| UNIPROT | O75369 |
| Иммуноген | RPE931Hu01-Recombinant Filamin B Beta (FLNb) |
Polyclonal Antibody to Filamin B Beta (FLNb) (PAE931Hu01)
Реактивность подтвержденная:
человек
Источник (хозяин):
кролик
Валидировано для:
IHC
Характеристики
Техническое описание
| Русское название | PAE931Hu01 Поликлональное антитело к FLNb (человек) <Cloud-Clone,Китай> |
| Каталожный номер | PAE931Hu01 |
| Название антигена | Filamin B Beta (FLNb) |
| UNIPROT | O75369 |
| Иммуноген | RPE931Hu01-Recombinant Filamin B Beta (FLNb) |
| Английские синонимы | ABP-278, AOI, FH1, FLN1L, LRS1, SCT, TABP, TAP, Actin Binding Protein 278, Actin-binding-like protein, Thyroid autoantigen, Filamin-3, Truncated actin-binding protein |
Реактивность подтвержденная Нужна другая реактивность? |
человек |
| Реактивность предсказываемая | мышь, крыса, свинья |
| Источник (хозяин) | кролик |
| Клональность | поликлональное |
| Рекомбинантное | нет |
| Готовое к использованию | нет |
| Концентрация | 500 мкг/мл |
| Конъюгат | По запросу: HRP, biotin, PerCP, PE, Cy3, FITC, Cy7, Cy5.5, PE-Cy5, PE-Cy7, PerCp-Cy5.5, APC, Cy5, PE-Cy3, PE-Cy5.5, APC-Cy7, Biotin-APC, FITC-Biotin, TRITC, APC-Cy5, AF488, AF594, AF405, AF555, AF700, AF647, AF750 |
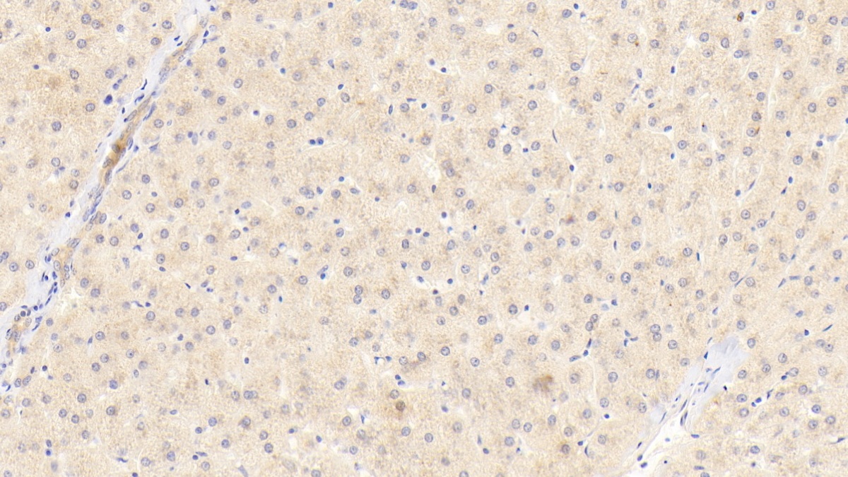
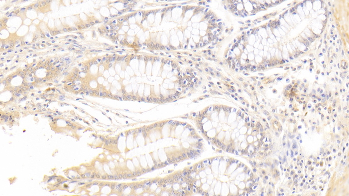
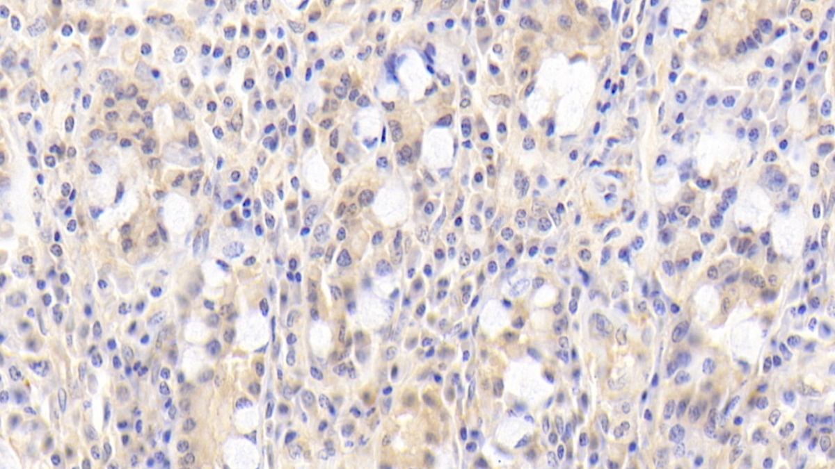
| Валидировано для | IHC Иммуногистохимия |
| Рекомендуемые разведения | WB: 0.2-2 мкг/мл; 1:250-2500; IHC: 5-20 мкг/мл; 1:25-100; ICC: 5-20 мкг/мл; 1:25-100; Оптимальное разведение определяется конечным потребителем |
| Метод очистки | Антигенспецифическая аффинная хроматография с последующей аффинной хроматографией с белком А |
| Состав буфера | 0.01M PBS, pH7.4, 0.05% Proclin-300, 50% глицерин |
| Условия доставки | термобокс с аккумуляторами холода |
| Условия хранения | Сразу после получения аликвотировать и хранить при -20ºС до 24 месяцев. Для частого использования хранить при +4ºС не более 2 недель. Избегать повторения циклов замерзания/оттаивания |
| Срок хранения | 24 месяца |
| Производитель | Cloud-Clone Corp. |
| Ссылка на страницу товара на сайте производителя | http://www.cloud-clone.com/products/PAE931Hu01.html |
|
Артикул
|
Наименование |
Производитель
|
|---|
|
Артикул
|
Наименование |
Производитель
|
|---|
|
Артикул
|
Наименование |
Производитель
|
|---|
Акции и предложения
Популярные продукты:
Mouse Tubulin β2A chain ELISA Kit (E03T0579)
Организм: мышь
Bovine Dickkopf Related Protein 3 ELISA kit (E11D0570)
Организм: корова
Canine Dickkopf Related Protein 3 ELISA kit (E08D0570)
Организм: собака
Rat Dickkopf Related Protein 3 ELISA kit (E02D0570)
Организм: крыса

