| Иммуноген | NPA193Hu01-Native Fibrinogen (FG) |
Polyclonal Antibody to Fibrinogen (FG) (PAA193Hu05)
Реактивность подтвержденная:
человек
Источник (хозяин):
кролик
Валидировано для:
IHC
Характеристики
Техническое описание
| Русское название | PAA193Hu05 Поликлональное антитело к фибриногену (человек) <Cloud-Clone,Китай> |
| Каталожный номер | PAA193Hu05 |
| Название антигена | Fibrinogen (FG) |
| Иммуноген | NPA193Hu01-Native Fibrinogen (FG) |
| Английские синонимы | F1, FI, Fbg, Coagulation Factor I |
Реактивность подтвержденная Нужна другая реактивность? |
человек |
| Источник (хозяин) | кролик |
| Клональность | поликлональное |
| Рекомбинантное | нет |
| Готовое к использованию | нет |
| Концентрация | 0.5 мг/мл |
| Конъюгат | По запросу: HRP, biotin, PerCP, PE, Cy3, FITC, Cy7, Cy5.5, PE-Cy5, PE-Cy7, PerCp-Cy5.5, APC, Cy5, PE-Cy3, PE-Cy5.5, APC-Cy7, Biotin-APC, FITC-Biotin, TRITC, APC-Cy5, AF488, AF594, AF405, AF555, AF700, AF647, AF750 |
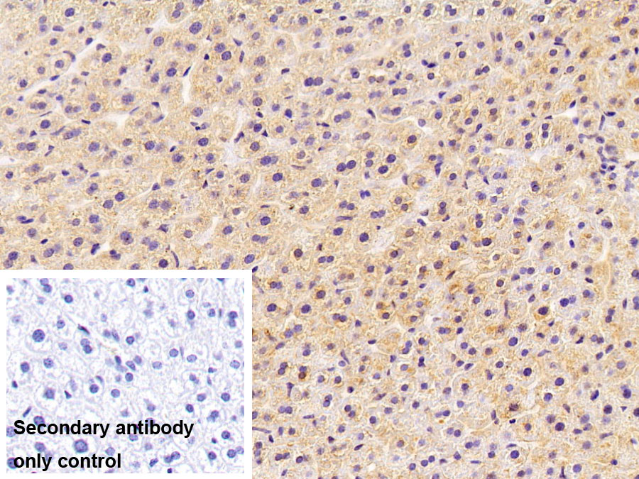
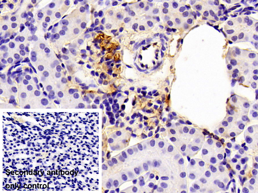
| Валидировано для | IHC Иммуногистохимия |
| Рекомендуемые разведения | WB: 0.5-2 мкг/мл; IHC: 5-20 мкг/мл; ICC: 5-20 мкг/мл Оптимальное разведение определяется конечным потребителем |
| Метод очистки | Антигенспецифическая аффинная хроматография с последующей аффинной хроматографией с белком А |
| Состав буфера | 0.01M PBS, pH7.4, 0.05% Proclin-300, 50% глицерин |
| Условия доставки | термобокс с аккумуляторами холода |
| Условия хранения | Сразу после получения аликвотировать и хранить при -20ºС до 24 месяцев. Для частого использования хранить при +4ºС не более 2 недель. Избегать повторения циклов замерзания/оттаивания |
| Срок хранения | 24 месяца |
| Производитель | Cloud-Clone Corp. |
| Ссылка на страницу товара на сайте производителя | http://www.cloud-clone.com/products/PAA193Hu05.html |
|
Артикул
|
Наименование |
Производитель
|
|---|
|
Артикул
|
Наименование |
Производитель
|
|---|
|
Артикул
|
Наименование |
Производитель
|
|---|
|
Артикул
|
Наименование |
Производитель
|
|---|
Акции и предложения
Популярные продукты:
ELISA Kit DIY Materials for B-Cell CLL/Lymphoma 2 Like Protein (Bcl2L) (KSE582Mu01)
Организм: мышь
Диапазон определения: 7.81-500 пг/мл
Чувствительность: 3.1 пг/мл
Диапазон определения: 7.81-500 пг/мл
Чувствительность: 3.1 пг/мл
Human Cerebellin 1 ELISA kit (E01C0910)
Организм: человек
Диапазон определения: 0.5-10 нг/мл
Чувствительность: 0.1 нг/мл
Диапазон определения: 0.5-10 нг/мл
Чувствительность: 0.1 нг/мл
Rabbit Cerebellin 3(CBLN3) ELISA kit (E04C1409)
Организм: кролик
Canine Cullin 9(CUL9) ELISA kit (E08C2188)
Организм: собака
Human Claudin 11(CLDN11) ELISA kit (E01C0975)
Организм: человек
Диапазон определения: 1-25 нг/мл
Чувствительность: 0.1 нг/мл
Диапазон определения: 1-25 нг/мл
Чувствительность: 0.1 нг/мл
Sheep Surfactant Protein J ELISA kit (E14S0096)
Организм: овца

