| UNIPROT | P22509 |
| Иммуноген | RPC490Ra01-Recombinant Fibrillarin (FBL) |
Polyclonal Antibody to Fibrillarin (FBL) (PAC490Ra01)
Реактивность подтвержденная:
крыса
Источник (хозяин):
кролик
Валидировано для:
IHC
WB
Характеристики
Техническое описание
| Русское название | PAC490Ra01 Поликлональное антитело к FBL (крыса) <Cloud-Clone,Китай> |
| Каталожный номер | PAC490Ra01 |
| Название антигена | Fibrillarin (FBL) |
| UNIPROT | P22509 |
| Иммуноген | RPC490Ra01-Recombinant Fibrillarin (FBL) |
| Английские синонимы | FIB, FLRN, RNU3IP1, rRNA 2 |
Реактивность подтвержденная Нужна другая реактивность? |
крыса |
| Реактивность предсказываемая | человек |
| Источник (хозяин) | кролик |
| Клональность | поликлональное |
| Рекомбинантное | нет |
| Готовое к использованию | нет |
| Концентрация | 0.5 мг/мл |
| Конъюгат | По запросу: HRP, biotin, PerCP, PE, Cy3, FITC, Cy7, Cy5.5, PE-Cy5, PE-Cy7, PerCp-Cy5.5, APC, Cy5, PE-Cy3, PE-Cy5.5, APC-Cy7, Biotin-APC, FITC-Biotin, TRITC, APC-Cy5, AF488, AF594, AF405, AF555, AF700, AF647, AF750 |
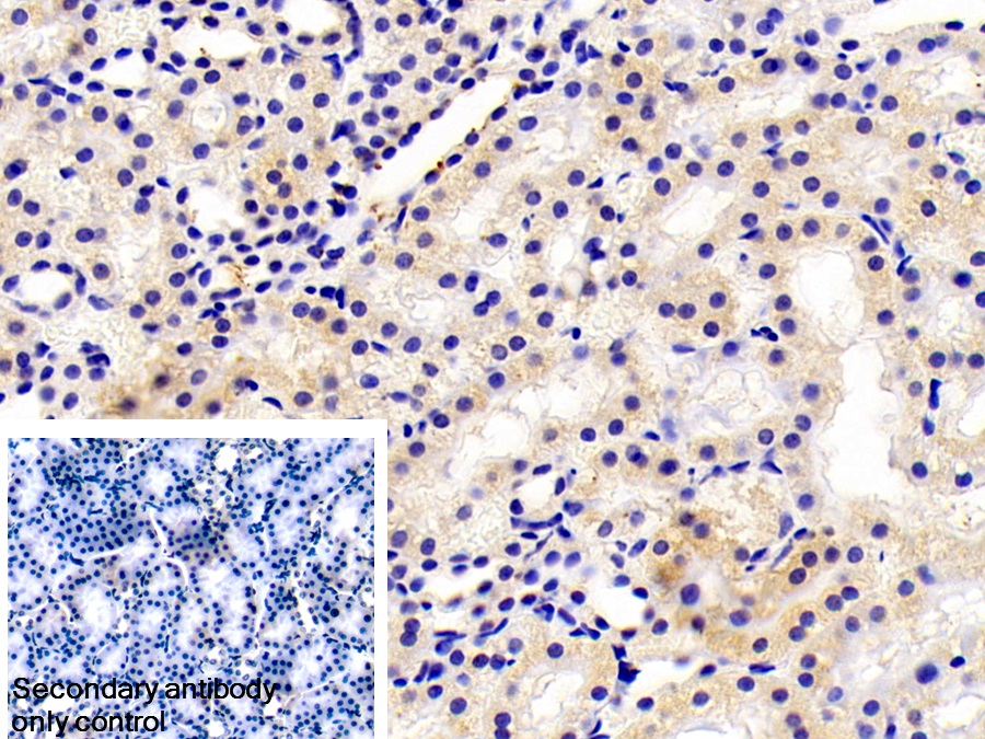
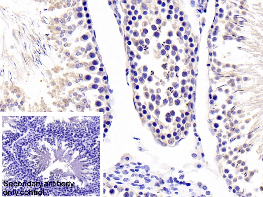
| Валидировано для | IHC WB Иммуногистохимия; Вестерн-блоттинг |
| Рекомендуемые разведения | WB: 0.5-3 мкг/мл; IHC: 5-30 мкг/мл; ICC: 5-30 мкг/мл; Оптимальное разведение определяется конечным потребителем |
| Метод очистки | Антигенспецифическая аффинная хроматография с последующей аффинной хроматографией с белком А |
| Состав буфера | 0.01M PBS, pH7.4, 0.05% Proclin-300, 50% глицерин |
| Условия доставки | термобокс с аккумуляторами холода |
| Условия хранения | Сразу после получения аликвотировать и хранить при -20ºС до 24 месяцев. Для частого использования хранить при +4ºС не более 2 недель. Избегать повторения циклов замерзания/оттаивания |
| Срок хранения | 24 месяца |
| Производитель | Cloud-Clone Corp. |
| Ссылка на страницу товара на сайте производителя | http://www.cloud-clone.com/products/PAC490Ra01.html |
|
Артикул
|
Наименование |
Производитель
|
|---|
|
Артикул
|
Наименование |
Производитель
|
|---|
Акции и предложения
Популярные продукты:
ELISA Kit DIY Materials for Family With Sequence Similarity 3, Member C (FAM3C) (KSL506Hu01)
Организм: человек
Диапазон определения: 0.156-10 нг/мл
Чувствительность: 0.058 нг/мл
Диапазон определения: 0.156-10 нг/мл
Чувствительность: 0.058 нг/мл
Monkey Leukotriene A4 Hydrolase (LTA4H) ELISA kit (E09L0040)
Организм: обезьяна
Goat Protein Kinase N1 ELISA kit (E06P0118)
Организм: коза
Anti-LIPE Polyclonal Antibody (PHG04801)
Источник (хозяин): кролик
Реактивность подтвержденная: человек, мышь
Валидировано для: ELISA, IHC, WB
Реактивность подтвержденная: человек, мышь
Валидировано для: ELISA, IHC, WB
Anti-Human CD31/PECAM1 Antibody (SAA2178) (RHD16402)
Источник (хозяин): мышь
Реактивность подтвержденная: человек
Валидировано для: ELISA, WB
Реактивность подтвержденная: человек
Валидировано для: ELISA, WB
ADRB3 Polyclonal Antibody (E-AB-62615)
Источник (хозяин): кролик
Реактивность подтвержденная: человек, мышь, крыса
Валидировано для: WB
Реактивность подтвержденная: человек, мышь, крыса
Валидировано для: WB

