| UNIPROT | P29391 |
| Иммуноген | RPD020Mu01-Recombinant Ferritin, Light Polypeptide (FTL) |
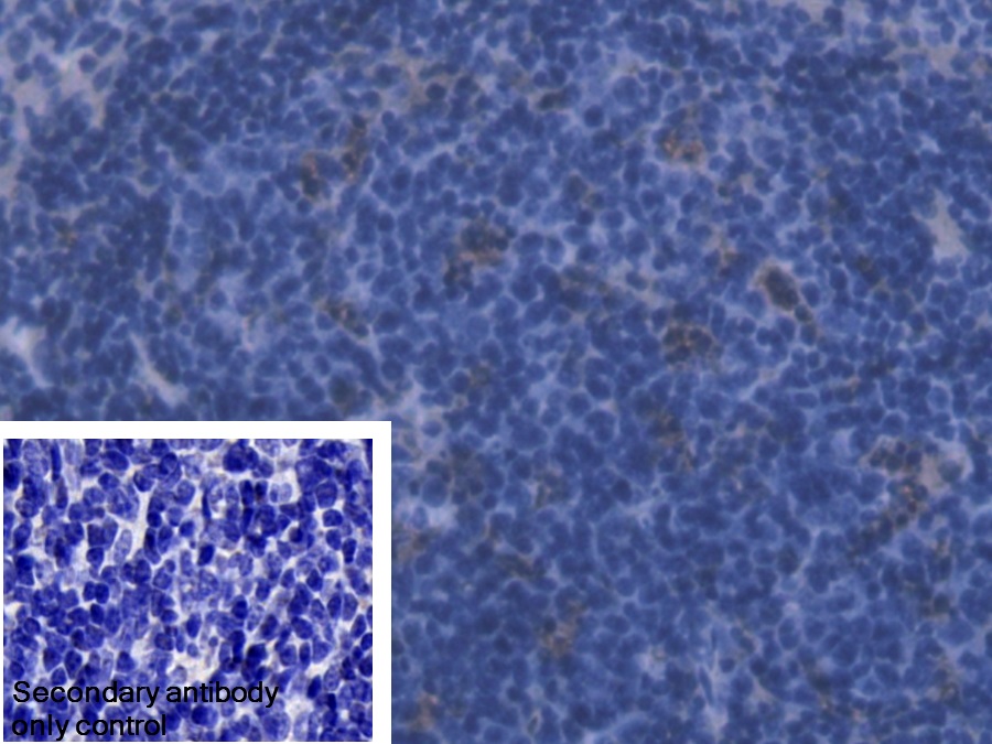
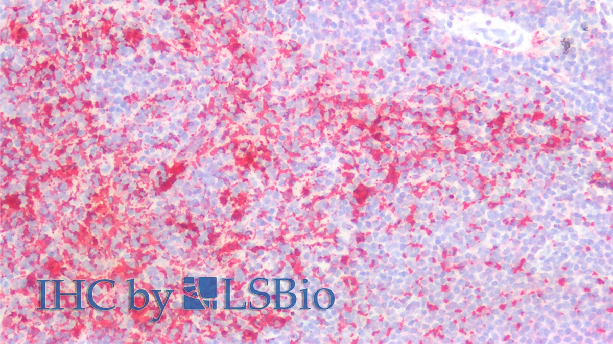
Polyclonal Antibody to Ferritin, Light Polypeptide (FTL) (PAD020Mu01)
Реактивность подтвержденная:
мышь
Источник (хозяин):
кролик
Валидировано для:
IHC
WB
Характеристики
Техническое описание
| Русское название | PAD020Mu01 Поликлональное антитело к FTL (мышь) <Cloud-Clone,Китай> |
| Каталожный номер | PAD020Mu01 |
| Название антигена | Ferritin, Light Polypeptide (FTL) |
| UNIPROT | P29391 |
| Иммуноген | RPD020Mu01-Recombinant Ferritin, Light Polypeptide (FTL) |
| Английские синонимы | Ferritin Light Chain, Ferritin Light Polypeptide-Like 3, L Apoferritin, Ferritin L Subunit |
Реактивность подтвержденная Нужна другая реактивность? |
мышь |
| Источник (хозяин) | кролик |
| Клональность | поликлональное |
| Рекомбинантное | нет |
| Готовое к использованию | нет |
| Концентрация | 0.5 мг/мл |
| Конъюгат | По запросу: HRP, biotin, PerCP, PE, Cy3, FITC, Cy7, Cy5.5, PE-Cy5, PE-Cy7, PerCp-Cy5.5, APC, Cy5, PE-Cy3, PE-Cy5.5, APC-Cy7, Biotin-APC, FITC-Biotin, TRITC, APC-Cy5, AF488, AF594, AF405, AF555, AF700, AF647, AF750 |
| Валидировано для | IHC WB Иммуногистохимия; Вестерн-блоттинг |
| Рекомендуемые разведения | WB: 0.01-2 мкг/мл; IHC: 5-20 мкг/мл; Оптимальное разведение определяется конечным потребителем |
| Метод очистки | Антигенспецифическая аффинная хроматография с последующей аффинной хроматографией с белком А |
| Состав буфера | 0.01M PBS, pH7.4, 0.05% Proclin-300, 50% глицерин |
| Условия доставки | термобокс с аккумуляторами холода |
| Условия хранения | Сразу после получения аликвотировать и хранить при -20ºС до 24 месяцев. Для частого использования хранить при +4ºС не более 2 недель. Избегать повторения циклов замерзания/оттаивания |
| Срок хранения | 24 месяца |
| Производитель | Cloud-Clone Corp. |
| Ссылка на страницу товара на сайте производителя | http://www.cloud-clone.com/products/PAD020Mu01.html |
|
Артикул
|
Наименование |
Производитель
|
|---|
|
Артикул
|
Наименование |
Производитель
|
|---|
|
Артикул
|
Наименование |
Производитель
|
|---|
|
Артикул
|
Наименование |
Производитель
|
|---|
|
Артикул
|
Наименование |
Производитель
|
|---|
|
Артикул
|
Наименование |
Производитель
|
|---|
Акции и предложения
Популярные продукты:
Anti-Human TMEM106B Antibody (SAb2347) (RHN07702)
Источник (хозяин): мышь
Реактивность подтвержденная: человек
Валидировано для: ELISA
Реактивность подтвержденная: человек
Валидировано для: ELISA
Anti-Keratin 2 (CK2) Monoclonal Antibody (FAA491Hu06)
Источник (хозяин): мышь
Реактивность подтвержденная: человек
Валидировано для: FCM
Реактивность подтвержденная: человек
Валидировано для: FCM
Monoclonal Antibody to Cytokeratin 15 (CK15) (MAA517Hu22)
Источник (хозяин): мышь
Реактивность подтвержденная: человек
Валидировано для: WB
Реактивность подтвержденная: человек
Валидировано для: WB
Polyclonal Antibody to Mitochondrial Ribosomal Protein S4 (MRPS4) (PAP248Hu01)
Источник (хозяин): кролик
Реактивность подтвержденная: человек
Валидировано для: WB
Реактивность подтвержденная: человек
Валидировано для: WB
ELISA Kit for Neuritin 1 (NRN1) (SEH519Hu)
Организм: человек
Диапазон определения: 0.312-20 нг/мл
Чувствительность: 0.77 нг/мл
Диапазон определения: 0.312-20 нг/мл
Чувствительность: 0.77 нг/мл
Porcine Glycosylated Ferritin ELISA kit (E07G0017)
Организм: свинья

