| UNIPROT | P02671 |
| Иммуноген | RPB154Hu01-Recombinant Fibrinogen Alpha Chain (FGA) |
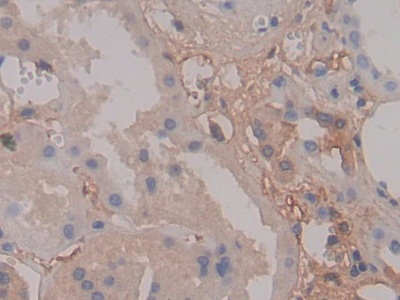
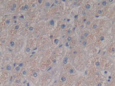
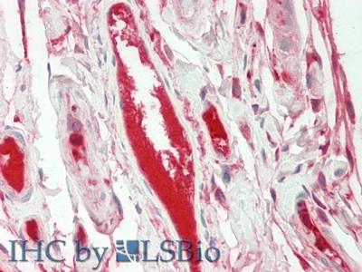
Polyclonal Antibody to Fibrinogen Alpha Chain (FGA) (PAB154Hu01)
Реактивность подтвержденная:
человек
Источник (хозяин):
кролик
Валидировано для:
IHC
WB
Характеристики
Публикации
Техническое описание
| Русское название | PAB154Hu01 Поликлональное антитело к FGA (человек) <Cloud-Clone,Китай> |
| Каталожный номер | PAB154Hu01 |
| Название антигена | Fibrinogen Alpha (FGa) |
| UNIPROT | P02671 |
| Иммуноген | RPB154Hu01-Recombinant Fibrinogen Alpha Chain (FGA) |
| Английские синонимы | Fib2, FG-A, Fibrinopeptide A |
Реактивность подтвержденная Нужна другая реактивность? |
человек |
| Источник (хозяин) | кролик |
| Клональность | поликлональное |
| Рекомбинантное | нет |
| Готовое к использованию | нет |
| Концентрация | 500 мкг/мл |
| Конъюгат | По запросу: HRP, biotin, PerCP, PE, Cy3, FITC, Cy7, Cy5.5, PE-Cy5, PE-Cy7, PerCp-Cy5.5, APC, Cy5, PE-Cy3, PE-Cy5.5, APC-Cy7, Biotin-APC, FITC-Biotin, TRITC, APC-Cy5, AF488, AF594, AF405, AF555, AF700, AF647, AF750 |
| Валидировано для | IHC WB Иммуногистохимия; Вестерн-блоттинг |
| Рекомендуемые разведения | WB: 0.5-2 мкг/мл; IHC: 5-20 мкг/мл; ICC: 5-20 мкг/мл; Оптимальное разведение определяется конечным потребителем |
| Метод очистки | Антигенспецифическая аффинная хроматография с последующей аффинной хроматографией с белком А |
| Состав буфера | 0.01M PBS, pH7.4, 0.05% Proclin-300, 50% глицерин |
| Условия доставки | термобокс с аккумуляторами холода |
| Условия хранения | Сразу после получения аликвотировать и хранить при -20ºС до 24 месяцев. Для частого использования хранить при +4ºС не более 2 недель. Избегать повторения циклов замерзания/оттаивания |
| Срок хранения | 24 месяца |
| Производитель | Cloud-Clone Corp. |
| Ссылка на страницу товара на сайте производителя | http://www.cloud-clone.com/products/PAB154Hu01.html |
|
Артикул
|
Наименование |
Производитель
|
|---|
|
Артикул
|
Наименование |
Производитель
|
|---|
|
Артикул
|
Наименование |
Производитель
|
|---|
|
Артикул
|
Наименование |
Производитель
|
|---|
|
Артикул
|
Наименование |
Производитель
|
|---|
|
Артикул
|
Наименование |
Производитель
|
|---|
Акции и предложения
Популярные продукты:
Multiplex Assay Kit for Ninjurin 1 (NINJ1) (LMH541Hu)
Организм: человек
Диапазон определения: 0.02-20 нг/мл
Чувствительность: 0.007 нг/мл
Диапазон определения: 0.02-20 нг/мл
Чувствительность: 0.007 нг/мл
ELISA Kit DIY Materials for Small Breast Epithelial Mucin (SBEM) (KSB840Hu01)
Организм: человек
Диапазон определения: 0.312-20 нг/мл
Чувствительность: 0.127 нг/мл
Диапазон определения: 0.312-20 нг/мл
Чувствительность: 0.127 нг/мл
ELISA Kit DIY Materials for Retinoic Acid Receptor Alpha (RARa) (KSA976Hu01)
Организм: человек
Диапазон определения: 0.156-10 нг/мл
Чувствительность: 0.064 нг/мл
Диапазон определения: 0.156-10 нг/мл
Чувствительность: 0.064 нг/мл
ELISA Kit DIY Materials for Delta-Sleep Inducing Peptide (dSIP) (KSA708Hu11)
Организм: человек
Диапазон определения: 18.52-1500 пг/мл
Чувствительность: 6.33 пг/мл
Диапазон определения: 18.52-1500 пг/мл
Чувствительность: 6.33 пг/мл
ELISA Kit for Glycoprotein 2, Zymogen Granule Membrane (GP2) (SEE569Hu)
Организм: человек
Диапазон определения: 0.156-10 нг/мл
Чувствительность: 5.7 пг/мл
Диапазон определения: 0.156-10 нг/мл
Чувствительность: 5.7 пг/мл

