| UNIPROT | Q5M8C6 |
| Иммуноген | RPD022Ra01-Recombinant Fibrinogen Like Protein 1 (FGL1) |
Polyclonal Antibody to Fibrinogen Like Protein 1 (FGL1) (PAD022Ra01)
Реактивность подтвержденная:
крыса
Источник (хозяин):
кролик
Валидировано для:
IHC
Характеристики
Техническое описание
| Русское название | PAD022Ra01 Поликлональное антитело к FGL1 (крыса) <Cloud-Clone,Китай> |
| Каталожный номер | PAD022Ra01 |
| Название антигена | Fibrinogen Like Protein 1 (FGL1) |
| UNIPROT | Q5M8C6 |
| Иммуноген | RPD022Ra01-Recombinant Fibrinogen Like Protein 1 (FGL1) |
| Английские синонимы | FGL-1, HFREP1, HP-041, LFIRE1, Hepassocin, Hepatocyte-derived fibrinogen-related protein 1, Liver fibrinogen-related protein 1 |
Реактивность подтвержденная Нужна другая реактивность? |
крыса |
| Реактивность предсказываемая | человек, мышь |
| Источник (хозяин) | кролик |
| Клональность | поликлональное |
| Рекомбинантное | нет |
| Готовое к использованию | нет |
| Концентрация | 500 мкг/мл |
| Конъюгат | По запросу: HRP, biotin, PerCP, PE, Cy3, FITC, Cy7, Cy5.5, PE-Cy5, PE-Cy7, PerCp-Cy5.5, APC, Cy5, PE-Cy3, PE-Cy5.5, APC-Cy7, Biotin-APC, FITC-Biotin, TRITC, APC-Cy5, AF488, AF594, AF405, AF555, AF700, AF647, AF750 |
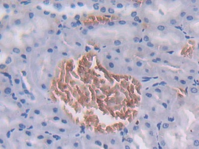
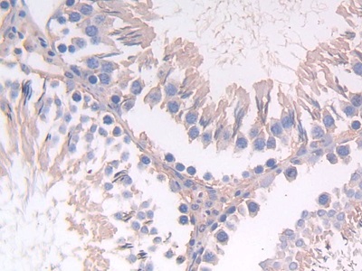
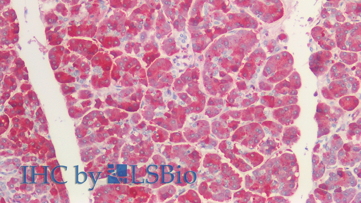
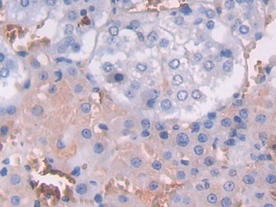
| Валидировано для | IHC Иммуногистохимия |
| Рекомендуемые разведения | WB: 0.5-3 мкг/мл; IHC: 5-30 мкг/мл; ICC: 5-30 мкг/мл; Оптимальное разведение определяется конечным потребителем |
| Метод очистки | Антигенспецифическая аффинная хроматография с последующей аффинной хроматографией с белком А |
| Состав буфера | PBS, pH7.4, 0.02% NaN3, 50% глицерин |
| Условия доставки | термобокс с аккумуляторами холода |
| Условия хранения | Сразу после получения аликвотировать и хранить при -20ºС до 24 месяцев. Для частого использования хранить при +4ºС не более 2 недель. Избегать повторения циклов замерзания/оттаивания |
| Срок хранения | 24 месяца |
| Производитель | Cloud-Clone Corp. |
| Ссылка на страницу товара на сайте производителя | http://www.cloud-clone.com/products/PAD022Ra01.html |
|
Артикул
|
Наименование |
Производитель
|
|---|
|
Артикул
|
Наименование |
Производитель
|
|---|
|
Артикул
|
Наименование |
Производитель
|
|---|
|
Артикул
|
Наименование |
Производитель
|
|---|
Акции и предложения
Популярные продукты:
Monoclonal Antibody to Angiopoietin 2 (ANGPT2) (MAA009Rb26)
Источник (хозяин): мышь
Реактивность подтвержденная: кролик
Валидировано для: WB
Реактивность подтвержденная: кролик
Валидировано для: WB
Rabbit Sprouty related EVH1 domain containing 1 ELISA kit (E04S0460)
Организм: кролик
Canine Keyhole limpet hemocyanin ELISA kit (E08K0068)
Организм: собака
Monkey Calcium homeostasis modulator protein 1(CALHM1) ELISA kit (E09C1320)
Организм: обезьяна
Porcine Cyclin D1 binding protein 1(CCNDBP1) ELISA kit (E07C1447)
Организм: свинья
Rat Zinc finger protein GLI1(GLI1) ELISA kit (E02Z0009)
Организм: крыса

