| UNIPROT | Q14314 |
| Иммуноген | RPA512Hu01-Recombinant Fibrinogen Like Protein 2 (FGL2) |
Polyclonal Antibody to Fibrinogen Like Protein 2 (FGL2) (PAA512Hu01)
Реактивность подтвержденная:
человек
Источник (хозяин):
кролик
Валидировано для:
IHC
WB
Характеристики
Техническое описание
| Русское название | PAA512Hu01 Поликлональное антитело к FGL2 (человек) <Cloud-Clone,Китай> |
| Каталожный номер | PAA512Hu01 |
| Название антигена | Fibrinogen Like Protein 2 (FGL2) |
| UNIPROT | Q14314 |
| Иммуноген | RPA512Hu01-Recombinant Fibrinogen Like Protein 2 (FGL2) |
| Английские синонимы | T49, PT49, Fibroleukin |
Реактивность подтвержденная Нужна другая реактивность? |
человек |
| Реактивность предсказываемая | мышь, свинья |
| Источник (хозяин) | кролик |
| Клональность | поликлональное |
| Рекомбинантное | нет |
| Готовое к использованию | нет |
| Концентрация | 0.5 мг/мл |
| Конъюгат | По запросу: HRP, biotin, PerCP, PE, Cy3, FITC, Cy7, Cy5.5, PE-Cy5, PE-Cy7, PerCp-Cy5.5, APC, Cy5, PE-Cy3, PE-Cy5.5, APC-Cy7, Biotin-APC, FITC-Biotin, TRITC, APC-Cy5, AF488, AF594, AF405, AF555, AF700, AF647, AF750 |
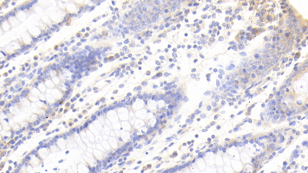
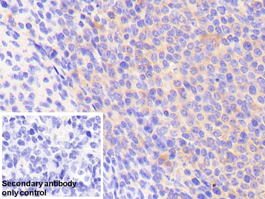
| Валидировано для | IHC WB Иммуногистохимия; Вестерн-блоттинг |
| Рекомендуемые разведения | WB: 0.2-2 мкг/мл; 1:250-2500; IHC: 5-20 мкг/мл; 1:25-100; ICC: 5-20 мкг/мл; 1:25-100; Оптимальное разведение определяется конечным потребителем |
| Метод очистки | Антигенспецифическая аффинная хроматография с последующей аффинной хроматографией с белком А |
| Состав буфера | 0.01M PBS, pH7.4, 0.05% Proclin-300, 50% глицерин |
| Условия доставки | термобокс с аккумуляторами холода |
| Условия хранения | Сразу после получения аликвотировать и хранить при -20ºС до 24 месяцев. Для частого использования хранить при +4ºС не более 2 недель. Избегать повторения циклов замерзания/оттаивания |
| Срок хранения | 24 месяца |
| Производитель | Cloud-Clone Corp. |
| Ссылка на страницу товара на сайте производителя | http://www.cloud-clone.com/products/PAA512Hu01.html |
|
Артикул
|
Наименование |
Производитель
|
|---|
|
Артикул
|
Наименование |
Производитель
|
|---|
|
Артикул
|
Наименование |
Производитель
|
|---|
|
Артикул
|
Наименование |
Производитель
|
|---|
|
Артикул
|
Наименование |
Производитель
|
|---|
Акции и предложения
Популярные продукты:
Sheep Delta Like Protein 4 ELISA kit (E14D0545)
Организм: овца
Диапазон определения: 1-25 нг/мл
Диапазон определения: 1-25 нг/мл
Recombinant Human CART/CARTPT Protein (PKSH030681)
Источник (хозяин): HEK293
Организм: человек
Фрагмент: Met 1-Leu116
Теги: без тега
Биоактивность: нет
Организм: человек
Фрагмент: Met 1-Leu116
Теги: без тега
Биоактивность: нет
Recombinant Human CD160/BY55 Protein (aa 27-159, His Tag) (PKSH032204)
Источник (хозяин): HEK293
Организм: человек
Фрагмент: Ile27-Ser159
Теги: C-His
Биоактивность: нет
Организм: человек
Фрагмент: Ile27-Ser159
Теги: C-His
Биоактивность: нет
Anti-Human NDUFB8 Polyclonal Antibody (PHB55301)
Источник (хозяин): кролик
Реактивность подтвержденная: человек
Валидировано для: ELISA, IHC, WB
Реактивность подтвержденная: человек
Валидировано для: ELISA, IHC, WB
Anti-Mouse DLL4 Antibody (SAA0141) (RMJ65301)
Источник (хозяин): мышь
Реактивность подтвержденная: мышь
Валидировано для: ELISA
Реактивность подтвержденная: мышь
Валидировано для: ELISA
MSH2 Monoclonal Antibody (PA6750)
Источник (хозяин): мышь
Реактивность подтвержденная: человек
Валидировано для: IHC
Реактивность подтвержденная: человек
Валидировано для: IHC

