| UNIPROT | Q12884 |
| Иммуноген | RPC469Hu01-Recombinant Fibroblast Activation Protein Alpha (FAPa) |
Polyclonal Antibody to Fibroblast Activation Protein Alpha (FAPa) (PAC469Hu01)
Реактивность подтвержденная:
человек
Источник (хозяин):
кролик
Валидировано для:
IHC
Характеристики
Техническое описание
| Русское название | PAC469Hu01 Поликлональное антитело к FAPa (человек) <Cloud-Clone,Китай> |
| Каталожный номер | PAC469Hu01 |
| Название антигена | Fibroblast Activation Protein Alpha (FAPa) |
| UNIPROT | Q12884 |
| Иммуноген | RPC469Hu01-Recombinant Fibroblast Activation Protein Alpha (FAPa) |
| Английские синонимы | APCE, SIMP, DPPIV, Seprase, 170 kDa melanoma membrane-bound gelatinase, Post-proline cleaving enzyme, Serine integral membrane protease, Surface-expressed protease |
Реактивность подтвержденная Нужна другая реактивность? |
человек |
| Источник (хозяин) | кролик |
| Клональность | поликлональное |
| Рекомбинантное | нет |
| Готовое к использованию | нет |
| Концентрация | 0.5 мг/мл |
| Конъюгат | По запросу: HRP, biotin, PerCP, PE, Cy3, FITC, Cy7, Cy5.5, PE-Cy5, PE-Cy7, PerCp-Cy5.5, APC, Cy5, PE-Cy3, PE-Cy5.5, APC-Cy7, Biotin-APC, FITC-Biotin, TRITC, APC-Cy5, AF488, AF594, AF405, AF555, AF700, AF647, AF750 |
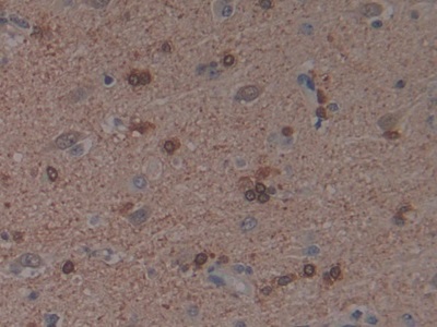
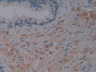
| Валидировано для | IHC Иммуногистохимия |
| Рекомендуемые разведения | WB: 0.01-2 мкг/мл; IHC: 5-20 мкг/мл; ICC: 5-20 мкг/мл; Оптимальное разведение определяется конечным потребителем |
| Метод очистки | Антигенспецифическая аффинная хроматография с последующей аффинной хроматографией с белком А |
| Состав буфера | PBS, pH7.4, 0.02% NaN3, 50% глицерин |
| Условия доставки | термобокс с аккумуляторами холода |
| Условия хранения | Сразу после получения аликвотировать и хранить при -20ºС до 24 месяцев. Для частого использования хранить при +4ºС не более 2 недель. Избегать повторения циклов замерзания/оттаивания |
| Срок хранения | 24 месяца |
| Производитель | Cloud-Clone Corp. |
| Ссылка на страницу товара на сайте производителя | http://www.cloud-clone.com/products/PAC469Hu01.html |
|
Артикул
|
Наименование |
Производитель
|
|---|
|
Артикул
|
Наименование |
Производитель
|
|---|
|
Артикул
|
Наименование |
Производитель
|
|---|
|
Артикул
|
Наименование |
Производитель
|
|---|
|
Артикул
|
Наименование |
Производитель
|
|---|
Акции и предложения
Популярные продукты:
Guinea Pig Caspase 6 ELISA kit (E05C0099)
Организм: морская свинка
Bovine Caspase 10 ELISA kit (E11C0546)
Организм: корова
PDP2 Antibody (DF2227)
Источник (хозяин): кролик
Реактивность подтвержденная: человек, мышь, крыса
Валидировано для: IHC, WB
Реактивность подтвержденная: человек, мышь, крыса
Валидировано для: IHC, WB
Anti-Mouse IL-12 p40 Antibody (Fs0379) (FMD84010)
Источник (хозяин): крыса
Реактивность подтвержденная: мышь
Валидировано для: ELISA, FCM
Реактивность подтвержденная: мышь
Валидировано для: ELISA, FCM

