| UNIPROT | Q9D5H4 |
| Иммуноген | RPD251Mu01-Recombinant Ferritin, Mitochondrial (FTMT) |
Polyclonal Antibody to Ferritin, Mitochondrial (FTMT) (PAD251Mu01)
Реактивность подтвержденная:
мышь
Источник (хозяин):
кролик
Валидировано для:
IHC
WB
Характеристики
Публикации
Техническое описание
| Русское название | PAD251Mu01 Поликлональное антитело к FTMT (мышь) <Cloud-Clone,Китай> |
| Каталожный номер | PAD251Mu01 |
| Название антигена | Ferritin, Mitochondrial (FTMT) |
| UNIPROT | Q9D5H4 |
| Иммуноген | RPD251Mu01-Recombinant Ferritin, Mitochondrial (FTMT) |
| Английские синонимы | MtF |
Реактивность подтвержденная Нужна другая реактивность? |
мышь |
| Реактивность предсказываемая | человек, крыса |
| Источник (хозяин) | кролик |
| Клональность | поликлональное |
| Рекомбинантное | нет |
| Готовое к использованию | нет |
| Концентрация | 0.5 мг/мл |
| Конъюгат | По запросу: HRP, biotin, PerCP, PE, Cy3, FITC, Cy7, Cy5.5, PE-Cy5, PE-Cy7, PerCp-Cy5.5, APC, Cy5, PE-Cy3, PE-Cy5.5, APC-Cy7, Biotin-APC, FITC-Biotin, TRITC, APC-Cy5, AF488, AF594, AF405, AF555, AF700, AF647, AF750 |
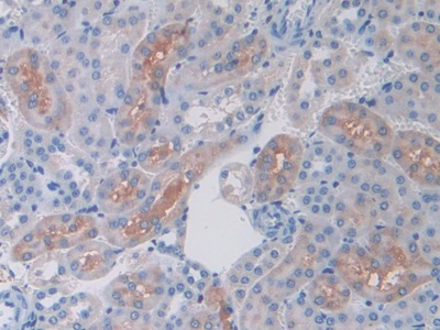
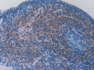
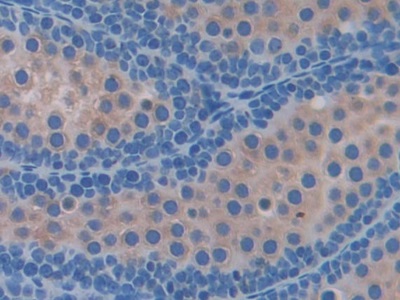
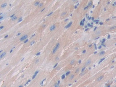
| Валидировано для | IHC WB Иммуногистохимия; Вестерн-блоттинг |
| Рекомендуемые разведения | WB: 0.01-3 мкг/мл; IHC: 5-30 мкг/мл; ICC: 5-30 мкг/мл; Оптимальное разведение определяется конечным потребителем |
| Метод очистки | Антигенспецифическая аффинная хроматография с последующей аффинной хроматографией с белком А |
| Состав буфера | PBS, pH7.4, 0.02% NaN3, 50% глицерин |
| Условия доставки | термобокс с аккумуляторами холода |
| Условия хранения | Сразу после получения аликвотировать и хранить при -20ºС до 24 месяцев. Для частого использования хранить при +4ºС не более 2 недель. Избегать повторения циклов замерзания/оттаивания |
| Срок хранения | 24 месяца |
| Производитель | Cloud-Clone Corp. |
| Ссылка на страницу товара на сайте производителя | http://www.cloud-clone.com/products/PAD251Mu01.html |
|
Артикул
|
Наименование |
Производитель
|
|---|
|
Артикул
|
Наименование |
Производитель
|
|---|
|
Артикул
|
Наименование |
Производитель
|
|---|
Акции и предложения
Популярные продукты:
TAF15 Antibody (DF2424)
Источник (хозяин): кролик
Реактивность подтвержденная: человек, мышь
Валидировано для: WB
Реактивность подтвержденная: человек, мышь
Валидировано для: WB
ELISA Kit DIY Materials for Xanthine Dehydrogenase (XDH) (KSC608Mu01)
Организм: мышь
Диапазон определения: 31.2-2000 пг/мл
Чувствительность: 12.1 пг/мл
Диапазон определения: 31.2-2000 пг/мл
Чувствительность: 12.1 пг/мл
Monoclonal Antibody to BH3 Interacting Domain Death Agonist (Bid) (MAA629Hu26)
Источник (хозяин): мышь
Реактивность подтвержденная: человек
Валидировано для: WB
Реактивность подтвержденная: человек
Валидировано для: WB
Monoclonal Antibody to BH3 Interacting Domain Death Agonist (Bid) (MAA629Hu23)
Источник (хозяин): мышь
Реактивность подтвержденная: человек
Валидировано для: WB
Реактивность подтвержденная: человек
Валидировано для: WB
Guinea Pig Phosphatidylinositol Trisphosphate ELISA kit (E05P1057)
Организм: морская свинка

