| UNIPROT | Q9WVH9 |
| Иммуноген | RPD153Mu02-Recombinant Fibulin 5 (FBLN5) |
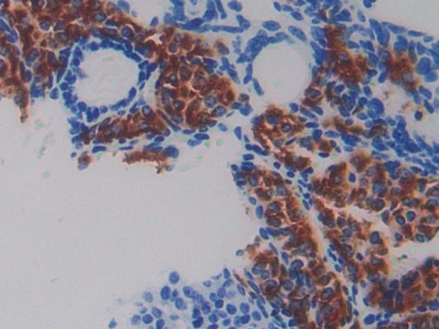
Polyclonal Antibody to Fibulin 5 (FBLN5) (PAD153Mu02)
Реактивность подтвержденная:
мышь
Источник (хозяин):
кролик
Валидировано для:
IHC
Характеристики
Техническое описание
| Русское название | PAD153Mu02 Поликлональное антитело к FBLN5 (мышь) <Cloud-Clone,Китай> |
| Каталожный номер | PAD153Mu02 |
| Название антигена | Fibulin 5 (FBLN5) |
| UNIPROT | Q9WVH9 |
| Иммуноген | RPD153Mu02-Recombinant Fibulin 5 (FBLN5) |
| Английские синонимы | ARMD3, DANCE, EVEC, UP50, FIBL-5, Dance, Developmental arteries and neural crest EGF-like protein |
Реактивность подтвержденная Нужна другая реактивность? |
мышь |
| Источник (хозяин) | кролик |
| Клональность | поликлональное |
| Рекомбинантное | нет |
| Готовое к использованию | нет |
| Концентрация | 500 мкг/мл |
| Конъюгат | По запросу: HRP, biotin, PerCP, PE, Cy3, FITC, Cy7, Cy5.5, PE-Cy5, PE-Cy7, PerCp-Cy5.5, APC, Cy5, PE-Cy3, PE-Cy5.5, APC-Cy7, Biotin-APC, FITC-Biotin, TRITC, APC-Cy5, AF488, AF594, AF405, AF555, AF700, AF647, AF750 |
| Валидировано для | IHC Иммуногистохимия |
| Рекомендуемые разведения | WB: 0.2-2 мкг/мл; 1:250-2500; IHC: 5-20 мкг/мл; 1:25-100; ICC: 5-20 мкг/мл; 1:25-100; Оптимальное разведение определяется конечным потребителем |
| Метод очистки | Антигенспецифическая аффинная хроматография с последующей аффинной хроматографией с белком А |
| Состав буфера | 0.01M PBS, pH7.4, 0.05% Proclin-300, 50% глицерин |
| Условия доставки | термобокс с аккумуляторами холода |
| Условия хранения | Сразу после получения аликвотировать и хранить при -20ºС до 24 месяцев. Для частого использования хранить при +4ºС не более 2 недель. Избегать повторения циклов замерзания/оттаивания |
| Срок хранения | 24 месяца |
| Производитель | Cloud-Clone Corp. |
| Ссылка на страницу товара на сайте производителя | http://www.cloud-clone.com/products/PAD153Mu02.html |
|
Артикул
|
Наименование |
Производитель
|
|---|
|
Артикул
|
Наименование |
Производитель
|
|---|
|
Артикул
|
Наименование |
Производитель
|
|---|
|
Артикул
|
Наименование |
Производитель
|
|---|
|
Артикул
|
Наименование |
Производитель
|
|---|
Акции и предложения
Популярные продукты:
Goat Alstrom syndrome protein 1(ALMS1) ELISA kit (E06A1397)
Организм: коза
Rat Claudin 16(CLDN16) ELISA kit (E02C0979)
Организм: крыса
Rat Alpha 1 β glycoprotein ELISA kit (E02G0010)
Организм: крыса
Monkey Serum paraoxonase/arylesterase 2(PON2) ELISA kit (E09S0342)
Организм: обезьяна

