| UNIPROT | P23142 |
| Иммуноген | RPC472Hu01-Recombinant Fibulin 1 (FBLN1) |
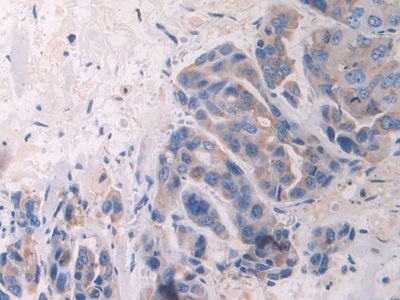
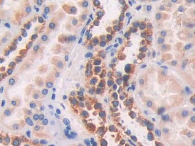
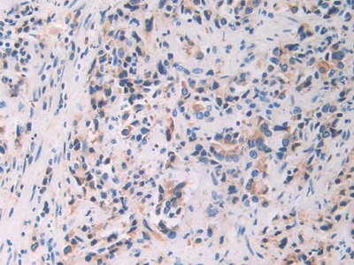
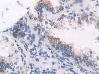
Polyclonal Antibody to Fibulin 1 (FBLN1) (PAC472Hu01)
Реактивность подтвержденная:
человек
Источник (хозяин):
кролик
Валидировано для:
WB
Характеристики
Техническое описание
| Русское название | PAC472Hu01 Поликлональное антитело к FBLN1 (человек) <Cloud-Clone,Китай> |
| Каталожный номер | PAC472Hu01 |
| Название антигена | Fibulin 1 (FBLN1) |
| UNIPROT | P23142 |
| Иммуноген | RPC472Hu01-Recombinant Fibulin 1 (FBLN1) |
Реактивность подтвержденная Нужна другая реактивность? |
человек |
| Реактивность предсказываемая | крыса |
| Источник (хозяин) | кролик |
| Клональность | поликлональное |
| Рекомбинантное | нет |
| Готовое к использованию | нет |
| Концентрация | 0.22 мг/мл |
| Конъюгат | По запросу: HRP, biotin, PerCP, PE, Cy3, FITC, Cy7, Cy5.5, PE-Cy5, PE-Cy7, PerCp-Cy5.5, APC, Cy5, PE-Cy3, PE-Cy5.5, APC-Cy7, Biotin-APC, FITC-Biotin, TRITC, APC-Cy5, AF488, AF594, AF405, AF555, AF700, AF647, AF750 |
| Валидировано для | WB Вестерн-блоттинг |
| Рекомендуемые разведения | WB: 0.5-2 мкг/мл; IHC: 5-20 мкг/мл; ICC: 5-20 мкг/мл; Оптимальное разведение определяется конечным потребителем |
| Метод очистки | Антигенспецифическая аффинная хроматография с последующей аффинной хроматографией с белком А |
| Состав буфера | 0.01M PBS, pH7.4, 0.05% Proclin-300, 50% глицерин |
| Условия доставки | термобокс с аккумуляторами холода |
| Условия хранения | Сразу после получения аликвотировать и хранить при -20ºС до 24 месяцев. Для частого использования хранить при +4ºС не более 2 недель. Избегать повторения циклов замерзания/оттаивания |
| Срок хранения | 24 месяца |
| Производитель | Cloud-Clone Corp. |
| Ссылка на страницу товара на сайте производителя | http://www.cloud-clone.com/products/PAC472Hu01.html |
|
Артикул
|
Наименование |
Производитель
|
|---|
|
Артикул
|
Наименование |
Производитель
|
|---|
|
Артикул
|
Наименование |
Производитель
|
|---|
|
Артикул
|
Наименование |
Производитель
|
|---|
|
Артикул
|
Наименование |
Производитель
|
|---|
Акции и предложения
Популярные продукты:
Anti-Nitric Oxide Synthase 2, Inducible (NOS2) Polyclonal Antibody (FAA837Hu01)
Источник (хозяин): кролик
Реактивность подтвержденная: человек
Валидировано для: FCM
Реактивность подтвержденная: человек
Валидировано для: FCM
Anti-Nitric Oxide Synthase 2, Inducible (NOS2) Monoclonal Antibody (FAA837Hu02)
Источник (хозяин): мышь
Реактивность подтвержденная: человек
Валидировано для: FCM
Реактивность подтвержденная: человек
Валидировано для: FCM
Anti-Plasminogen (Plg) Monoclonal Antibody (FAB236Hu04)
Источник (хозяин): мышь
Реактивность подтвержденная: человек
Валидировано для: FCM
Реактивность подтвержденная: человек
Валидировано для: FCM
ELISA Kit DIY Materials for Transforming Growth Factor Beta Receptor I (TGFbR1) (KSA397Hu01)
Организм: человек
Диапазон определения: 0.312-20 нг/мл
Чувствительность: 0.122 нг/мл
Диапазон определения: 0.312-20 нг/мл
Чувствительность: 0.122 нг/мл
Anti-SNAP23 Antibody (R1C64) (RHA03501)
Источник (хозяин): кролик
Реактивность подтвержденная: человек, мышь, крыса
Валидировано для: WB
Реактивность подтвержденная: человек, мышь, крыса
Валидировано для: WB

