Anti-Mouse/Rat S100A4 Antibody (Fs0363) (RMD71001)
Источник (хозяин): мышь
Реактивность подтвержденная: мышь, крыса
Валидировано для: ELISA, NEUT
Реактивность подтвержденная: мышь, крыса
Валидировано для: ELISA, NEUT
Anti-Cimaterol/CIM Monoclonal Antibody (1A461) (MGN56508)
Источник (хозяин): мышь
Реактивность подтвержденная: для всех
Валидировано для: ELISA
Реактивность подтвержденная: для всех
Валидировано для: ELISA
ELISA Kit DIY Materials for Propionyl Coenzyme A Carboxylase Beta (PCCb) (KSD693Hu01)
Организм: человек
Диапазон определения: 0.156-10 нг/мл
Чувствительность: 0.055 нг/мл
Диапазон определения: 0.156-10 нг/мл
Чувствительность: 0.055 нг/мл

