| UNIPROT | Q9WVJ9 |
| Иммуноген | RPF421Mu01-Recombinant Fibulin 4 (FBLN4) |
Polyclonal Antibody to Fibulin 4 (FBLN4) (PAF421Mu01)
Реактивность подтвержденная:
мышь
Источник (хозяин):
кролик
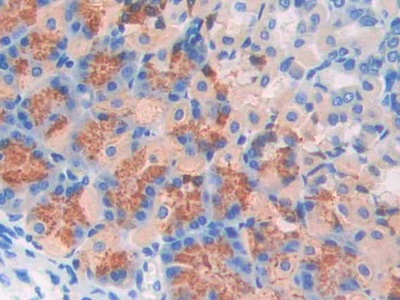
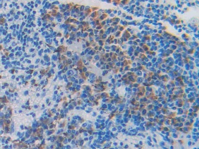
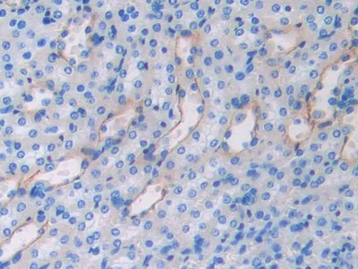
Валидировано для:
IHC
Характеристики
Техническое описание
| Русское название | PAF421Mu01 Поликлональное антитело к FBLN4 (мышь) <Cloud-Clone,Китай> |
| Каталожный номер | PAF421Mu01 |
| Название антигена | Fibulin 4 (FBLN4) |
| UNIPROT | Q9WVJ9 |
| Иммуноген | RPF421Mu01-Recombinant Fibulin 4 (FBLN4) |
| Английские синонимы | EFEMP2, MBP1, UPH1, EGF-Containing Fibulin-Like Extracellular Matrix Protein 2 |
Реактивность подтвержденная Нужна другая реактивность? |
мышь |
| Реактивность предсказываемая | человек, крыса |
| Источник (хозяин) | кролик |
| Клональность | поликлональное |
| Рекомбинантное | нет |
| Готовое к использованию | нет |
| Концентрация | 500 мкг/мл |
| Конъюгат | По запросу: HRP, biotin, PerCP, PE, Cy3, FITC, Cy7, Cy5.5, PE-Cy5, PE-Cy7, PerCp-Cy5.5, APC, Cy5, PE-Cy3, PE-Cy5.5, APC-Cy7, Biotin-APC, FITC-Biotin, TRITC, APC-Cy5, AF488, AF594, AF405, AF555, AF700, AF647, AF750 |
| Валидировано для | IHC Иммуногистохимия |
| Рекомендуемые разведения | WB: 0.5-2 мкг/мл; IHC: 5-20 мкг/мл; ICC: 5-20 мкг/мл; Оптимальное разведение определяется конечным потребителем |
| Метод очистки | Антигенспецифическая аффинная хроматография с последующей аффинной хроматографией с белком А |
| Состав буфера | 0.01M PBS, pH7.4, 0.05% Proclin-300, 50% глицерин |
| Условия доставки | термобокс с аккумуляторами холода |
| Условия хранения | Сразу после получения аликвотировать и хранить при -20ºС до 24 месяцев. Для частого использования хранить при +4ºС не более 2 недель. Избегать повторения циклов замерзания/оттаивания |
| Срок хранения | 24 месяца |
| Производитель | Cloud-Clone Corp. |
| Ссылка на страницу товара на сайте производителя | http://www.cloud-clone.com/products/PAF421Mu01.html |
|
Артикул
|
Наименование |
Производитель
|
|---|
|
Артикул
|
Наименование |
Производитель
|
|---|
|
Артикул
|
Наименование |
Производитель
|
|---|
Акции и предложения
Популярные продукты:
Anti-MIEN1 Polyclonal Antibody (PHP14501)
Источник (хозяин): кролик
Реактивность подтвержденная: человек, мышь
Валидировано для: ELISA, WB
Реактивность подтвержденная: человек, мышь
Валидировано для: ELISA, WB
Canine Carboxypeptidase A5(CPA5) ELISA kit (E08C1993)
Организм: собака
Sheep Fibrinopeptide B ELISA kit (E14F0241)
Организм: овца
Canine ATP Binding Cassette Transporter G1 ELISA kit (E08A0611)
Организм: собака
Chicken Glycogen Phosphorylase, Muscle ELISA kit (E12P0170)
Организм: курица
Chicken Myosin Heavy Chain 1 (E12M0525)
Организм: курица

