| UNIPROT | Q75N90 |
| Иммуноген | RPA381Hu01-Recombinant Fibrillin 3 (FBN3) |
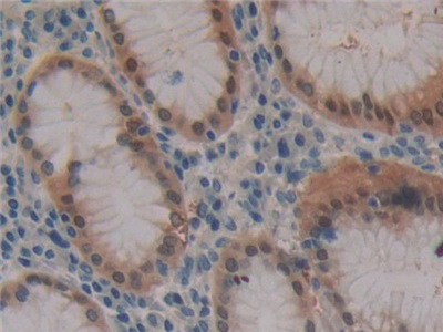
Polyclonal Antibody to Fibrillin 3 (FBN3) (PAA381Hu01)
Реактивность подтвержденная:
человек
Источник (хозяин):
кролик
Валидировано для:
IHC
Характеристики
Техническое описание
| Русское название | PAA381Hu01 Поликлональное антитело к FBN3 (человек) <Cloud-Clone,Китай> |
| Каталожный номер | PAA381Hu01 |
| Название антигена | Fibrillin 3 (FBN3) |
| UNIPROT | Q75N90 |
| Иммуноген | RPA381Hu01-Recombinant Fibrillin 3 (FBN3) |
Реактивность подтвержденная Нужна другая реактивность? |
человек |
| Источник (хозяин) | кролик |
| Клональность | поликлональное |
| Рекомбинантное | нет |
| Готовое к использованию | нет |
| Концентрация | 0.5 мг/мл |
| Конъюгат | По запросу: HRP, biotin, PerCP, PE, Cy3, FITC, Cy7, Cy5.5, PE-Cy5, PE-Cy7, PerCp-Cy5.5, APC, Cy5, PE-Cy3, PE-Cy5.5, APC-Cy7, Biotin-APC, FITC-Biotin, TRITC, APC-Cy5, AF488, AF594, AF405, AF555, AF700, AF647, AF750 |
| Валидировано для | IHC Иммуногистохимия |
| Рекомендуемые разведения | WB: 0.2-2 мкг/мл; 1:250-2500; IHC: 5-20 мкг/мл; 1:25-100; ICC: 5-20 мкг/мл; 1:25-100; Оптимальное разведение определяется конечным потребителем |
| Метод очистки | Антигенспецифическая аффинная хроматография с последующей аффинной хроматографией с белком А |
| Состав буфера | 0.01M PBS, pH7.4, 0.05% Proclin-300, 50% глицерин |
| Условия доставки | термобокс с аккумуляторами холода |
| Условия хранения | Сразу после получения аликвотировать и хранить при -20ºС до 24 месяцев. Для частого использования хранить при +4ºС не более 2 недель. Избегать повторения циклов замерзания/оттаивания |
| Срок хранения | 24 месяца |
| Производитель | Cloud-Clone Corp. |
| Ссылка на страницу товара на сайте производителя | http://www.cloud-clone.com/products/PAA381Hu01.html |
|
Артикул
|
Наименование |
Производитель
|
|---|
Акции и предложения
Популярные продукты:
Polyclonal Antibody to Serglycin (SRGN) (PAC869Hu08)
Источник (хозяин): кролик
Реактивность подтвержденная: человек
Валидировано для: ICC, IF
Реактивность подтвержденная: человек
Валидировано для: ICC, IF
Monoclonal Antibody to Ly1 Antibody Reactive Homolog (LYAR) (MAR532Hu21)
Источник (хозяин): мышь
Реактивность подтвержденная: человек
Валидировано для: WB
Реактивность подтвержденная: человек
Валидировано для: WB
Monkey ATP dependent RNA helicase DHX8(DHX8) ELISA kit (E09A1842)
Организм: обезьяна
Canine COUP transcription factor 1(NR2F1) ELISA kit (E08C2364)
Организм: собака
Canine Apelin receptor(APLNR) ELISA kit (E08A1593)
Организм: собака

