| UNIPROT | O70165 |
| Иммуноген | RPA786Mu01-Recombinant Ficolin 1 (FCN1) |
Polyclonal Antibody to Ficolin 1 (FCN1) (PAA786Mu01)
Реактивность подтвержденная:
мышь
Источник (хозяин):
кролик
Валидировано для:
IHC
WB
Характеристики
Техническое описание
| Русское название | PAA786Mu01 Поликлональное антитело к FCN1 (мышь) <Cloud-Clone,Китай> |
| Каталожный номер | PAA786Mu01 |
| Название антигена | Ficolin 1 (FCN1) |
| UNIPROT | O70165 |
| Иммуноген | RPA786Mu01-Recombinant Ficolin 1 (FCN1) |
| Английские синонимы | FCNM, Collagen/fibrinogen domain-containing protein 1, Ficolin-alpha, Ficolin-A, M-ficolin |
Реактивность подтвержденная Нужна другая реактивность? |
мышь |
| Источник (хозяин) | кролик |
| Клональность | поликлональное |
| Рекомбинантное | нет |
| Готовое к использованию | нет |
| Концентрация | 0.5 мг/мл |
| Конъюгат | По запросу: HRP, biotin, PerCP, PE, Cy3, FITC, Cy7, Cy5.5, PE-Cy5, PE-Cy7, PerCp-Cy5.5, APC, Cy5, PE-Cy3, PE-Cy5.5, APC-Cy7, Biotin-APC, FITC-Biotin, TRITC, APC-Cy5, AF488, AF594, AF405, AF555, AF700, AF647, AF750 |
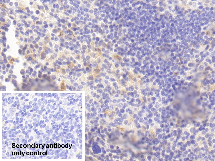
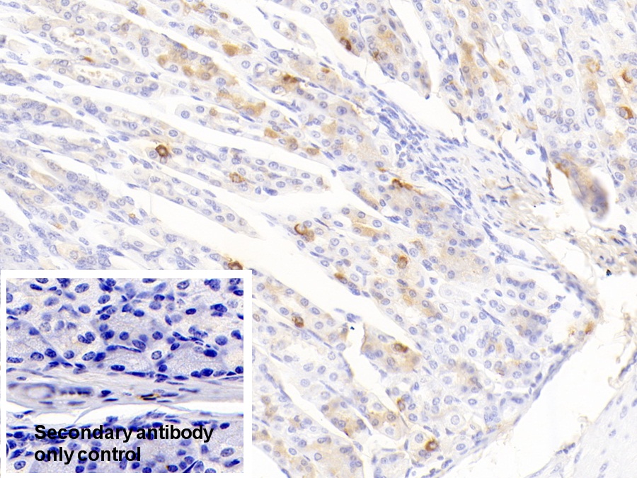
| Валидировано для | IHC WB Иммуногистохимия; Вестерн-блоттинг |
| Рекомендуемые разведения | WB: 0.01-2 мкг/мл; IHC: 5-20 мкг/мл; ICC: 5-20 мкг/мл; Оптимальное разведение определяется конечным потребителем |
| Метод очистки | Антигенспецифическая аффинная хроматография с последующей аффинной хроматографией с белком А |
| Состав буфера | 0.01M PBS, pH7.4, 0.05% Proclin-300, 50% глицерин |
| Условия доставки | термобокс с аккумуляторами холода |
| Условия хранения | Сразу после получения аликвотировать и хранить при -20ºС до 24 месяцев. Для частого использования хранить при +4ºС не более 2 недель. Избегать повторения циклов замерзания/оттаивания |
| Срок хранения | 24 месяца |
| Производитель | Cloud-Clone Corp. |
| Ссылка на страницу товара на сайте производителя | http://www.cloud-clone.com/products/PAA786Mu01.html |
|
Артикул
|
Наименование |
Производитель
|
|---|
|
Артикул
|
Наименование |
Производитель
|
|---|
|
Артикул
|
Наименование |
Производитель
|
|---|
|
Артикул
|
Наименование |
Производитель
|
|---|
Акции и предложения
Популярные продукты:
ELISA Kit DIY Materials for Cat Eye Syndrome Chromosome Region, Candidate 1 (CECR1) (KSL307Hu01)
Организм: человек
Диапазон определения: 0.312-20 нг/мл
Чувствительность: 0.118 нг/мл
Диапазон определения: 0.312-20 нг/мл
Чувствительность: 0.118 нг/мл
ELISA Kit DIY Materials for Procollagen I C-Terminal Propeptide (PICP) (KSA570Hu11)
Организм: человек
Диапазон определения: 0.312-20 нг/мл
Чувствительность: 0.129 нг/мл
Диапазон определения: 0.312-20 нг/мл
Чувствительность: 0.129 нг/мл
ELISA Kit DIY Materials for Dystrophin (DMD) (KSB503Hu01)
Организм: человек
Диапазон определения: 0.156-10 нг/мл
Чувствительность: 0.059 нг/мл
Диапазон определения: 0.156-10 нг/мл
Чувствительность: 0.059 нг/мл
Monkey Parkinson Disease Protein 7 ELISA kit (E09P1009)
Организм: обезьяна
Rabbit phosphatidylcholine ELISA kit (E04P1058)
Организм: кролик
Mouse phosphatidylcholine ELISA kit (E03P1058)
Организм: мышь

